вверх
отправить
поиск
админ
главная
|
Отправлено Denis 15 Октябрь 2009, 15:11
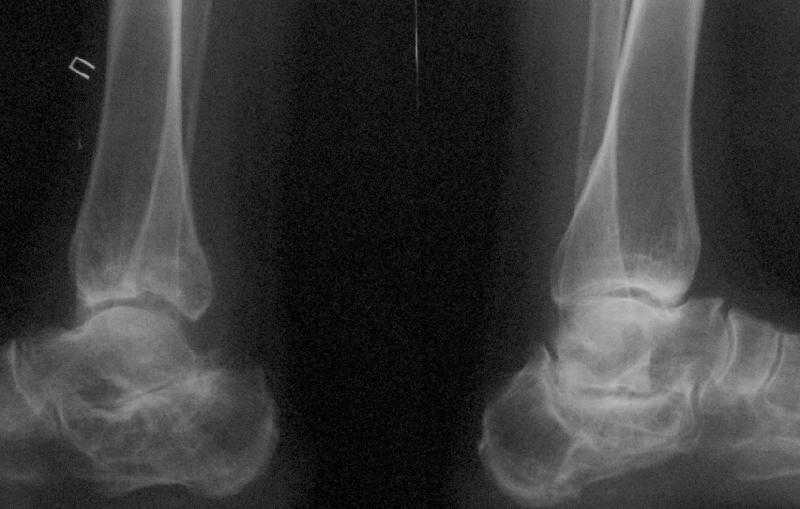
Уважаемые коллеги! Помогите определится с тактикой лечения.Оскольчатый импрессионный перелом заднего края правой большеберцовой (Пилон?) кости 5-ти недельной давности на фоне неправильно сросшихся переломов пяточных костей (травма в 1991г.), ДОА подтаранных суставов 3 ст. До последней травмы больная ходила без особых проблем и работала пекарем (работа на ногах).Суть проблемы в том, что открытая анатомическая репозиция в таком сроке представляется мне крайне травматичной, что может привести к неблагоприятному функциональному исходу.Варианты решения:1) оставить "как есть" с последующим артродезом после развития ДОА2) выполнить остеотомию и попытаться низвести основную часть суставной поверхности3) выполнить попытку анатомической репозиции из задне-латерального??? доступа.
<
|
>
|
|
Ответить
|
Re: Застарелый пилон
kres 16 Октябрь 2009, 13:46
|
Оставить "как есть". А можно и артродез сразу сделать. В Synthes появились прекрасные штифты для артродеза голеностопного и подтаранного сустава.
|
[
Ответить ]
|
Re: Застарелый пилон
Отправитель: Denis 19 Октябрь 2009, 12:21
|
Полностью с Вами согласен! С артродезом предпочитаю не спешить.
|
[
Ответить ]
|
|
Re: Застарелый пилон
Djoldas Kuldjanov 17 Октябрь 2009, 12:17
|
По снимкам довольно сохранный сустав, и такой сустав желательно попытаться восстановить всеми возможными мерами.
Артродез штифтом от Синтеза - немного агрессивно, а для улучшения качества жизни вместо артродеза голеностопа можно было бы предложить артродез подтаранного сустава. Тремя 6.5 мм каннюлированными шурупами через пятку.
