ВХОД ДЛЯ ПАЦИЕНТОВ
вверх
поиск
админ
главная
исходное
последующие
|
Re: Ложный сустав
послал Alexander Chelnokov 28 Июль 2010, 00:38
|
V> С моей точки зрения, адекватная фиксация любой металлоконструкции в
V> дистальном отломке бедренной кости невозможна. Поэтому вариантов
V> вмешательства два: либо ВКДО с фиксацией голени (что, учитывая
Аппарат для восстановления оси и длины тут действительно вполне уместен. И голень целесообазно врменно зафиксировать. А заштифтовать
можно и без голени, оставляя шансы на ту или другую мобилизацию коленного сустава.
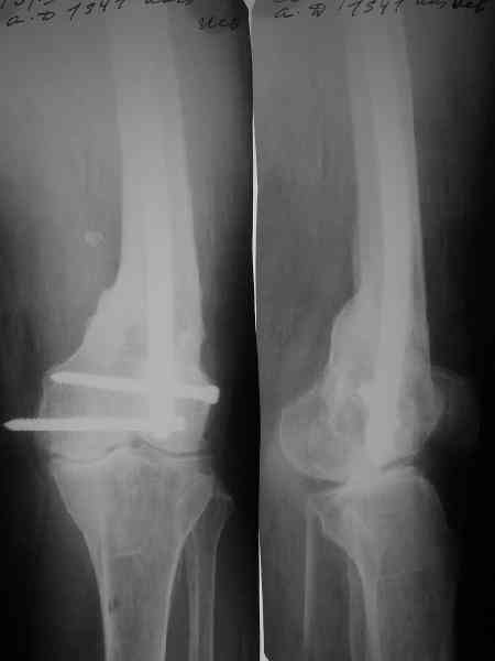
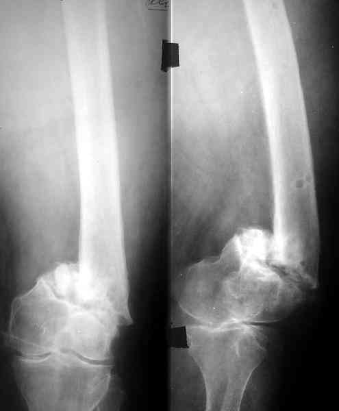
Пример подобного ложного сустава в приложении.

На сегодня есть имплантаты с куда более продвинутой дистальной фиксацией.
|
| Послать ответ |
Обратите внимание: Поля с жирными названиями обязательны.
Старайтесь отвечать в рамках обсуждаемой темы, а не начинать новые обсуждения.
Указывайте адекватную тему сообщения, чтобы было ясно, о чем оно.
Не послайте сообщений не по теме (оффтопик), раздраженных, грубых или обидных комментариев. Здесь это неуместно.
|