Ответить
|
Re: перелом правой половины таза
Maxim Agalakov 27 Апрель 2010, 19:23
|
ключевой момент в подобной ситуации если думать о реконструкции под эндопротез - репозиция задней колонны. Что сделать сейчас - нужно начать со стандартных проекций Judet. Исправить ситуацию сейчас очень сложно и рискованно.
|
[
Ответить ]
|
Re: перелом правой половины таза
Alexey Semenisty 28 Апрель 2010, 03:48
|
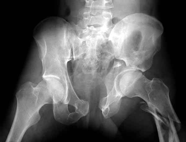
Интересно было бы посмотреть рентгенограммы до операции. У меня впечатление, что я не все вижу, что тут есть... Уважаемые Господа "тазисты" и "тазологи", к какому типу переломов вертлужной впадины по Летурнелю вы бы отнесли это случай?
Из переломов проходящих через крыло и/или заднюю стенку ни простой перелом "передней колонны" (явно имеется пером задней стенки, и не видно перелома седалищной или лонной), ни простой "поперечный", ни ассоциированный "Т-образный" (т.к есть перелом крыла и не видно перелома седалишной), ни ассоциированный "задняя колонна+задняя стенка", на ассоциированный "поперечный+задняя стенка", ни ассоциированный "передняя колонна+задняя гемисфера" (не видно перелома седалищной), ни ассоциированный "обе колонны" (не видно перелома лонной седалищной) не подходят под эту классификацию....
Вопрос к знатокам: Так что это?
|
[
Ответить ]
|
Re: перелом правой половины таза
Отправитель: Maxim Agalakov 28 Апрель 2010, 17:22
|
>Вопрос к знатокам: Так что это?
к таковым себя не причисляю, но...обычное дело для нашей страны - выкладывать 3D и не показывать стандартные проекции Judet. Дигност представляет те ракурсы, которые по-его мнению наиболее информативны, более того комп сам достраивает какие-то мелкие повреждения по 3D по своему усмотрению. По данной реконструкции можно предполагать высокий двухколонный перелом с оскольчатыми передней и задней колоннами, оскольчатую высокую переднюю колонну с задним полупоперечником или одно из перечисленных с вовлечение КПС. У меня впечатление за второй вариант, но нужно обследовать нормально - проекции, сканы.
С уважением, Максим Агалаков, Е-бург.
|
[
Ответить ]
|
Re: перелом правой половины таза
Отправитель: Батал Шушания 28 Апрель 2010, 22:44
|

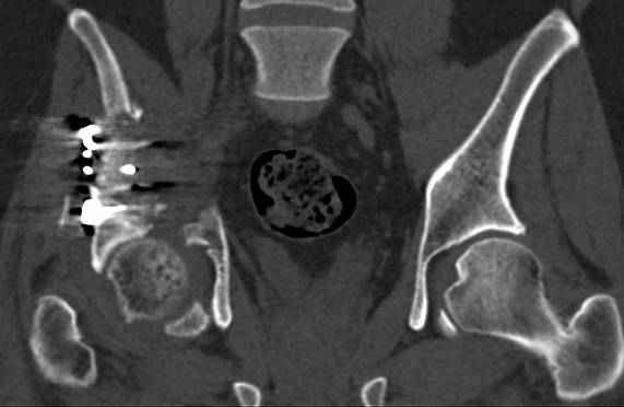
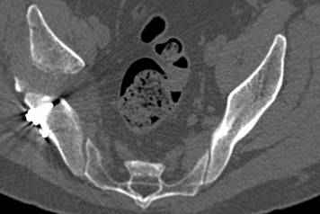
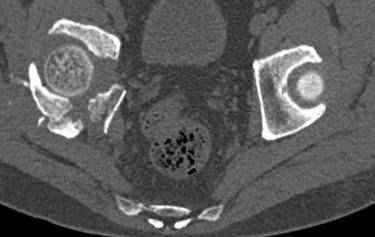
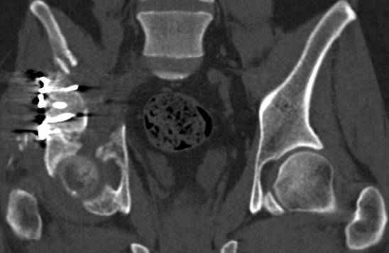
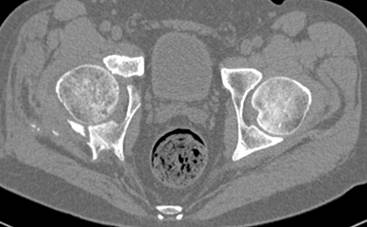
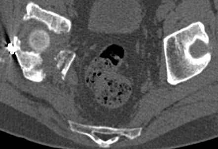
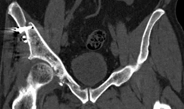
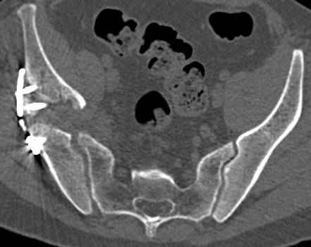
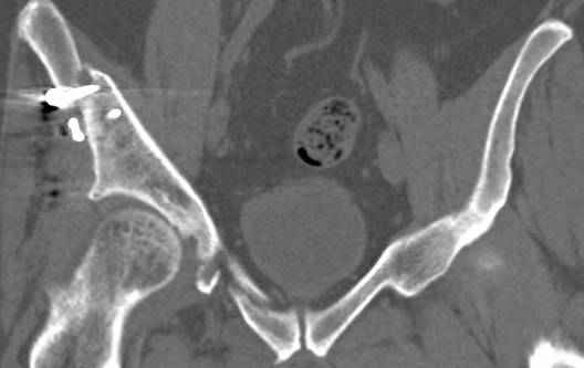
высылаю дополнительно сканы.
|
[
Ответить ]
|
Re: перелом правой половины таза
Отправитель: Алексей 29 Апрель 2010, 00:55
|
