AOTRAUMA.ORG Центр Илизарова  

Ортопедия и травматология Общие вопросы/General questions Help Информационные технологии в медицине
 вверх
 отправить
 поиск
 админ
 главная


помощь после артроскопии
Ортопедия и травматология Отправлено Королев Максим 18 Июнь 2010, 20:43
Уважаемые коллеги нужен совет по тактике ведения пациента после артроскопии коленного сустава
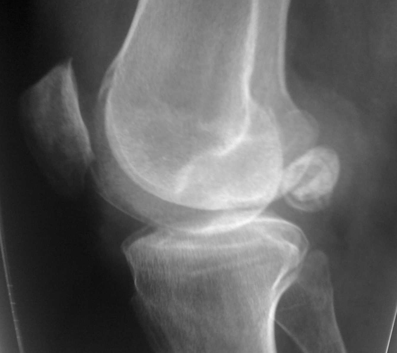
Нужен совет, а точнее ответ на вопрос нужна повторная операция или нет? Пациент 37 лет? активный образ жизни мотоцикл, лыжи и остальной набор развлечений. В марте 2010 оперирован-артроскопия левого коленного сустава, субтотальная резекция менисков? удаление 3-х свободно лежащих хондромных тела6 тунелизация мыщелков бедренной кости. Артроскопическая картина гонартроза 3 ст. С марта по июнь 9 раз пунктировался сустав эвакуировалась по 80-100 мл. светло-желтой синовиальной жидкости без хлопьев и примесей. Посевы отр. Анализы на инфекцию (хламидии и т.д.) дважды отр. Ревматолог-не их патология. В общих анализах без отклонений. В приложенном рентгене-тела в задних отделах как до так и после операции. Во время операции-прицельно их искали, но они вне полости сустава, что подтверждает МРТ. На контрольных ренгенограммах -смещение тел ни на миллиметр. Зеркальное отображение предыдущих. Болевого синдрома нет. Единственная жалоба пациента на наличие выпота в суставе. Температурной реакции нет. Сустав визуально не изменен. не "горяч". Тела в задних отделах не пальпируються. Дважды параартикулярно вводил дипроспан с интервалом в 4 недели. НВПС. Иммобилизация тутором, ударная "шокирующая" доза антибиотика-все по нулям. Дайте совет не ужели синовит поддерживаеться хондромными телами или что то другое. Пациент на повторную операцию 50 на 50. Спасибо! Всех с наступающим профессиональным праздником!!!

<  |  >

 

  • Сообщения о Ортопедия и травматология
  • Также Королев Максим
  • Связаться с автором
  • Ответить

    Re: помощь после артроскопии
    Evgueny 19 Июнь 2010, 10:32
    Максим,

    фабелла находится вне сустава, в толще латеральной головки икроножной мышцы, поэтому и не получилось её увидеть при скопии.
    При такой истории показана биопсия синовиальной оболочки, кобляционная синовэктомия.
    Pls сообщите о своём решении и результате лечения на форуме

    Евгений Чекашкин
    [ Ответить ]

    Re: помощь после артроскопии
    Тони 19 Июнь 2010, 14:11
    Что бы точно судить, фабелла это или нет, сделайте здоровое колено, для фабеллы слишком большой размер. Отдайте пациента профессионалам по артроскопии, которые спокойно, но не без труда уберут в/с тело из заднего отдела коленного сустава через задне-медиальные и задне-латеральные доступы. Через стандартные доступы его не увидеть, а оно вполне можеть раздражать колено и давать синовит. При рецидивах делать с тотальную синовэктомию артроскопически. Успехов.
    [ Ответить ]

