ВХОД ДЛЯ ПАЦИЕНТОВ
вверх
поиск
админ
главная
исходное
|
Re: Нужен совет по тактике лечения многооскольчатого перелома бедра
послал Владимир 30 Сентябрь 2009, 13:37
|

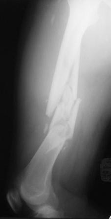
Выбор на пластине основан на том, что проксимальный отломок не цельный, по рентгенограмме видно, что в нём практически до малого вертела имеется осколок. Поэтому у меня опасения, что фиксация внутрикостного стержня в проксимальном отломке не будет достаточно стабильной.
|
| Послать ответ |
Обратите внимание: Поля с жирными названиями обязательны.
Старайтесь отвечать в рамках обсуждаемой темы, а не начинать новые обсуждения.
Указывайте адекватную тему сообщения, чтобы было ясно, о чем оно.
Не послайте сообщений не по теме (оффтопик), раздраженных, грубых или обидных комментариев. Здесь это неуместно.
|