AOTRAUMA.ORG Центр Илизарова  

Ортопедия и травматология Общие вопросы/General questions Help Информационные технологии в медицине
 ВХОД ДЛЯ ПАЦИЕНТОВ
 вверх
 поиск
 админ
 главная
 исходное


Re: Способ ушивания ран
послал Djoldas Kuldjanov 08 Август 2010, 22:36
Конкретизация вопроса облегчила бы ответ, хотя, как мне известно, что при выраженных отеках не существует особой методики или руководства по ушиванию хирургической раны.


Если насчет мероприятий по ведению открытых ран, тогда информация находится в разделе по градациям открытых переломов по Gustilo & Andersen, которая в зависимости от степени и состояния подскажет про применение первичных или отсроченных методов закрытия ран.


При отеках техника шва не главное, здесь главным является создание благоприятного момента для ушивания, т.е когда кондиция покровных тканей позволяет закрыть рану без натяжения.

Отечность в зоне фиксации является противопоказанием к открытому методу. Для профилактики осложнений с фиксацией можно повременить применением стабилизирующего наружного фиксатора. Фиксатор восстанавливает длину конечности, облегчает в будущем репозицию и создает благоприятные условии для спадения отека. Также позволяет экономить средства, вместо дорогого стационара больной может находится на амбулаторном наблюдении. Появление симптома "skin wrinkle test" (морщинки) подскажет о готовности кожного покрова для окончательной операции на костях.


Тактика закрытия раны любой ценой, даже натяжением, приведет к осложнению. От послеоперационных расслабляющих надрезов местная трофика не улучшается, а, наоборот, открывается ворота для инфицирования.


Не всегда удается закрыть рану первичным швом, и применение отсроченной тактики поможет без риска осложнения закрыть даже двухсторонние раны, например, при двухлодыжечных переломах или после фасциотомии. Закрывается первично медиальная, близко к кости, рана, и вторично латеральный доступ.


В ежедневной практике применяем методику приближения краев раны с помощью недорогих эластических сосудистых держалок, которые под натяжением резины сближают края. Такая методика закрытия раны оберегает от чрезмерного увлечения кожной пластикой.



На сегодня существует множество различных механических приспособлений, которые работают на принципе медленного сближения краев ран.

На фото результат от Derma Closure, аппарата, предназначенного для трудно закрываемых дефектов кожных покровов.





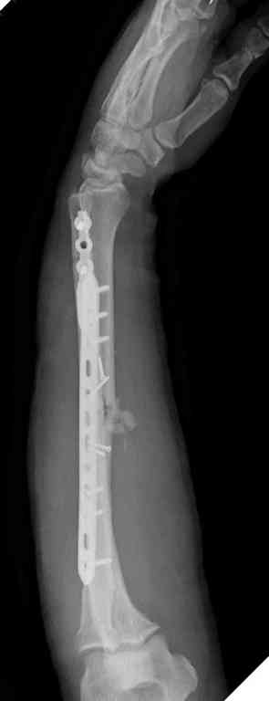
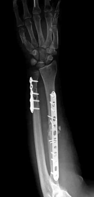
Множественная огнестрельная травма конечностей, перелом костей предплечья, фиксация в первые часы и дефект мягких тканей, мероприятия по закрытию...


Djoldas Kuldjanov, M.D.
Department of Orthopedic Surgery
St. Louis University
Послать ответ

Имя
Email
Уведомление Сообщить мне по e-mail об ответах на это сообщение
Название
Комментарий
(Проверьте URL! Не забудьте написать http://!)
Кодировка
Если не знаете, что выбрать, выберите "Просто текст"!
Приложение
Можно приложить к сообщению файл c изображением, который затем будет доступен увидевшим сообщение.
Подготовка иллюстраций:
  • Рентгенограммы: черно-белые полутоновые изображения в формате JPEG (8 bit, greyscale) с разрешением от 300х200 до 1024х768 пикселов;
  • Клинические фотографии: полноцветные изображения в формате JPEG (24 bit, truecolor) с разрешением от 300х200 до 1024х768 пикселов;
  • Схемы и рисунки: черно-белые (2 bit) штриховые (line-art) изображения в формате GIF или compressed TIFF
  • Подберите степень сжатия файла JPEG и размер изображения таким образом, чтобы необходимые детали были различимы, но размер файла не превышал 75 кб.
  • Учтите, что текущая версия программного обеспечения Форума позволяет приложить к одному сообщению лишь один файл-вложение. Поэтому, если необходимо отправить несколько изображений, можно либо послать каждое как отдельное сообщение, либо в графическом редакторе объединить изображения в одно (сделать коллаж).
  • Если при подготовке изображений встречаются трудности, не стесняйтесь обратиться к координатору Форума.

  • Введите видимые символы в обратном порядке. Enter the above characters in reverse order (*Обязательно)
    В тексте сообщения можно использовать теги HTML <B> <I> <P> <A> <LI> <OL> <UL> <EM> <BR> <TT> <HR> <STRONG> <BLOCKQUOTE> <DIV .*> <DIV> <P .*>
  • Обратите внимание: Поля с жирными названиями обязательны.
  • Старайтесь отвечать в рамках обсуждаемой темы, а не начинать новые обсуждения.
  • Указывайте адекватную тему сообщения, чтобы было ясно, о чем оно.
  • Не послайте сообщений не по теме (оффтопик), раздраженных, грубых или обидных комментариев. Здесь это неуместно.
  • Powered by Zope  Squishdot Powered MedLink
    Посетитель: 0151314
      "По форме правильно, а по существу - издевательство" В.И.Ленин
    ©2001-2019Orthoforum Coordinator.
    [ Главная | Отправить сообщение | Поиск | Админ ]