вверх
отправить
поиск
админ
главная
|
Нужен совет по тактике лечения многооскольчатого перелома бедра |
 |
 |
 |
Отправлено Владимир 29 Сентябрь 2009, 23:49
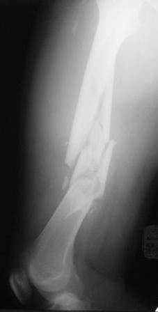
Хотелось узнать Ваше мнение по тактике лечения многооскольчатого перелома бедра Пациент 26 лет, травма в результате ДТП. Находится на системе скелетного вытяжения. Соматически уже компенсирован. Планируется выполнить остеосинтез бедренной LCP пластиной на тракционном столе, при этом не хотим обнажать зону многооскольчатого перелома. Буду благодарен за критические замечания по предложенной тактике и другие светлые мысли!
<
|
>
|
|
Ответить
|
Re: Нужен совет по тактике лечения многооскольчатого перелома бедра
Alexey Semenisty 30 Сентябрь 2009, 13:01
|
..... Планируется выполнить остеосинтез...
Владимир, по тем данным которые Вы представили на обсуждение НЕЛЬЗЯ! планировать какую-либо операцию..
Буду благодарен за критические замечания по предложенной тактике
Для замечаний нужно знать на чем основан Ваш выбор именно такой тактики
и другие
светлые мысли!
К сожалению, пока мыслей нет никаких
С уважением, А.Семенистый.
ГКБ № 13, Москва.
|
[
Ответить ]
|
Re: Нужен совет по тактике лечения многооскольчатого перелома бедра
Alexander Chelnokov 30 Сентябрь 2009, 13:08
|
А почему и зачем пластина?
Если суставные концы целы (что по приведенному
снимку не очевидно, но будем надеяться, что это так), то сразу подумалось про закрытый интрамедуллярный остеосинтез.
|
[
Ответить ]
|
Re: Нужен совет по тактике лечения многооскольчатого перелома бедра
Отправитель: В.Машталов 30 Сентябрь 2009, 18:37
|
Приветсвую Владимир!
LCP малоинвазивно, если не доступен БИОС, правильное решение.
В проксамильной части я бы посоветовал выпонить репозицию длинного отломка, что позволит ввести 2-3 винта бикортикально, значительно улучшив
стабильность. Что дистально - не знаю, согласен нужно дообследование.
> А почему и зачем пластина?
> Если суставные концы целы (что по приведенному
> снимку не очевидно, но будем надеяться, что это так), то сразу
> подумалось про закрытый интрамедуллярный остеосинтез.
Да и при поврежденных суставных концах тоже думается о интрамедуллярном синтезе.
С ув.В. Машталов
|
[
Ответить ]
|
Re: Нужен совет по тактике лечения многооскольчато
Отправитель: Радик 30 Сентябрь 2009, 19:50
|
Только БИОС!
|
[
Ответить ]
|
|
Re: Нужен совет по тактике лечения многооскольчатого перелома бедра
Владимир 30 Сентябрь 2009, 13:37
|

Выбор на пластине основан на том, что проксимальный отломок не цельный, по рентгенограмме видно, что в нём практически до малого вертела имеется осколок. Поэтому у меня опасения, что фиксация внутрикостного стержня в проксимальном отломке не будет достаточно стабильной.
|
[
Ответить ]
|
Re: Нужен совет по тактике лечения многооскольчатого перелома бедра
Отправитель: Alexander Chelnokov 30 Сентябрь 2009, 14:26
|
Чем не устраивают реконструкционные и проксимальные гвозди, которые фиксируются вверху за шейку и головку бедра?
|
[
Ответить ]
|
Re: Нужен совет по тактике лечения многооскольчатого перелома бедра
Отправитель: Владимир 30 Сентябрь 2009, 19:36
|
Александр, спасибо за идею! Попробую её реализовать. Наверное остановимся на длиной реконструктивной гамме
|
[
Ответить ]
|
Re: Нужен совет по тактике лечения многооскольчатого перелома бедра
Отправитель: Александр А. 30 Сентябрь 2009, 19:59
|
Добрый вечер Владимир!
Мне кажется в данном случае будет более уместен не гамма, а обычный реконструктивный бедренный стержень.
Спасибо.
|
[
Ответить ]
|
|
Re: Нужен совет по тактике лечения многооскольчатого перелома бедра
Zadneprovskiy Nikita 03 Октябрь 2009, 03:53
|
Уважаемый Владимир.
В первую очередь мы бы посмотрели более пристально проксимальную часть бедра. Известно, что при переломах диафиза в 20% встречаются ипсилатеральные переломы шейки бедра.
А уже далее последует выбор имплантанта. Если есть ЭОП, то можно поставить гвоздь либо антеградно, либо ретроградно. Если ЭОПа нет, но есть LISS технология, то вполне уместно применить широкую пластину не открывая место перелома.
Эта технология широко известна, обычно обрабатывают обе конечности, что позволяет визуально выполнить коррекцию по длине и ротации. Пластина из малых разрезов без вскрытия зоны перелома позволить сделать стабильную фиксацию (достаточно по 3 уровня фиксации проксимально и дистально).
С уважением,
Заднепровский Никита
|
[
Ответить ]
|
Re: Нужен совет по тактике лечения многооскольчатого перелома бедра
ильдар 05 Октябрь 2009, 00:49
|
учитывая возраст предпочтительней реконструктивный стержень с фиксацией в шейку и головку,а гамма это практически не удаляемая конструкция.
|
[
Ответить ]
|
( Ответить )
|
|