AOTRAUMA.ORG Центр Илизарова  

Ортопедия и травматология Общие вопросы/General questions Help Информационные технологии в медицине
 вверх
 отправить
 поиск
 админ
 главная


Сложный перелом плечевой кости
Ортопедия и травматология Отправлено Евгений 26 Январь 2010, 01:10 Москва
Здравствуйте, Уважаемые Коллеги!!! Пожалуйста,подскажите советом...., если не трудно, как бы вы поступили в представленном случае...
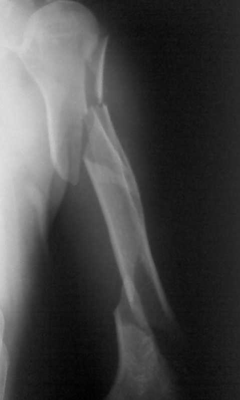
Мужчина 54 лет поступил в отделение в послепраздничные дни с вот таким сложным и редким переломом плечевой кости (см. рентгенограммы). Перелом получен во время эпиприпадка. Мы понимаем, что методом выбора в данном случае является БИОС, однако в нашем лечебном учереждении это исключено по разным причинам: во-первых, нет ЭОПА, а во-вторых, администрация категорически против покупки фиксаторов больными (вплоть до увольнения)- в таких условиях приходится "работать". В нашем распоряжении есть обычные пластины, штифты Кюнчера, титановые штифты (заготовки), аппараты Илизарова. Пока больше склоняемся к выполнению остеосинтеза двумя пластинами: первая передне-наружным доступом сверху, а вторая задним доступом снизу... Как вы смотрите на этот вариант остеосинтеза, какие есть альтернативы исходя из наших условий??? Подскажите....!!! Ваши коментарии мы внимательно изучим и на основании их примем окончательное решение! Заранее СПАСИБО!!!

<  |  >

 

  • Сообщения о Ортопедия и травматология
  • Также Евгений
  • Связаться с автором
  • Ответить

    Re: Сложный перелом плечевой кости
    Адонин 26 Январь 2010, 19:39
    Евгений. здравствуйте!
    Во многих леч учреждениях СНГ считается, что основной метод лечения фрагментарных переломов плеча - оперативный, что совершенно не поддерживается современными зарубежными учебниками. Позволю себе обширную цитату из последнего Роквуд и Грина,

    The majority of isolated, simple humeral shaft fractures can be managed nonoperatively; however, there are specific operative indications that have been shown to enhance the outcome of the fracture or patient. These indications can be divided into three groups: fracture indications, associated injuries, and patient indications . While some of these indications are absolute, such as an associated vascular injury or an associated higher grade open wound, many are relative indications where both patient and fracture features must be taken into consideration prior to deciding on treatment. For instance, although most segmental fractures are high-energy injuries with significant deformity, a segmental fracture in which both fracture lines are minimally displaced and the overall alignment is acceptable is a good candidate for a trial of conservative care with functional bracing. It is important to note that fracture comminution, in isolation, is not an indication for operative intervention. Although intuitively it would seem that such fractures are more likely to develop delayed or nonunion, this is not the case. In his large series of functional bracing, Sarmiento found the median healing time of the humeral shaft was 11 weeks for the comminuted fractures and 12 weeks for the transverse fractures: others have reported similar findings.

    Думаю, что в Вашей ситуации, чем лечить неадекватными фиксаторами, так лучше наложить хорошую гипсовую повязку и попробовать вести пациента консервативно. Не получится - месяца через 3-4 можно будет прооперировать замедленно срастающийся перелом с bone grafting. Скорее всего, даже в худшем варианте некоторые из линий переломов к тому моменту срастутся и объем оперативного вмешательства будет намного меньше
    [ Ответить ]

    • Re: Сложный перелом плечевой кости
      Отправитель: Коваленко А.Н. 27 Январь 2010, 02:14
      Сергею Адонину- Разрешите уточнить Вашу позицию. Насколько я понял, консервативное лечение по Сармиенто предлагается для изолированных простых, и также минимально смещенных многооскольчатых переломах диафиза с приемлемой осью. Считаете ли Вы такую ось приемлемой? Возможно ли улучшить ее закрыто и удержать повязкой?
      Евгению- Соглашусь, что две пластины не лучший вариант. Можно использовать комбинацию методов: из небольших доступов фиксировать стягивающими винтами крупные отломки, затем использовать АВФ в минимально достаточной компоновке(по две спицы с напайками в метафизы) для шинирования сегмента и возможности ранних движений в смежных суставах.