итак, второй вариант: высокий двухколонный с вовлечением КПС... Ни одно из основных повреждений не репонировано, кроме задней стенки. Скорее всего попытка реконструкции вертлуги сейчас будет очень травматичной и не очень эфективной, т.е. вероятный риск более значим, чем ожидаемая польза... Лучше подождать, и потом сразу эндопротез
|
[
Ответить ]
|
Re: перелом правой половины таза
Отправитель: Maxim Agalakov 29 Апрель 2010, 23:54
|
>Лучше подождать, и потом сразу эндопротез
подождать сколько, чего? такая дыра в задней колонне не закроется никогда.
потом эндопротез какой? в такой ситуации приходит на ум Burch-Schneider cage, в 35 лет, дальше что делать?
|
[
Ответить ]
|
|
Re: перелом правой половины таза
Атом Тер-Григорян 30 Апрель 2010, 02:24
|
Когда перелом не получается отнести к какому либо типу - эффективнее всего описать более детально. В дальнейшем проще бывает сортировать, и что важнее - "руководство к действию" бывает более обоснованным. В данном случае графа клинического диагноза может выглядеть так: Застарелый разрыв правого крестцово-подвздошного сочленения, консолидирующиеся со смещением переломы крыла и тела правой подвздошной кости, обеих колонн и задней гемисферы правой вертлужной впадины. Состояние после остеосинтеза.
Исходя из возраста пациента без сомнения желательно подготовить основу для установки "Press Fit" (Magnum). Одним словом сначала необходимо выполнить Реконструкцию.
Более детально при очной консультации.
Москва, Вешняковская 23, Административный корпус, 4 этаж, 1 Травматологическое отделение.
|
[
Ответить ]
|
Re: перелом правой половины таза
Отправитель: Maxim Agalakov 30 Апрель 2010, 20:19
|
>Застарелый разрыв правого крестцово-подвздошного сочленения, консолидирующиеся со смещением переломы крыла и тела правой подвздошной кости, обеих колонн и задней гемисферы правой вертлужной впадины. Состояние после остеосинтеза.
исходя из непонимания паттерна повреждения, как вы собираетесь подготовить впадину? Доступы? сразу протез или реконструкцию или создание bone stock? secondary congruency?
|
[
Ответить ]
|
Re: перелом правой половины таза
Отправитель: Атом Тер-Григорян 01 Май 2010, 03:57
|
>исходя из непонимания паттерна повреждения, как вы собираетесь подготовить впадину?
А что Ввам не понятно? И что Вам дадут нового в понимании паттерна данного повреждения "стандартные проекции"? Согласен! Есть детали, которые требуют осмотра пациента, но это детали. А тактика, как уже и говорилось: Реконструкция, потом эндопротезирование. Доступ... Впрочем, нагляднее посмотреть презентацию (прикрепленный файл). В представленном случае все делалось одномоментно - реконструкция и эндопротезирование. Доступы сочетались (задний и подвздошно-паховый). В данном же случае желательно выполнить в 2 этапа.
