AOTRAUMA.ORG Центр Илизарова  

Ортопедия и травматология Общие вопросы/General questions Help Информационные технологии в медицине
 вверх
 отправить
 поиск
 админ
 главная


заболевание стопы
Ортопедия и травматология Отправлено Алексей 01 Декабрь 2009, 04:07
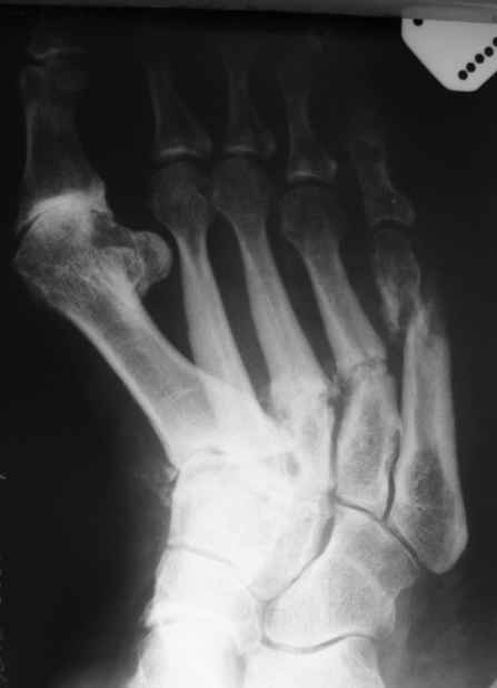
Уважаемые коллеги. Помогите определиться с дальнейшим лечением данного клинического случая (Ро - граммы прилагаю ).
Жалобы: На постоянные боли в области обеих стоп, преимущественно справа в покое и при осевой нагрузке. Невозможность ходить на длительне дистанции.
Из анамнеза: Со слов больной травмы отрицает. Считает себя больной последние 5 лет, когда в первые появились боли в стопах и правом тазобедренном суставе. Обращалась в РТП по месту жительства, выполнялись Ро - граммы ( на руках ), без патологии. болевой синдром постепенно наростал. Пациентка лечилась консервативно по месту жительства с переменным успехом. Выполнялись этапные Ро - контроли ( к сожалению Ро - утерян в РТП ). Со слов пациентки Ро - картина ухудшалась. Данное ухудшение с февраля 2009 года. больная стала отмечать отрицательную динамику, появилось искривление области плюсны по тыльной поверхности стопы, крепитация отломков, усиление болевого синдрома, отёк в области правой стопы, формирование экзостоза головки 1 плюсневой кости, уплощения продольного свода стопы, невозможность носить ежедневной обуви ( в плоть до домашних тапочек ). и вот она измученная лечением обратилась к нам...Трудовой анамнез не отягощён. Работает поваром в столовой.Местно: У больной имеется отёк мягких тканей тыла стопы. при осмотре продольный и поперечный своды стопы уплощены. имеется вальгусная деформация 1 го пальца правой стопы. Экзостоз головки 1 плюсневой кости. Кожа над поверхностью не изменена. признаков гипертермии и гиперемии нет. При пальпации отмечается болезненность в проекции диафизов 2-4плюсневых костей по тыльной поверхности. Так же отмечается крепитация отломнов в проекции 5 плюсневой кости. Признаков сосудистых и неврологических расстройств нет. При стоянии на обеих ногах, отмечается болезненность в проекции 5 плюсневой кости правой стопы.

У нас возник извечный вопрос...Что делать?

