вверх
отправить
поиск
админ
главная
|
Неправильно консолидирующийся перелом бедра |
 |
 |
 |
Отправлено Пименов Владимир 10 Июнь 2010, 18:58
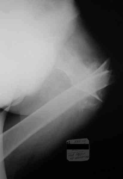
Уважаемые коллеги! Прошу помощи по приведенному случаю. Пациент 34 лет бомж получил травму окло 1,5-2 мес назад. За мед помощью не обращался. При поступлении левая нижняя конечность резко ротирована кнутри, варусная деформация бедра. По наружной поверхности рана 2 на 2 см с незначительным серозно гнойным отделяемым,умеренными грануляциями, в ране дистальный отломок бедреной кости. Патологическая подвижность в области перелома назначительная. Проведена попытка репозии дистракционным аппаратом, с незначительным эффектом (несколько уменьшилась внутренняя ротация.Что делать дальше? Остеотомия? Санация гнойного очага
<
|
>
|
|
Ответить
|
Re: Неправильно консолидирующийся перелом бедра
Пименов Владимир 10 Июнь 2010, 20:25
|

Рентгенограммы приложить не получается
|
[
Ответить ]
|
Re: Неправильно консолидирующийся перелом бедра
Андрей Волна 11 Июнь 2010, 22:06
|
Владимир, Вы видите, пока не так много предложений, тк пациент асоциальный, а у адаптированных людей, наверное, таких ситуаций уже и не бывает. Если Вы можете этого больного лечить, то есть Вас не давят сроками, то я бы здесь сделал бы достаточно экономную резекцию выступающих в рану отломков, исправил аккуратно ось, первично с дренажом зашил рану или оставил бы даже открыто, возможно, с последующим швом. И положил бы красавца на вытяжение. За 5-6 недель он ещё бы и отъелся. И, возможно, ничего больше и не придётся делать. Когда я начинал только работать, это было в Сибири, в ряде случаев данная тактика при ограниченных гнойных процессах была очень оправдана. Через 6 недель посмотрите...
С уважением, Андрей Волна.
|
[
Ответить ]
|
Re: Неправильно консолидирующийся перелом бедра
Пименов Владимир 12 Июнь 2010, 00:38
|
Спасибо за совет! Примерно тоже мнение сложилось и у нас.
|
[
Ответить ]
|
Re: Неправильно консолидирующийся перелом бедра
Александр Рыков 12 Июнь 2010, 02:30
|
Активная хирургия - ВХО, резекция пораженной кости, репозиция, фиксация АВФ, а\б терапия. Далее по ситуации с течением раневого процесса. Если "страшно" - пошли в вышестоящее ЛПУ. А Рыков Хабаровск
|
[
Ответить ]
|
Re: Неправильно консолидирующийся перелом бедра
Paul 12 Июнь 2010, 22:31
|
Имеющийся опыт подсказывае. что в любом случае необходим союз врача и больного. при его достижении определяется конечная цель. Необходими договориться оправилах поведения. Только после этого можно приступать к действиям.
Итак, если больной адекватный и осознает, и выполняет все предписанные условия только тогда лечение возможно.
На мой взгляд, наилучший выбор, если позволяют условия воспользоваться консервативным методом лечения. на кокомто, прогнозируемом этапе, воспользоваться кокситной поязкой и услугами социальных служб. Да поможет Вам бог.
|
[
Ответить ]
|
Re: Неправильно консолидирующийся перелом бедра
Белоконь Александр 13 Июнь 2010, 19:01
|
Полностью согласен с А.Рыковым. Думаю скелетное вытяжение, как завершающий этап лечения, не лучший способ выхода из ситуации. Так как пролежни могут испортить все, а чтобы этого не было, понятно, нужен уход.
|
[
Ответить ]
|
Re: Неправильно консолидирующийся перелом бедра
Илья Иофин 14 Июнь 2010, 08:45
|
Я бы начал с резекции мёртвой кости и хирургической обработки раны, поставил бы АВФ и цементные бусы с антибиотиками. После 6-ти недельного курса антибиотиков, фиксировал бы перелом штырём. Так как перелом весьма проксимальный (трудно судить по этому рентгену, надо сделать рентген с бедром на вытяжении), то есть вариант резекции прохимального отломка (Girdlestone arthroplasty). Нога укоротиться и пациент будет хромать, но будет ходить без болей. Но его можно будет мобилизировать довольно быстро, избегая проблемы с длительным постельным режимом и вытяжением. Учитывая, что больной вероятно не будет особо строго следовать указаниям врачей, это неплохой вариант для него и избежит осложнений с длительным лечением.
|
[
Ответить ]
|
Re: Неправильно консолидирующийся перелом бедра
Алексей Минервин 16 Июнь 2010, 00:44
|

А ножка выглядит так (приложение).
|
[
Ответить ]
|
Re: Неправильно консолидирующийся перелом бедра
Отправитель: Михаил 26 Июнь 2010, 01:45
|
Коллеги, фиксировать перелом "штырем" это, конечно хорошо, но ведь мы говорим об АСОЦИАЛЬНОМ пациенте. Можно много сказать на тему, начиная от "умные операции - умным людям" - до "на бомжах как на собаке заживает". Можно влететь так, что он не два месяца у вас на склетке проведет. а потом в коксит, на всякий случай, и домой. Он может стать вашим клиентом намного дольше. Но опять же, соглашусь с коллегой - надо пообщаться, выяснить, что за человек, может еще не совсем дегенерат... Но опять же, допустим возьмете "гуманитарный" гвоздь. Из своих личных запасов возьмете цемент (если он там имеется), смешаете его с хорошим антибиотиком (посевы - врут), синтезируете - может быть и получится, только стоит ли игра свеч? Так что, мое мнение такое автору вопроса - полагайтесь на интуицию, знание ситуации и фразу "лучшее - враг хорошего". Мнения здесь - всего лишь мнения, а решение принимать вам. Хотя, судя по дате вашего поста - вы его уже должны были принять.
Поделитесь историей, интересно же))
|
[
Ответить ]
|
|
Re: Неправильно консолидирующийся перелом бедра
Пименов Владимир 09 Июль 2010, 01:39
|
Произведена секвестрэктомия, остеотомия костной мозоли(кстати говоря мозоль оказалась довольно таки приличной) Рана ушита нагрухо. Наложено ДСВ за мышелки бедра. Рана зажила первичным натяжением. Пациенту наложен коксит, готовится на выписку.
07-07-2010 11-57-54 AM.png
280KB (286965 bytes)
|
[
Ответить ]
|
( Ответить )
|
|