(презентация PowerPoint, 443 Kb)
|
[
Ответить ]
|
Re: перелом правой половины таза
Отправитель: Maxim Agalakov 01 Май 2010, 10:12
|
>И что Вам дадут нового в понимании паттерна данного повреждения "стандартные проекции"?
понимание Классификации Летурнеля позволило бы вам скорее всего выполнить реконструкцию под эндопротез из одного стандартного доступа в одну сессию, а не из двух с непонятным отпиливанием крыльев. Два доступа имели бы смысл, если бы планировалась полная реконструкция сустава в расчете на его функционирование его какое-то время. Представленный вами случай задает больше вопросов, чем ответов. Стоило затевать такую реконструкцию, чтоб установить обычную цементную чашку. Зачем 2 этапа для первичного эндопротезирования?
|
[
Ответить ]
|
Re: перелом правой половины таза
Отправитель: Атом Тер-Григорян 01 Май 2010, 12:25
|
Чего-либо принципиально нового мы не увидим на стандартных проекциях. Да, проекции делать надо. Это принятый алгоритм обследования. Но, представленные 3D и срезы вполне достаточны для клинического случая и понимания.
Из какого одного "стандартного" доступа вы собираетесь выполнить реконструкцию спустя 3 месяца? Из расширенного подвздошно-бедренного или У-образного с flip остеотомией большого вертела. В обеих случаях, скорее всего, разрез будет в проекции послеоперационного рубца. А мы даже пациента не видели. А задние отделы?!!! Надо фиксировать или нет? А если надо, то как, каким доступом? У "непонятного" отпиливания крыла - есть вполне понятные причины и обоснование. Это не ново! Или перкутанно фиксировать КПС? (спустя 3 месяца)!
Но это все детали, вопросы, на которые можно получить ответ при осмотре и прицельном обследовании пациента.
А почему в 2 этапа? Исключительно для установки press-fit, а не обычную цементную чашку в реконструированную первым этапом и сросшуюся вертлужную впадину.
|
[
Ответить ]
|
Re: перелом правой половины таза
Отправитель: Maxim Agalakov 02 Май 2010, 10:57
|
все ответы на ваши вопросы есть в книжке Летурнеля
>отпиливания крыла - есть вполне понятные причины и обоснование
понятные для вас и д-ра Казанцева. кроме того, этот доступ давно изучен буржуями и благополучно забыт как нерациональный
|
[
Ответить ]
|
Re: перелом правой половины таза
Отправитель: Атом Тер-Григорян 02 Май 2010, 14:49
|
Спасибо за книжку Летурнеля.
А какую книжку рекомендуете по поводу "давно изученного буржуями и благополучно забытого как нерациональный" доступа? )
|
[
Ответить ]
|
|
Re: перелом правой половины таза
Батал Шушания 02 Май 2010, 12:47
|
Коллеги, нечто подобное обсуждалось на сайте по этой ссылке http://www.weborto.net/forum/1206360615/index_html
Было бы хорошо, если подключились к обсуждению данной темы и другие коллеги оперирующие на тазовых костях, например господин Рунков А.В.
С уважением, Батал Шушания.
|
[
Ответить ]
|
Re: перелом правой половины таза
Отправитель: Рунков А.В. 04 Май 2010, 12:47
|
Доброго дня, коллеги!
Судя по представленным реконструкциям (не очень хорошего качества - много наводок)
мы имеем дело с полупоперечным переломом у которого отломался задний край или его отломали, превратив перелом в полный двухколонный.
По отдельным срезам и тем более по реконструкции трудно судить о сращении крыла и задней колонны с осевым скелетом.
В большинстве случаев при двухколонных переломах
в итоге получается прочный бублик с дыркой. При эндопротезировании в дырку помещается головка, а чашка должна неплохо заклиниться в бублике.
Главное, чтобы бублик не был разорван, что не очень понятно на представленных снимках.
Поэтому хотелось бы дообследовать больного (разумеется включив стандартные проеции judet,и срезы показывающие сращение)
И наконец главное- какие жалобы у пациента, он нагружает ногу или нет, какая клиника, что-то все рентгенограмму бросились лечить?
Может он спокойно походит на своем суставе и для протеза еще не созрел?