      [ Ответить ]
      • Re: Сложный перелом плечевой кости
        Отправитель: Адонин 27 Январь 2010, 04:54
        Мне сложно представить себе сколь-либо стабильный перелом диафиза плеча ( особенно оскольчатый). Думаю, автор имел в виду :) минимальное смещение после иммобилизации.
        Вообще , для плеча приемлемая деформация ( по самым строгим буржуйским критериям :) )
        20 градусов - угловая
        30 градусов - малротация
        3 см укорочение

        Думаю, что вывести нормальную ось в hanging cast можно легко. Если ось не нравится - я оставляю все как есть ( если только нет большого диастаза) на 3 недели, когда появляется мягкая костная мозоль, и повторяю редакцию - на свежей мозоли вправляется, как на пластилине.
        Учитывая , что перелом начинается с бугорков плеча и заканчивается фактически в супракондилярном районе, я бы недели на 4-6 наложил бы hanging cast, и только потом - функциональную повязку

        [ Ответить ]
        • Re: Сложный перелом плечевой кости
          Отправитель: Коваленко А.Н. 28 Январь 2010, 02:03
          Hanging cast - это так называемая повязка по Колдуелу, тяжеленная повязка оттягивающая плечо вниз?

          [ Ответить ]
          • Re: Сложный перелом плечевой кости
            Отправитель: Адонин 28 Январь 2010, 03:35
            Классически - да. На самом деле, думаю, ее давно уже никто не утяжеляет, и это - обычный above elbow cast. Теоретически его надо вешать на узкую полоску материала в районе запястья ( collar-and-cuff) , а не на косынку - чтоб локоть провисал и растягивал перелом. Есть ли практическая разница между collar-and-cuff и косынкой - утверждать не возьмусь

            [ Ответить ]
    Re: Сложный перелом плечевой кости
    Trypolski 26 Январь 2010, 19:55
    Скажите, а есть какие то особенности ведения пациентов с эпилепсией?
    Если у даного больного будет повторный эпиприпадок?

    [ Ответить ]

    • Re: Сложный перелом плечевой кости
      Отправитель: Адонин 26 Январь 2010, 20:08
      Думаю, для ортопеда все особенности ведения больного с эпилепсией - это контакт с невропатологом ( или терапевтом, или кто у вас там ответственен за эпилепсию) и недопущение последующих припадков :)
      У меня был больной, сломавший дифиз бедра во время припадка. После операции он во время след припадка погнул на 25 градусов двенадцатимиллиметровый блокированный гвоздь фирмы Biomet. так что просто надежной фиксацией заменить даекватнцю терапию эпилепсии не получится :)

      [ Ответить ]
      • Re: Сложный перелом плечевой кости
        Отправитель: Trypolski 26 Январь 2010, 20:50
        Так как речь идёт о продолжительном периоде - мне кажется, что гарантии отсутствия припадков невролог давать побоится...
        Выбор метода лечения должен быть изначально направлен на возможность очередного припадка или это необязательно?



