Ответить
|
Re: Ложный сустав плечевой кости
алексей 07 Февраль 2010, 16:35
|
пластику надо делать
|
[
Ответить ]
|
Re: Ложный сустав плечевой кости
Отправитель: Владимир 07 Февраль 2010, 17:02
|
Алексей, спасибо. Краткость - сестра таланта.
Предлженное Вами напрашивается само собой.
Если не трудно - что, откуда, куда, способ фиксации.
Заранее благодарен.
|
[
Ответить ]
|
|
Re: Ложный сустав плечевой кости
sergey adonin 07 Февраль 2010, 18:54
|
убрать железо,скусить склерозированную кость с места пеерлома, реостеосинтез нормальным блокированным гвоздем максимального диаметра, хороший контакт между фрагментами ( не бояться укорочения плеча), место перелома обложить спонгиозным аутотрансплантатом из грубня подвздойной кости
|
[
Ответить ]
|
Re: Ложный сустав плечевой кости
Отправитель: Савин Иван 07 Февраль 2010, 20:51
|
Полностью согласен!
|
[
Ответить ]
|
|
Re: Ложный сустав плечевой кости
valeevmm 07 Февраль 2010, 22:40
|
Здравствуйте г. Шевченко! В данном случае мне думается,что необходима свободная костная пластика аутотрансплантатом из фрагмента малоберцовой кости на микрососудистых анастомозах с накостным остеосинтезом. Использование некровоснабжаемого костного трансплантата чревато лизисом последнего. Спасибо. С уважением профессор Валеев (г, Уфа).
|
[
Ответить ]
|
Re: Ложный сустав плечевой кости
Владимир 07 Февраль 2010, 23:17
|
Спасибо всем за участие. Надеюсь, это не последние сообщения. К сожалению, интрамедуллярных стержней по ОМС нет, за наличные средства (при предварительной беседе) больной приобретать фиксаторы не желает, настаивать в настояще время чревато.
Уважаемый проф. Валеев, у меня изначально появились аналогичные мысли, проблема в том, что микрососудистой техникой не владею. Насколько вероятен благоприятный результат при трансплантации непитаемого фрагмента?
Ответ предполагаю, но Ваше мнение услышать хочется.
К сожалению, неизвестна рентгенологичекая картина состояния кости и положения отломков до, во время и в ранние сроки после повторной операции ( да и поле первой тоже). Произошел ли лизис при имевшемся адекватном контакте отломков, либо остеосинтез был выполен с диастазом, что так - же не исключается.
С уважением, Владимир.
|
[
Ответить ]
|
Re: Ложный сустав плечевой кости
Отправитель: адонин 07 Февраль 2010, 23:26
|
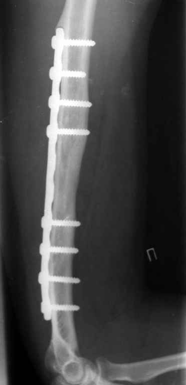
был ли остеосинтез с диастазом - неизвестно, но неадекватность фиксации пластиной достаточно очевидна.
1 пластина тонкая
2 всего 6 шурупов через пластину - для плеча это минимальное требование при свежем переломе
3 проксимальный фрагмент на момент ( или в ходе) второй операции был расколот , о чем свидетельствует наиболее проксимальный lag screw, то есть прокс 3 шурупа через пластину были введены в расколотый фрагмент. Неудивительно, что пластину вырвало
|
[
Ответить ]
|
|
Re: Ложный сустав плечевой кости
Владимир Троицкий 08 Февраль 2010, 01:56
|
Уважаемый коллега! Судя по ренгенограммам, потенциал для сращения у данного перелома имеется. Основная проблема, ИМХО, заключается в отсутствии стабильной фиксации. В тоже время мягкие ткани достаточно скомпроментированы мредшествующими вмещательствами. Учитывая имющиеся ограничения (технические, финансовые)представляется логичным выполнить по возможности малотравматичное удаление металлокоснтрукции с последующей фиксацией аппаратом в режиме компрессии.
С уважением В. Т.
|
[
Ответить ]
|
Re: Ложный сустав плечевой кости
Alexander Artemiev 08 Февраль 2010, 02:08
|
Здравствуйте, Владимир.
Костную пластику я бы не советовал Вам применять ни в коем случае.
Получите весь набор осложнений.
Удалите пластину как можно деликатнее, что, впрочем, не застраховывает от развития неврита.
И далее - внешняя фиксация спице-стержневым аппратом.
Репозиция, компрессия - само собой.
Перелом давно бы сросся, если бы ему не мешали.
Костная вставка будет ещё одной распоркой.