с уважением РАВ.
|
[
Ответить ]
|
Re: перелом правой половины таза
Отправитель: Батал Шушания 04 Май 2010, 21:31
|
Пациент передвигается с помощью костылей с дозированной нагрузкой на правую ногу. При движении правой нижней конечностью ощущает щелчки. Болей в правом тазобедренном суставе в настоящее время нет. Вся правая нижняя конечность умеренно ротирована наружу.
С уважением Батал Шушания.
|
[
Ответить ]
|
Re: перелом правой половины таза
Отправитель: Рунков А.В. 05 Май 2010, 13:19
|
Хорошо бы на рентгенограммы взглянуть и побольше срезов по своду. С каким отломком головка контактирует и как ее состояние.
|
[
Ответить ]
|
|
Re: перелом правой половины таза
Djoldas Kuldjanov 06 Май 2010, 14:44
|
При ведении осложненных больных для предотвращения конфликтной ситуации, мы не указываем, где и кем был оперирован пациент. Независимо от осложнений, необходимо принимать меры по дальнейшему исправлению ситуации, и лечить больного как собственного. Известно, что, кроме обиды коллег, такие PR заявления не приносят ничего хорошего, а провоцируют больного на более смелые меры против врача...
Во-первых у кого ошибок не бывает.., тем более, здесь очень скудная информация. Нет данных, как проводили послеоперацинный период, например, были случаи, когда довольно хорошо сопоставленный перелом из-за минимума фиксации смещался вторично. Также в осложнении немаловажную роль играет поведение больного, недисциплинированность которого потенциально увеличивает риск осложнений.
Все выступающие коллеги высказались насчет необходимости стандартных снимков по Judet, потому что для определения тактики лечения переломов вертлужной впадины 3Д снимки малоинформативны.
Летурнель разработал классификсацию на основании прямого, запирательного и подвздошного рентген снимков, котоые, кроме описания характера переломов, также подсказывают адекватный доступ для репозиции перелома.
Из того минимума, что представлено, мне кажется, мы имеем дело с двухколонным переломом вертлужной впадины. Обычно медиальный (центральный) "вывих" головки встречаются в сложных двухколонных переломах со смещением.
По-моему, надо готовить больного к будущей артропластике, но без опоры на задний столб невозможно удержать протез. Опорная конструкция (кольца и т.д.) должны иметь опору, и поэтому мы бы сделали реостеосинтез задним доступом. При надобности остеотомия и рутинная фиксация с межколонными винтами.
В дальнейшем, время покажет, когда приступить к артропластике....
Здесь несколько вариантов двухколонных свежих переломов, которые были оперированы из одного-заднего, а также из двух: переднего и заднего доступов.

PS. при описании диагноза среди специалистов желательно описать перелом более корректным ортопедическим диагнозом, чем диагноз "перелом половины таза".
Djoldas Kuldjanov, M.D.
Department of Orthopedic Surgery
St. Louis University
|
[
Ответить ]
|
Re: перелом правой половины таза
Отправитель: Батал Шушания 06 Май 2010, 22:46
|
Уважаемый доктор Djoldas Kuldjanov/ Спасибо за ответ представленныую презентацию. Я вроде бы не укзала ни имен, ни фамилий на форуме.
Доктор Djoldas Kuldjanov, Вы бы взялись бы исправить сложившуюся ситуацию у данного пациента? Пациент может приехать к Вам/
С уважением Шушания Батал.
|
[
Ответить ]
|
Re: перелом правой половины таза
Отправитель: Батал Шушания 06 Май 2010, 22:46
|
Уважаемый доктор Djoldas Kuldjanov/ Спасибо за ответ представленныую презентацию. Я вроде бы не укзала ни имен, ни фамилий на форуме.
Доктор Djoldas Kuldjanov, Вы бы взялись бы исправить сложившуюся ситуацию у данного пациента? Пациент может приехать к Вам/
С уважением Шушания Батал.
|
[
Ответить ]
|
|
Re: перелом правой половины таза
Батал Шушания 07 Май 2010, 00:26
|
Дополнительные сканы
сканы.jpg
203KB (208697 bytes)
|
[
Ответить ]
|
Re: перелом правой половины таза
Отправитель: Батал Шушания 07 Май 2010, 00:43
|
Прошу прощения, но проекции Judet, о которых идет речь, трудно выполнимы, из-за того, что пациент находится дома, а на исследования привозят на машине скорой помощи лежа. Это опять надо заказывать "перевозку", чтобы его лежа привезли в стационар. Пациент дисциплинированный, выдерживает четко все рекомендации хирургов.
С уважением, Шушания Батал.
|
[
Ответить ]
|
|
( Ответить )
|
|