AOTRAUMA.ORG Центр Илизарова  

Ортопедия и травматология Общие вопросы/General questions Help Информационные технологии в медицине
 вверх
 отправить
 поиск
 админ
 главная
 Предыдущее
 Весь тред


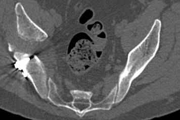
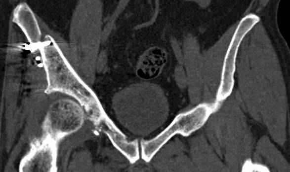
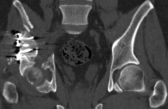
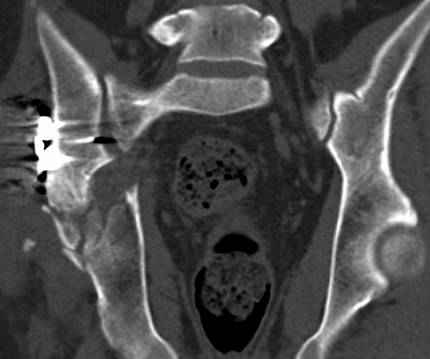
Re: перелом правой половины таза
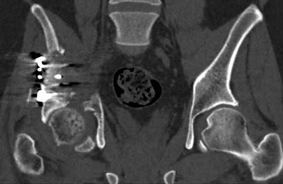
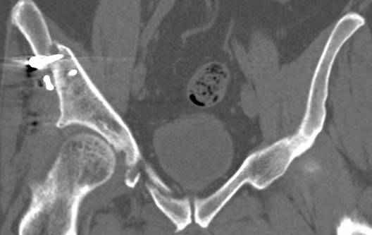
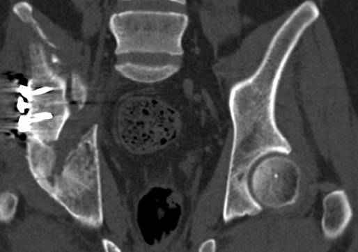
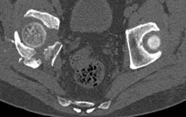
Батал Шушания 28 Апрель 2010, 22:44


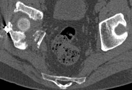
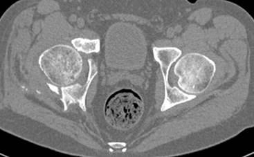
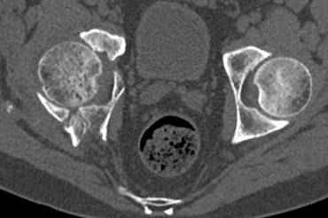
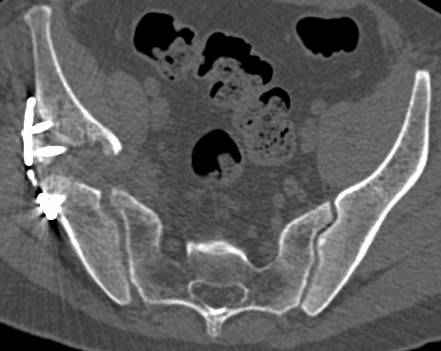
высылаю дополнительно сканы.


  • Сообщения о Ортопедия и травматология
  • Также Батал Шушания
  • Связаться с автором
  • Ответить

    Re: перелом правой половины таза
    Алексей 29 Апрель 2010, 00:55
    итак, второй вариант: высокий двухколонный с вовлечением КПС... Ни одно из основных повреждений не репонировано, кроме задней стенки. Скорее всего попытка реконструкции вертлуги сейчас будет очень травматичной и не очень эфективной, т.е. вероятный риск более значим, чем ожидаемая польза... Лучше подождать, и потом сразу эндопротез
    [ Ответить ]

    • Re: перелом правой половины таза
      Отправитель: Maxim Agalakov 29 Апрель 2010, 23:54
      >Лучше подождать, и потом сразу эндопротез

      подождать сколько, чего? такая дыра в задней колонне не закроется никогда.

      потом эндопротез какой? в такой ситуации приходит на ум Burch-Schneider cage, в 35 лет, дальше что делать?

      [ Ответить ]

     

    ( Ответить )

    Powered by Zope  Squishdot Powered MedLink
    Посетитель: 0000117
      "По форме правильно, а по существу - издевательство" В.И.Ленин
    ©2001-2019Orthoforum Coordinator.
    [ Главная | Отправить сообщение | Поиск | Админ ]