<  |  >

 

  • Сообщения о Ортопедия и травматология
  • Также Алексей
  • Связаться с автором
  • Ответить

    Re: заболевание стопы
    Савранский Александр 02 Декабрь 2009, 00:17
    Полагаю речь идет о патологических переломах?
    Считаю необходимым дообследовать данную больную.
    В своей практике встречал подобную картину при диабетической стопе.Возможно надо будет исследовать гормоны щитовидки,сахара и т.д.
    [ Ответить ]

    Re: заболевание стопы
    а 02 Декабрь 2009, 00:56
    простите Александр за не полную информацию... Да, вы поняли правильно, речь идёт о патологических переломах. Просто я ни как не могу оформить фото с Ро - картиной.Второй день бьюсь. Ноя это сделаю обязательно в ближайшее время.
    Пациентка полностью обследована. Заболеваний щитовидной железы и сахарного диабета у больной нет и небыло.
    [ Ответить ]

    Re: заболевание стопы
    Алишер Хамраев 02 Декабрь 2009, 03:01
    Подобный патологический перелом я наблюдал у больного с синдромом тарзального канала. Прежде чем решить что делать, найдите причину.

    [ Ответить ]

    Re: заболевание стопы
    Dr. A. Liberson 02 Декабрь 2009, 03:04
    Looks as a Charcot-Peripheral neuropathy. Is she Diabetic? How old? A better X ray would be of help.-at least 2 projections. 1st TMT is involved. I am sure you can find some neuropathic changes at least in the other foot. Pes Cavus?
    If no diabetes- Hypothyroidism, Vit B 12 deficiency, Spinal problem, Lepra, Amiodorone therapy,, Syphylis or HIV.
    You should achieve a plantigrade foot and immobilize either with surgery or without for long time-longer then you imagine until the local picture is quiet.
    AL
    [ Ответить ]

    Re: заболевание стопы
    Kuleshov 03 Декабрь 2009, 00:51
    Кажется, нигде не говорилось о массе тела пациентки. Почему-то кажется, что у нее значительное алиментарно-конституциональное ожирение, это так? Не могут ли в таком случае рассматриваться патологические изменения в плюсневых костях как stress-fracture (fatigue-fracture, болезнь перегрузки плюсневых костей, или своеобразная болезнь Дойчлендера)?
    [ Ответить ]

    Re: заболевание стопы
    Дмитри й Шуваев 03 Декабрь 2009, 02:07
    Не знаю кстати ли, но не дает покоя случай имевший место в нашем отделении - после неточно выполненного интерном вытяжения за бугристость ББК - спица проведена низко, ближе к средней трети - у пожилого пациента (78 л)с остеопорозным переломом мыщелков бедра стопа уложенная на шину вдруг распласталась и вылез hallux valgus - буквально в течение недели. Удаление спицы через сутки после проведения проблему не решило. Вторая стопа нормальная. Чувствительность не нарушена, пальцы движутся, но все пошли на вальгус, может подскажете, Уважаемые коллеги, что это за проблема, с каким сегментом связана, может и тут подобный гипертонус вызвал патологические переломы...
    Прошу прощения если проявил неграмотность..
    [ Ответить ]

    Re: заболевание стопы
    Дмитри й Шуваев 03 Декабрь 2009, 02:20
    Не знаю кстати ли, но не дает покоя случай имевший место в нашем отделении - после неточно выполненного интерном вытяжения за бугристость ББК - спица проведена низко, ближе к средней трети - у пожилого пациента (78 л)с остеопорозным переломом мыщелков бедра стопа уложенная на шину вдруг распласталась и вылез hallux valgus - буквально в течение недели. Удаление спицы через сутки после проведения проблему не решило. Вторая стопа нормальная. Чувствительность не нарушена, пальцы движутся, но все пошли на вальгус, может подскажете, Уважаемые коллеги, что это за проблема, с каким сегментом связана, может и тут подобный гипертонус вызвал патологические переломы...
    Прошу прощения если проявил неграмотность..
    [ Ответить ]

    Re: заболевание стопы
    Михаил Васильев 03 Декабрь 2009, 20:06
    Все здравствуйте!
    Действительно, не имея полного описания пациентки (вес, возраст, и прочие мелочи) о причине данных переломов можно строить различные догадки. Возможно, при детальном выяснении анамнеза, всплывёт какая-то незначительная травма (оступилась, неправильно поставила ногу), которая не акцентировала на себе внимание, но с учётом сопутствующих факторов, о которых многие говорят выше, произошла такая картина. Кстати как у пациентки с остеопорозом. По рентгенограмме признаки имеются, а проблемы в I плюстне-фаланговом суставе появились, как мне кажеться значительно раньше переломов (артроз практически III-IV стадии). Если будете проводить даообследование, интересно было-бы узнать конечный результат. Всем удачного месяца.
    [ Ответить ]