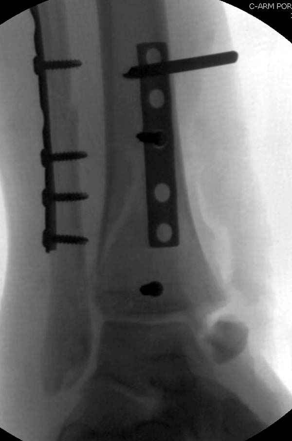
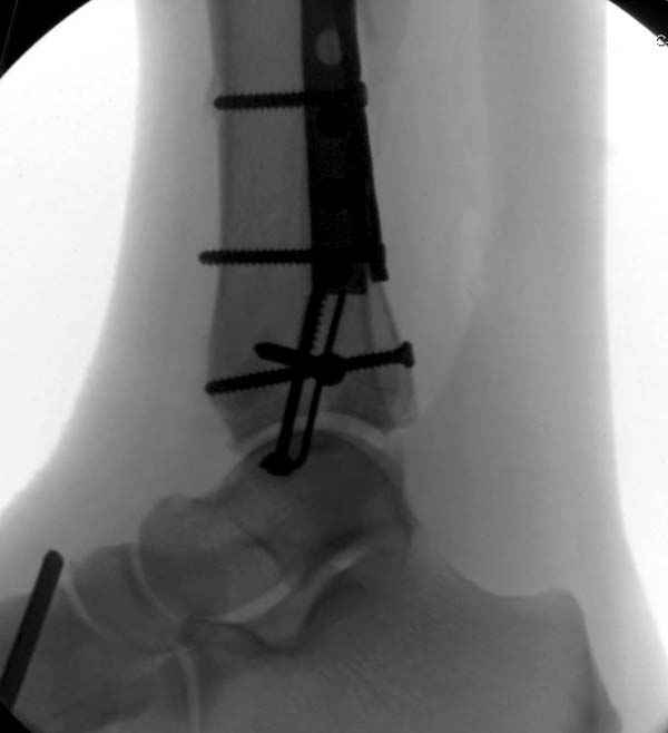
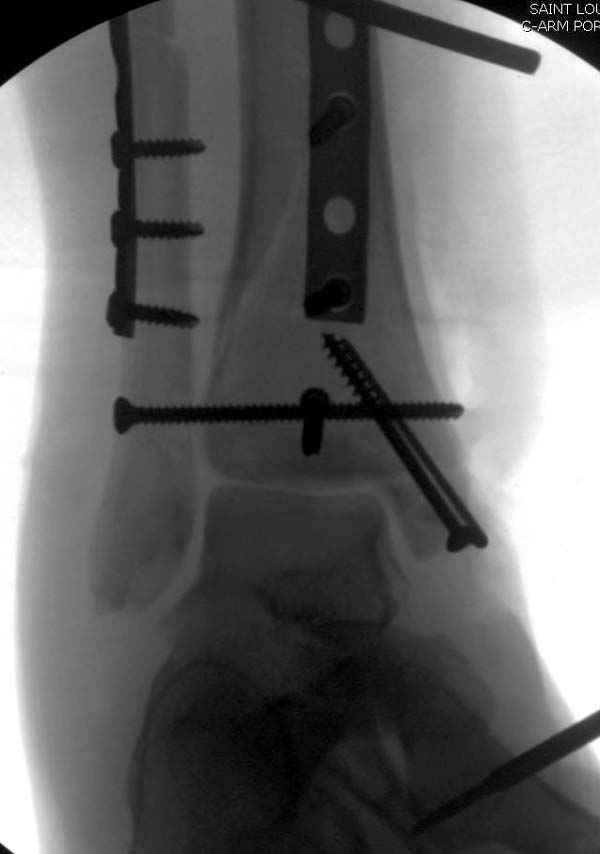
Насчет пилона, прошло достаточное время для консолидации и прекрасная возможность для демонстрации, что такие случаи могут быть успешно вылечены остеотомией, несмотря на засторелость.
Из заднего доступа остеотомия тонким остеотомом и коррекции на ЭОПе.
Без применения сложной конструкции, а обычными параллельными шурупами. Шурупы в 3.5 мм и дополнительно фиксация крючковидной пластиной, сделанной из 3.5 mm semitubular пластиной, Butress или аntiglade фиксация.
Здесь алгоритм фиксации свежего перелома и преоперационный план для обсуждаемого случая.

Djoldas Kuldjanov, MD
Department of Orthopedic Surgery
St. Louis University Medical Center
|
[
Ответить ]
|
Re: Застарелый пилон
Отправитель: Denis 19 Октябрь 2009, 12:16
|
Уважаемый Djoldas Kuldjanov! Большое спасибо за отклик! Я Вас уверяю, что техника остеосинтеза перелома заднего края мне известна.
Подобные скиаграммы я рисовал до КТ. На картинке получается красиво, но на деле задний край не имеет единой суставной поверхности и не понятно что и на сколько низводить. Рискуем получить "+ ткань" в суставе, а это ещё хуже.
С уважение Glukhov Denis.
|
[
Ответить ]
|
|
( Ответить )
|
|