вверх
отправить
поиск
админ
главная
Предыдущее
|
Re: Ложный сустав
VlaD 26 Июль 2010, 02:08
|
Уважаемый коллега Сергей!
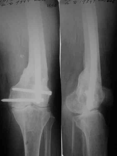
По всей вероятности, после перелома бедренной кости, случившегося 15 лет назад, у больной сформировался псевдоартроз в дистальной эпиметафизарной зоне. Травма этого года привела, с моей точки зрения, к частичному разрушению псевдоартроза, а не к повторному перелому. Учитывая амнестические данные о больной, я бы не спешил с оперативным вмешательством, а предложил бы больной съёмный ортез и нагрузку на ногу в течение двух-трёх месяцев. Такой промежуток времени при данной патологии не ухудшит условия для оперативного вмешательства, если оно потребуется, но позволит более определённо установить необходимость такового, если конечность не станет опорной или больная сама станет настаивать на оперативном вмешательстве.
Что касается самого оперативного лечения, то оно представляет значительные трудности и положительный исход его не столь очевиден. С моей точки зрения, адекватная фиксация любой металлоконструкции в дистальном отломке бедренной кости невозможна. Поэтому вариантов вмешательства два: либо ВКДО с фиксацией голени (что, учитывая конституцию больной и сопутствующую патологию, менее приемлемо), либо антеградный БИОС с прохождением стержня через коленный сустав и дистальным блокированием в проксимальном эпиметафизе большеберцовой кости. И в том и другом случае потребуется открытая репозиция и костная пластика (возможно в несколько этапов). Вопросы восстановления длины конечности и функции коленного сустава на данном этапе лечения не главные. Цель оперативного лечения – восстановление опорной функции конечности и сращение перелома.
|
|
|
Ответить
|
Re: Ложный сустав
Сергей 27 Июль 2010, 20:52
|
Спасибо коллега! Ваше мнение мне близко. Есть еще одно "но". У больной в тесте РФМК идет превышение его в 3 раза ( 15 ), что может свидетельствовать о скрытом ДВС-синдроме. Хотя и АПТВ и ПТИ и фибриноген в пределах допустимых. Вот что настораживает. "Большой" объем, да и "маленький" объем операции могут запустить ДВС. Конечно ей назначены НМГ ( клексан по 0,04 1 раз в сут., конечно я еще раз повторю эти показатели. Стоит ли рисковать? Вот о чем я думаю. Дать время, нагрузку и посмотреть? Спасибо за подробный ответ. Только не слышал про антеградный гвоздь, который пробивают до большеберцового плато. Это уже артродез получается. Спасибо.
|
[
Ответить ]
|
Re: Ложный сустав
Alexander Chelnokov 28 Июль 2010, 00:38
|
V> С моей точки зрения, адекватная фиксация любой металлоконструкции в
V> дистальном отломке бедренной кости невозможна. Поэтому вариантов
V> вмешательства два: либо ВКДО с фиксацией голени (что, учитывая
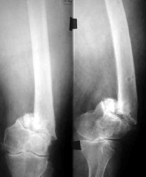
Аппарат для восстановления оси и длины тут действительно вполне уместен. И голень целесообазно врменно зафиксировать. А заштифтовать
можно и без голени, оставляя шансы на ту или другую мобилизацию коленного сустава.
Пример подобного ложного сустава в приложении.

На сегодня есть имплантаты с куда более продвинутой дистальной фиксацией.
|
[
Ответить ]
|
Re: Ложный сустав
Отправитель: Сергей 28 Июль 2010, 23:34
|
Cпасибо. Не могли бы назвать их?
|
[
Ответить ]
|
Re: Ложный сустав
Отправитель: Alexander Chelnokov 29 Июль 2010, 20:21
|
Да практически у всех производителей есть сегодня бедренные стержни с возмоностью ввести винты максимально дистально, и более 2. Это и Synthes, и Stryker, и DePuy, и ChM, и даже предприятие "ЦИТО". Единственное - диаметр винтов. Желательно больше 5 мм.
В конце концов, можно в таком единичном случае вспомнить о замечательном научно-практическом направлении - гаражной ортопедии. Взять стержень диаметром мм 13 прежнего дизайна, т.е. с двумя отверстиями, да и просверлить еще несколько, можно не только во фронтальной плоскости.
|
[
Ответить ]
|
Re: Ложный сустав
Отправитель: Сергей 01 Август 2010, 21:37
|
Спасибо.
|
[
Ответить ]
|
Re: Ложный сустав
Отправитель: Сергей 06 Август 2010, 17:32
|

Спасибо. Прооперировали во вторник.
|
[
Ответить ]
|
Re: Ложный сустав
Отправитель: Alexander Chelnokov 07 Август 2010, 21:37
|
Выглядит красиво. А движения в колене какие были на столе?
|
[
Ответить ]
|
Re: Ложный сустав
Отправитель: Сергей 11 Август 2010, 20:37
|
Была контрактура и спаянный с суставной поверхностью надколенник. Сделали до синтеза редрессацию. Достигли почти полного объема движений.
|
[
Ответить ]
|
|
( Ответить )
|
|