Ответить
|
Re: Сочетанная травма
Андрей Мелешкин 27 Ноябрь 2009, 00:23
|

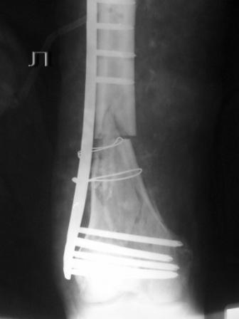
Пациенту 50 лет. 24.11.09 сделали л\бедро.
|
[
Ответить ]
|
Re: Сочетанная травма
Отправитель: Alexander Chelnokov 30 Ноябрь 2009, 01:37
|
Оставлен клинически значимый варус, видно градусов 8-10. Для уточнения можно сделать снимок симметричного сегмента и скиаграммы наложить.
Не стоило открывать промежуточные отломки и вязать их проволокой. Это ухудшает их кровоснабжение и может привести к несращению. Не во все случаях, конечно. Удачи.
|
[
Ответить ]
|
Re: Сочетанная травма
Отправитель: Андрей Мелешкин 01 Декабрь 2009, 20:29
|
Сложность репозиции привела к "освобождению" промежуточных отломков - появился значительный костный дефект - пришлось создавать картинку + добавили коллапан.
C уважением А.М.
|
[
Ответить ]
|
Re: Сочетанная травма
Отправитель: Alexey Semenisty 30 Ноябрь 2009, 23:59
|
Не удивляйтесь, если пластина сломается(((
С уважением, А.Семенистый.
ГКБ № 13, Москва.
|
[
Ответить ]
|
Re: Сочетанная травма
Отправитель: Андрей Мелешкин 01 Декабрь 2009, 20:35
|
"""""Не удивляйтесь, если пластина сломается""""
Какова возможная причина перелома импланта, ведь принцып "мостовидности" пластины LCP соблюден!?
C уважением А.М.
|
[
Ответить ]
|
Re: Сочетанная травма
Отправитель: Alexey Semenisty 02 Декабрь 2009, 09:29
|
"Мостовидность" вовсе не подразумевает только LCP, также как и LCP не озачает обязательную "мостовидность".
Мостовидность это только часть , так называемого, биологического принципа.Биологический принцип предполагает баланс между механическими свойствами остеосинтеза и сохранением кровоснабжения кости и окружающих мякких тканей. Мостовидная фиксация обеспечивает относительную, эластичную стабильность, которая при малоинвазивной технике (MIPO), т.е, при закрытой репозиции и нескелетировании кости дает хороший шанс на быстрое течение репаративных процессов и сращение перелома.
В Вашем примере, как мне кажется, была довольно травматичная открытая реползиция со скелетированием концов перелома. В результате отсутствует необходимая биологическая составляющая для нормальной репарации кости. кроме того, положение отломков по оси - так себе, и имеется значимый медиалный дефект. Так что к био-логической мостовидной технике фиксации переломов этот случай не имеет никакого отношения. Увы(
С уважением, А.Семенистый.
ГКБ № 13, Москва.
|
[
Ответить ]
|
|
( Ответить )
|
|