ВХОД ДЛЯ ПАЦИЕНТОВ
вверх
поиск
админ
главная
исходное
|
Re: перелом правой половины таза
послал Djoldas Kuldjanov 06 Май 2010, 14:44
|
При ведении осложненных больных для предотвращения конфликтной ситуации, мы не указываем, где и кем был оперирован пациент. Независимо от осложнений, необходимо принимать меры по дальнейшему исправлению ситуации, и лечить больного как собственного. Известно, что, кроме обиды коллег, такие PR заявления не приносят ничего хорошего, а провоцируют больного на более смелые меры против врача...
Во-первых у кого ошибок не бывает.., тем более, здесь очень скудная информация. Нет данных, как проводили послеоперацинный период, например, были случаи, когда довольно хорошо сопоставленный перелом из-за минимума фиксации смещался вторично. Также в осложнении немаловажную роль играет поведение больного, недисциплинированность которого потенциально увеличивает риск осложнений.
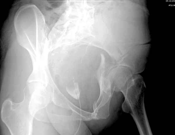
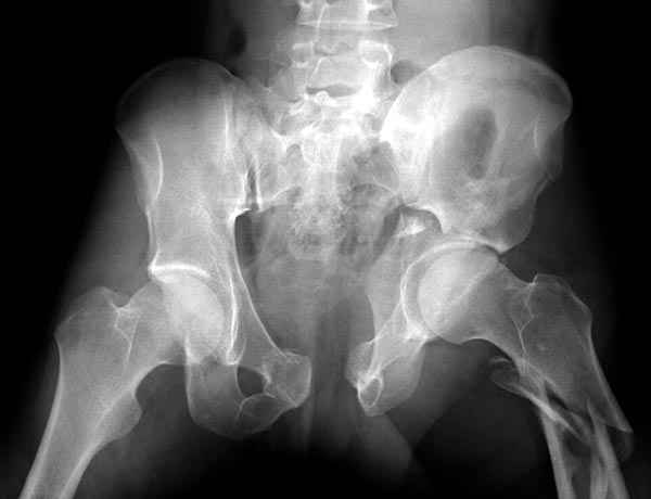
Все выступающие коллеги высказались насчет необходимости стандартных снимков по Judet, потому что для определения тактики лечения переломов вертлужной впадины 3Д снимки малоинформативны.
Летурнель разработал классификсацию на основании прямого, запирательного и подвздошного рентген снимков, котоые, кроме описания характера переломов, также подсказывают адекватный доступ для репозиции перелома.
Из того минимума, что представлено, мне кажется, мы имеем дело с двухколонным переломом вертлужной впадины. Обычно медиальный (центральный) "вывих" головки встречаются в сложных двухколонных переломах со смещением.
По-моему, надо готовить больного к будущей артропластике, но без опоры на задний столб невозможно удержать протез. Опорная конструкция (кольца и т.д.) должны иметь опору, и поэтому мы бы сделали реостеосинтез задним доступом. При надобности остеотомия и рутинная фиксация с межколонными винтами.
В дальнейшем, время покажет, когда приступить к артропластике....
Здесь несколько вариантов двухколонных свежих переломов, которые были оперированы из одного-заднего, а также из двух: переднего и заднего доступов.

PS. при описании диагноза среди специалистов желательно описать перелом более корректным ортопедическим диагнозом, чем диагноз "перелом половины таза".
Djoldas Kuldjanov, M.D.
Department of Orthopedic Surgery
St. Louis University
|
| Послать ответ |
Обратите внимание: Поля с жирными названиями обязательны.
Старайтесь отвечать в рамках обсуждаемой темы, а не начинать новые обсуждения.
Указывайте адекватную тему сообщения, чтобы было ясно, о чем оно.
Не послайте сообщений не по теме (оффтопик), раздраженных, грубых или обидных комментариев. Здесь это неуместно.
|