        [ Ответить ]
        • Re: Сложный перелом плечевой кости
          Отправитель: Адонин 27 Январь 2010, 00:07
          В данном случае у Вас просто нет технической возможности добиться прочной фиксации. Если больной во время приступа упадет на Ваши пластины - он, как минимум, повырывает шурупы из проксимального фрагмента. Та же история будет с наружным фиксатором
          Я никогда не видел в учебниках отдельных рекомендаций по лечению больных с эпилепсией

          Кстати, если таки решите оперировать пластинами ( не советую)- не надо двух доступов, все делается из одного передне-медиального ( по дельтопекторальной борорзде вверху, передне-медиально внизу с "расщеплением" брахиалис

          [ Ответить ]
        • Re: Сложный перелом плечевой кости
          Отправитель: Адонин 27 Январь 2010, 00:32
          прошу прощения за описку, конечно, доступ - передне-ЛАТЕРАЛЬНЫЙ , а не переднемедиальный ( Henry's)

          [ Ответить ]
        • Re: Сложный перелом плечевой кости
          Отправитель: dmitri bondar 27 Январь 2010, 02:02
          "ПОлную гарантию даёт только страховой полис" Ильф и Петров 12 стульев
          Никакой синтез не удержит перелом при соответствующих нагрузках, тем более , что в данном случае нет возможности провести адекватный синтез
          С уважением Д.Б.

          [ Ответить ]
    • Re: Сложный перелом плечевой кости
      Отправитель: dmitri bondar 27 Январь 2010, 02:03
      АДекватная противоэпилептическая терапия под контролем нервоматолога.
      С уважением д.б.

      [ Ответить ]
    Re: Сложный перелом плечевой кости
    алексей 26 Январь 2010, 22:05
    пожалуй если нет неврологических и трофических нарушений в результате перелома, наверное полимерная повязка не самый плохой вариант, если отрепонировать под ЭОП.
    в интернатуре мне говорили что неоперированные переломы плеча срастаются в 100 % случаев, даже если стоят буквой т
    а вот оперированные только в 80 %
    ну либо насадить все на блокируемый штифт, куда приятнее чем делать несколько досупов с сомнительным железом.
    [ Ответить ]

    Re: Сложный перелом плечевой кости
    Михаил 27 Январь 2010, 00:09
    Доброе время суток!
    Учитывая достаточно "свежий срок" травмы, как вариант не надо исключать аппарат внешней фиксации (модификация, это уже по желанию). Буквально около 3-х месяцев назад был подобный клинический случай, естесственно, со своими особенностями. Основная задача сводилась к сохранению отломков по оси и восстановление ротационных смещений. Далее, после дистракции по длине, в средних кольцах был выполнена фиксация осколков в средних кольцах, по возможности устранялись смещения. Конечно, после остеосинтеза, как говорится, линии перелома было видно и даже более того сохранялись смещения на различную величину. В динамике, аппарат стоял 2 месяца, после чего благополучно демонтирован и пациент продолжил разработку. Проблемой может быть неудобство наложения полных колец или даже полуколец на определённые участки плеча, мы её решаем с помощью технических кусачек по металлу, вырезая из колец необходимые по размеру сегменты. Желаю удачи. Михаил. PS: сообщение увидел только дома, завтра постараюсь поднять рентгенограммы в архиве и выложить.
    [ Ответить ]

    Re: Сложный перелом плечевой кости
    Андрей Волна 27 Январь 2010, 03:04
    Наверное, в оговорённых условиях я лечил бы пациента консервативно. Без громоздких повязок, функционально. Конечно, далеко не 100% переломов плеча при консервативном лечении консолидируются, но, коллега Адонин прав в том, что месяца через 3-4 можно выполнить остеосинтез одного из переломов с пластикой, если консолидации не будет. Если же оперировать сейчас и в вышеназванных условиях, то вполне можно выполнить миниинвазивный остеосинтез традиционной пластиной из двух минидоступов. В приложенном файле подобный случай более, чем десятилетней давности из моего архива. Качество снимков паршивое, тк они делались ещё на обычные слайды для проектора, и лишь потом отцифровывались. Пластина ограниченного контакта, 4,5 мм, широкая (др тогда не было для плеча), длинная, винты кортикальные 4,5мм, вверху ещё и спонгиозный 6,5мм. Два переднелатеральных доступа - один проксимальный, другой дистальный, там же и выделен лучевой нерв. ЭОП не обязателен. Активная мобилизация конечности сразу же.
    Не надо и пытаться делать, мне кажется, - 2 пластины и анатомичную репозицию. При таком переломе совсем это плохо будет с биологической точки зрения. Лучше - или наружное шинирование повязкой, или внутреннее шинирование пластиной
    С уважением, Волна
    Кликните для загрузки файла Плечо(1).pdf
    118KB (121429 bytes)

