ВХОД ДЛЯ ПАЦИЕНТОВ
вверх
поиск
админ
главная
исходное
|
Re: оскольчатый чрезвертельный перелом
послал Djoldas Kuldjanov 04 Ноябрь 2009, 23:31
|
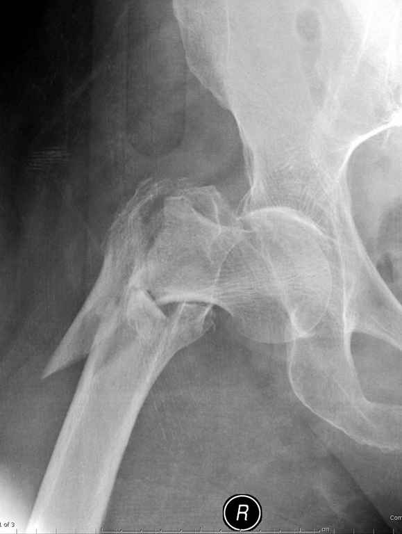
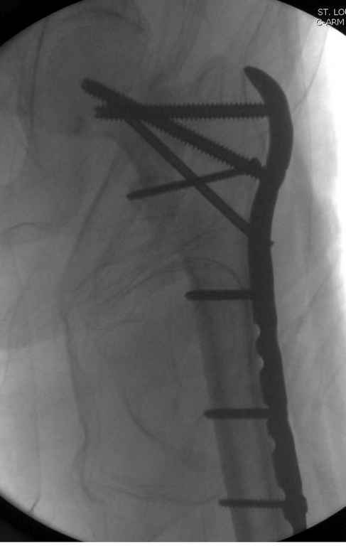
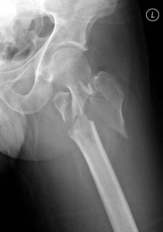
Не солидно экономить на пленке, это не делает чести презентации. Такие ограниченные нестандартные снимки приводят к тактическим ошибкам.
Предугадать распространение линий перелома при чрезвертельных и оскольчатых переломах трудно, поэтому для принятия правильного решения рекомендуется Компьютерно Томографические исследование.
При отсутствии КТ, снимок на вытяжении поможет увидеть общую картину расположения отломков, особенно потенциальные места введения импланта. Риск раскола в этом случае огромный, поэтому больной должен быть дообследован.
А так для лечения оскольчатых переломов подходят все методы, включая интра- и экстрамедуллярные в зависимости от опыта и наличия импланта.
Здесь пара похожих случаев.

Djoldas Kuldjanov, MD
Department of Orthopedic Surgery
St. Louis University Medical Center
|
| Послать ответ |
Обратите внимание: Поля с жирными названиями обязательны.
Старайтесь отвечать в рамках обсуждаемой темы, а не начинать новые обсуждения.
Указывайте адекватную тему сообщения, чтобы было ясно, о чем оно.
Не послайте сообщений не по теме (оффтопик), раздраженных, грубых или обидных комментариев. Здесь это неуместно.
|