    Re: заболевание стопы
    Алексей 04 Декабрь 2009, 23:49
    Спасибо всем, за предоставленные предположения... но причина нам пока действительно не ясна.
    Как правильно заметил Михаил Васильев, нехватает некоторых мелочей. Пациентка В., возраст 45 лет. Вес 64,5 кг. Рост 168 см.
    Мы так же как и доктор Кулешов установили диагноз стресс перелома или болезнь Дойчлендера. Пациента сейчас находится в гипсовой иммобилизации сроком уже 3 недели. До обращения к нам, пациентка лечилась по месту жительства без какой либо фиксации, нагружая ногу полностью.
    Спасибо за предложения доктора Либерзона. дефицит витамина В 12 мы обязательно проверим, в остальном больная обследована на наличие всех инфекций.. - Отрицательно. Лечилась у невролога по месту жительства по поводу предполагаемого остеохондроза позвоночника ( ДО ВЫПОЛНЕНИЯ Ро грамм ),мы считаем, что снижение силы и рефлексов в нижних конечностях врядли пропустили. Сахарного диабета и заболеваний щитовидной железы нет. Уровень гормонов щитовидной железы в норме.
    Что касается не значительных травм... вряд ли такие повреждения стопы можно не заметить....
    Что касается дальнейшей тактики лечения... У пациентки только один негативный элемент - это болевой синдром, при нагрузки на конечность.Буквально пройти 200 - 250 метров это огромная проблема...
    Жду ваших предложений потому как сами просто сломали голову.
    Высылаю ещё Ро - граммы. Мне кажется должно получиться.
    Кликните для загрузки файла IMG_5249.JPG
    36KB (36989 bytes)

    [ Ответить ]

    Re: заболевание стопы
    Алексей 04 Декабрь 2009, 23:54
    ещё фото боковая проекция правой стопы
    Кликните для загрузки файла IMG_5249.JPG
    36KB (36989 bytes)

    [ Ответить ]

    Re: заболевание стопы
    Алексей 04 Декабрь 2009, 23:59
    Простите великодушно коллеги! просто по другому не могу сообразить с Ро - граммами.
    Ро - левой стопы. последние 3 недели присоеделись боли. Если позволите Ро - находка!!!
    Кликните для загрузки файла IMG_5253.JPG 1.jpg
    41KB (42708 bytes)

    [ Ответить ]

    • Re: заболевание стопы
      Отправитель: Савранский Александр 06 Декабрь 2009, 03:37
      Патологические переломы на обеих стопах...
      И не большой вес у пациентки...
      Явно какая то общая причина.
      Нужно дифференцировать с mts, tbz,проблемами паращитовидных желез.Определите уровень кальция в крови.

      [ Ответить ]
    Re: заболевание стопы
    Антон Андрианов 06 Декабрь 2009, 10:30
    Советую выложить снимки на форуме рентгенологов zhuravlev.info. Возможно рентгенологи помогут разобраться.
    [ Ответить ]

    Re: заболевание стопы
    Дедок Михаил 08 Декабрь 2009, 01:26
    У нас был пациент- мужчина, 50 лет, у которого в течение 3 месяцев по очереди произошли патологические переломы 2, 3 и 4 плюсневых костей.
    Исход- консолидация. Никакой сопутствующей патологии. Вес нормальный. С того времени прошло 4 года. ... На другой ноге все нормально.
    Бывает......
    [ Ответить ]


    ( Ответить )

    Powered by Zope  Squishdot Powered MedLink
    Посетитель: 0000312
      "По форме правильно, а по существу - издевательство" В.И.Ленин
    ©2001-2019Orthoforum Coordinator.
    [ Главная | Отправить сообщение | Поиск | Админ ]