    [ Ответить ]

    Re: Сложный перелом плечевой кости
    Шатохин Александр 28 Январь 2010, 02:31
    Для лечения по Сормиенто, перелом слишком высокий, но принцип остается тот-же-осевая коррекция. Четырех больных с подобными переломами (из 4) вылечил консервативно. Особенность в том, что нужно лично наблюдать больного 2 мес, не меньше.
    Удачи.
    [ Ответить ]

    Re: Сложный перелом плечевой кости
    Лавриненко 28 Январь 2010, 22:12
    Было нечто подобное несколько раз давно, не только у меня. Хорошо лечится консервативно - двумя полуортезами (гипсовыми на 3/4 диаметра каждый, изготовлялись по здоровой конечности) лечили вначале, постепенно подматывая для исправления оси, затем переводили в циркулярный гипс (после стыкования). Сейчас делаем примерно то же одной гипсовой или софт-кастовой шиной по Турнеру, также ежедневно подматывая эластичным бинтом.
    Что касаемо 2 больших или одного огромного разрезов - ругаюсь. Ходят на ногах, а не на снимках, машут руками, а не рентгенплёнками. Картинку получить можно, а функция будет хуже, чем без операции. Да трофические нарушения.
    А так - будьте здоровы - мне меньше работы.
    О.В.Лавриненко.
    [ Ответить ]

    Re: Сложный перелом плечевой кости
    Женя 29 Январь 2010, 02:19
    Вот как-то не пришлось видеть ложных суставов плечевой кости после консервативного лечения. А вот после "героических" реконструкций мегадоступами с применением псевдоконструкций видел, и ложняки, и стойкие невропатии лучевого нерва. Поэтому, по всем позициям согласен со сторонниками консервативного лечения.
    [ Ответить ]

    • Re: Сложный перелом плечевой кости
      Отправитель: Женя 29 Январь 2010, 02:25
      PS. Отличный вариант представил Андрей Волна!

      [ Ответить ]
    Re: Сложный перелом плечевой кости
    Антон Андрианов 30 Январь 2010, 08:44
    Недавно у нас закончил лечение пациент с подобным переломом, инвалид 1 группы по потере зрения.Перелом был осложнен нейропатией лучевого нерва. Первым этапом добились коррекции оси, через 3 недели меняли функциональные гипсовые повязки. Через 3 месяца при консолидации перелома и отсутствии регресса пареза кисти выполнена ревизия лучевого нерва, нерв был поджат фрагментом, выделен и уложен в мышечное ложе. За 6 недель наступило полное восстановление функции. Если раньше я прямым показанием к остеосинтезу считал перелом, осложненный нейропатией, то сейчас приходит время переоценки. Если врачу и пациенту недоступны современные фиксаторы, то разумнее выглядит лечение по Сармиенто.Напоминаю цитату из Сармиенто-в странах, где труд врача недооценен,врач всегда принимает решение в пользу остеосинтеза фиксатором из своего стола.
    [ Ответить ]

    Re: Сложный перелом плечевой кости
    Александр Н.(Самара) 10 Февраль 2010, 08:52
    Лет 15 назад подобные переломы нам удавалось лечить в отводящей шине ЦИТО с вытяжением за локтевой отросток - пару месяцев мучений и хороший результат, а "умные операции надо делать умным пациентам". Вас ведь ни кто не заставляет оперировать!

    С уважением Александр Н.
    Это провакационный вопрос: мы такие хорошие, а вот администация у нас........................ Не верю!!!!!!

    С уважением Александр.
    [ Ответить ]


    ( Ответить )

    Powered by Zope  Squishdot Powered MedLink
    Посетитель: 0000106
      "По форме правильно, а по существу - издевательство" В.И.Ленин
    ©2001-2019Orthoforum Coordinator.
    [ Главная | Отправить сообщение | Поиск | Админ ]