    Re: помощь после артроскопии
    Тони 19 Июнь 2010, 14:11
    Что бы точно судить, фабелла это или нет, сделайте здоровое колено, для фабеллы слишком большой размер. Отдайте пациента профессионалам по артроскопии, которые спокойно, но не без труда уберут в/с тело из заднего отдела коленного сустава через задне-медиальные и задне-латеральные доступы. Через стандартные доступы его не увидеть, а оно вполне можеть раздражать колено и давать синовит. При рецидивах делать с тотальную синовэктомию артроскопически. Успехов.
    [ Ответить ]

    Re: помощь после артроскопии
    Дмитрий 21 Июнь 2010, 17:18
    Если Вы уверены, что хорошо санировали сустав и пациент на повторную операцию не согласен, то как вариант возможно введение в сустав радиофарм препаратов. На сколько я знаю в Обнинске этим занимаются.
    Если пациент согласен на повторную операцию, то тогда надо делать тотальную синовэктомию. Лучше артроскопически. Если артроскопически это сделать не кому, то тогда делать открыто.
    [ Ответить ]

    Re: помощь после артроскопии
    Королев Максим 21 Июнь 2010, 21:28
    Спасибо! Пациент склонен к повторной операции, по поводу тотальной синовэктомии выполню ее хоть скопически хоть открыто. Как считаете может рановато прибегать к таким мерам и возраст и временной промежуток с момента первой операции. Завтра проведем провакацию и сдадим еще раз на инфекцию только уже не кровь а мазок. Что то не укладывается он в "наш" синовит. Все равно спасибо за отклики!
    [ Ответить ]

    Re: помощь после артроскопии
    ерохин александр 22 Июнь 2010, 11:25
    На R-граммах признаки феморопателлярного артроза.Есть ли положительный сиптом "ладони"?-т.е. характерный хруст при движении ,когда ладонь врача положена на надколенник.Возможно есть и какая то нестабильность?Тогда повторная санация с декомпрессией по Маке-Банди или Фика или стабилизирующая операция,ну если присутсвует нестабильность.
    В задних отделах похоже на внутрисуставное тело,правильно отмечено,что для "боба"-фабеллы оно крупное.Тогда надо удалять из небольшого поперечного разреза,как раньше некоторые авторы рекомендовали доступ для заднего рога мениска.Артроскопически я не представляю как,разве из какого-то нестандартного доступа?
    При полной санации явления синовита должны уйти.
    Проведение синовэктомии,наверно оправдано частичное-только перерожденной синовиальной оболочки.Это всеж молодой человек.
    [ Ответить ]

    • Re: помощь после артроскопии
      Отправитель: Ульяна 09 Декабрь 2010, 03:53
      Вот это ни фига себе, а как можно к Вам на прием попасть???
      Если можно, тогда заранее вопрос, мне ставят хондромаляцию надколенников, я читала - если надколенник сильно поражен его нужно удалять... уже просто мечтаю об этом, потому что постоянно ноят ноги(и боль под надколенниками при поднятии по лестнице и присаживании)... нужно ли вместо них ставить эндопротезы надколенников или все-таки сделать ушивание сухожилия бедра.....уже много читала об этом... Что-нибудь можете посоветовать?
      Заранее огромное спасибо!

      [ Ответить ]
    Re: помощь после артроскопии
    Максим 26 Июнь 2010, 01:41
    А прямая проекция есть? Судя по боковой проекции картина гонартроза 3 сомнительна.
    На мой взгляд перед принятием решения пациета необходимо дообследовать. Пациенту показана биопсия синовиальной оболочки и если есть в полости сустава какие либо включения то и их тоже . Мочевую кислоту брали ревматологи? В данной ситуации нельзя исключить вилезно-нодулярный синовиит или синовиит на фоне подагры. Согласитесь лечение этих заболеваний немного рознится.

    [ Ответить ]


    ( Ответить )

    Powered by Zope  Squishdot Powered MedLink
    Посетитель: 0000018
      "По форме правильно, а по существу - издевательство" В.И.Ленин
    ©2001-2019Orthoforum Coordinator.
    [ Главная | Отправить сообщение | Поиск | Админ ]