С уважением Александр Артемьев
Мытищи
|
[
Ответить ]
|
Re: Ложный сустав плечевой кости
Alexander Chelnokov 08 Февраль 2010, 02:38
|
Мысли направляются в сторону минимально инвазивного удаления всего металла, закрытого формирования канала и остеосинтеза гвоздем с антибактериальным цементным покрытием. Чтобы это был своего рода
эндопротез диафиза.
|
[
Ответить ]
|
Re: Ложный сустав плечевой кости
Дмитрий 08 Февраль 2010, 03:19
|
на мой взгляд ,это удаление всех инородных тел ,подработка концов плечевой кости и фиксация ап.Илизарова.Затем идти на укорочение плеча и достигать сращения...Не стоит в очередной раз получать осложнений от различных костных пластик и других остеосинтезов...Ведь это всё уже было...
Спасибо...
|
[
Ответить ]
|
Re: Ложный сустав плечевой кости
Николай Гуза 08 Февраль 2010, 05:19
|
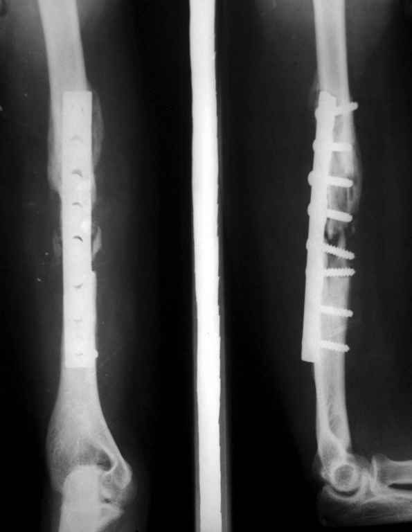
Здравствуйте Владимир! На всех рентгенограммах определяется лизис костной ткани вокруг шурупов, на боковой проекции похоже секвестр, это -- в пользу остеомиелита. Рекомендую: удаление металлоконструкций краевую резекцию концов плечевой кости, ревизию каналов после удаленных шурупов, при наличии признаков остеомиелитических грануляций провести кюретаж. Наложить спице-стержневой АВФ + открытую репозицию отломков. При необходимости проточно- промывное дренирование. Желательно применение Коллапана интраоперационно.
|
[
Ответить ]
|
Re: Ложный сустав плечевой кости
Николай Гуза 08 Февраль 2010, 05:19
|
Здравствуйте Владимир! На всех рентгенограммах определяется лизис костной ткани вокруг шурупов, на боковой проекции похоже секвестр, это -- в пользу остеомиелита. Рекомендую: удаление металлоконструкций краевую резекцию концов плечевой кости, ревизию каналов после удаленных шурупов, при наличии признаков остеомиелитических грануляций провести кюретаж. Наложить спице-стержневой АВФ + открытую репозицию отломков. При необходимости проточно- промывное дренирование. Желательно применение Коллапана интраоперационно.
|
[
Ответить ]
|
Re: Ложный сустав плечевой кости
Виталий Дрягин 08 Февраль 2010, 15:13
|

Владимир. Выделяем свои малоберцовую кость практически полность. Выпиливаем замок там и тут. Синтез. Нетипичный случай, но перестраивается хорошо даже диафиз. С уважением Дрягин
|
[
Ответить ]
|
Re: Ложный сустав плечевой кости
Андрей Волна 08 Февраль 2010, 20:33
|
Коллеги, др Виталий Дрягин представил отличное наблюдение. Аутотрансплантат в случае достижения абсолютной стабильности при лечении ложных суставов плеча работает отлично! Другой способ пластики так же с достижением абсолютной стабильности я представил в теме под названием "Результат консервативного лечения короткого косого перелома диафиза плеча врачами общей практики в условиях развивающейся страны у больного low social class"
С уважением, Андрей Волна
|
[
Ответить ]
|
Re: Ложный сустав плечевой кости
В. Машталов 10 Февраль 2010, 13:18
|
Здесь мозможно развитие 2-х сценариев
1. есть инфекционое осложнение-
вариант А.Н. Челнокова интрамедулярное шинирование гвоздем с антибактериальным покрытием .
2. нет инфекционного осложения- штифтование с костной пластикой. Мы бы выполнили металлокаркасную пластику (методика ЦИТО А.Ф. Лазарева и К) с комбинированным алло-аутотрансплантатом.
Как лечить данный перелом в рамках финансирования ОМС, увы, не знаю.
В.Машталов
|
[
Ответить ]
|
Re: Ложный сустав плечевой кости
олег ли (хабаровск) 12 Февраль 2010, 20:22
|
Премногоуважаемейший коллега, Владимир. Мне кажется, учитывая анамнез и состояние м/тканей одним из вариантов лечения ложного сустава будет формирование с рассверливанием канала развертками до 9 мм (или даже более) , что в общем то уже костная аутопластика. Далее фиксациия спицестержневым аппаратом в положении компрессий.Если есть основания предпологать наличие остеомиелита,то возможно использование нескольких спейсеров интрамедуллярно в виде отдельных спиц с небольшим слоем цемента с А/Б.
Олег Ли.
|
[
Ответить ]
|
Re: Ложный сустав плечевой кости
Отправитель: олег ли (хабаровск) 12 Февраль 2010, 20:25
|
Ну удаление пластины малоинвазивно - само собой.
|
[
Ответить ]
|
|
( Ответить )
|