Ответить
|
Re: оскольчатый чрезвертельный перелом
Alexander Chelnokov 04 Ноябрь 2009, 02:33
|
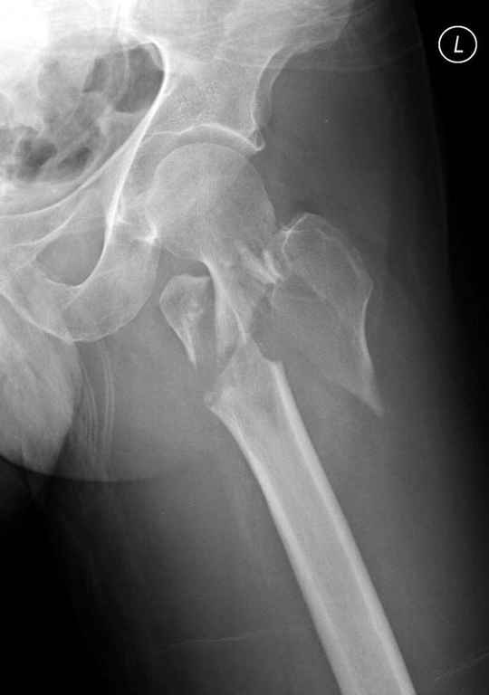
А что тут заставляет сомневаться? Здесь настолько очевидно предпочтителен закрытый интрамедуллярный остеосинтез реконструкционным стержнем (проксимальные гвозди толстоваты для такого молодого возраста), что закрадывается мысь о каком-то подвохе.
Уже ставшие традиционными вопроосы - что доступно на месте и каковы собственные намерения?
Желательно бы и снимок бедра на протяжении и в другой проекции.
|
[
Ответить ]
|
Re: оскольчатый чрезвертельный перелом
Djoldas Kuldjanov 04 Ноябрь 2009, 23:31
|
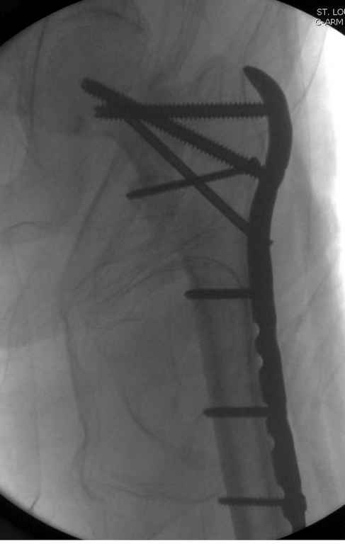
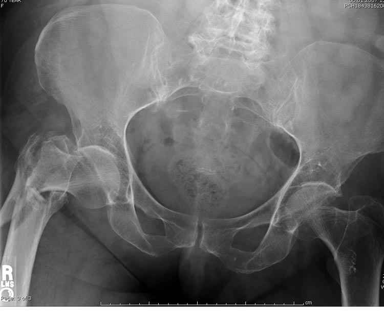
Не солидно экономить на пленке, это не делает чести презентации. Такие ограниченные нестандартные снимки приводят к тактическим ошибкам.
Предугадать распространение линий перелома при чрезвертельных и оскольчатых переломах трудно, поэтому для принятия правильного решения рекомендуется Компьютерно Томографические исследование.
При отсутствии КТ, снимок на вытяжении поможет увидеть общую картину расположения отломков, особенно потенциальные места введения импланта. Риск раскола в этом случае огромный, поэтому больной должен быть дообследован.
А так для лечения оскольчатых переломов подходят все методы, включая интра- и экстрамедуллярные в зависимости от опыта и наличия импланта.
Здесь пара похожих случаев.

Djoldas Kuldjanov, MD
Department of Orthopedic Surgery
St. Louis University Medical Center
|
[
Ответить ]
|
Re: оскольчатый чрезвертельный перелом
Юхимчук Олег 06 Ноябрь 2009, 03:20
|
Увожаемый коллега,мое мнение:фиксация и\медул.блок. стержнем Gamma-long "STRYKER". Вероятно, закрыто сделать полностью может не получится. Откроетесь на 6-8 см. для репозиции промежуточного фрагмента, но только после установки стержня. Удачи!!!
|
[
Ответить ]
|
( Ответить )
|
|