AOTRAUMA.ORG Центр Илизарова  

Ортопедия и травматология Общие вопросы/General questions Help Информационные технологии в медицине
 вверх
 отправить
 поиск
 админ
 главная


Способ ушивания ран
Общие вопросы/General questions Отправлено Тимур 29 Июль 2010, 23:27
Здравствуйте, уважаемые коллеги. Помогите пожалуйста в наших поисках. Интересует литература отечественная и зарубежная на следующую тему:
методики ушивания хирургической раны после ортопедических (травматологических) операций на фоне выраженного отека и дефицита мягких тканей(кожи). Просим прощения за некоторую неконкретность вопроса. Спасибо.

<  |  >

 

  • Сообщения о Общие вопросы/General questions
  • Также Тимур
  • Связаться с автором
  • Ответить

    Re: Способ ушивания ран
    Деревянко Денис Викторович 05 Август 2010, 13:05
    Здравствуйте, Тимур!
    Не могу извлечь Ваш мэйл. Напишите мне на ящик. Есть несколько статей из европейских журналов на английском языке. Есть, так же, фотографии из личного архива, сделанные в университетском госпитале г. Вена
    Я все готов выслать Вам.
    Пишите на dionis1976@inbox.ru
    С уважением, Деревянко Денис.
    [ Ответить ]

    Re: Способ ушивания ран
    Глиняный С.В. 05 Август 2010, 21:30
    Может залить на файлообменник и сделать это добро общедоступным.
    [ Ответить ]

    Re: Способ ушивания ран
    Djoldas Kuldjanov 08 Август 2010, 22:36
    Конкретизация вопроса облегчила бы ответ, хотя, как мне известно, что при выраженных отеках не существует особой методики или руководства по ушиванию хирургической раны.


    Если насчет мероприятий по ведению открытых ран, тогда информация находится в разделе по градациям открытых переломов по Gustilo & Andersen, которая в зависимости от степени и состояния подскажет про применение первичных или отсроченных методов закрытия ран.


    При отеках техника шва не главное, здесь главным является создание благоприятного момента для ушивания, т.е когда кондиция покровных тканей позволяет закрыть рану без натяжения.

    Отечность в зоне фиксации является противопоказанием к открытому методу. Для профилактики осложнений с фиксацией можно повременить применением стабилизирующего наружного фиксатора. Фиксатор восстанавливает длину конечности, облегчает в будущем репозицию и создает благоприятные условии для спадения отека. Также позволяет экономить средства, вместо дорогого стационара больной может находится на амбулаторном наблюдении. Появление симптома "skin wrinkle test" (морщинки) подскажет о готовности кожного покрова для окончательной операции на костях.


    Тактика закрытия раны любой ценой, даже натяжением, приведет к осложнению. От послеоперационных расслабляющих надрезов местная трофика не улучшается, а, наоборот, открывается ворота для инфицирования.


    Не всегда удается закрыть рану первичным швом, и применение отсроченной тактики поможет без риска осложнения закрыть даже двухсторонние раны, например, при двухлодыжечных переломах или после фасциотомии. Закрывается первично медиальная, близко к кости, рана, и вторично латеральный доступ.


    В ежедневной практике применяем методику приближения краев раны с помощью недорогих эластических сосудистых держалок, которые под натяжением резины сближают края. Такая методика закрытия раны оберегает от чрезмерного увлечения кожной пластикой.



    На сегодня существует множество различных механических приспособлений, которые работают на принципе медленного сближения краев ран.

    На фото результат от Derma Closure, аппарата, предназначенного для трудно закрываемых дефектов кожных покровов.





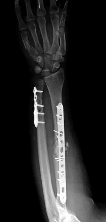
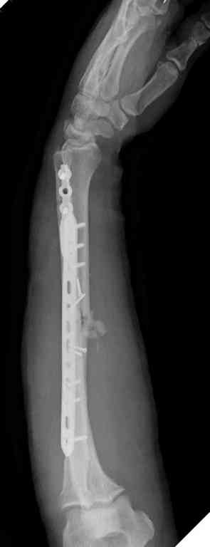
    Множественная огнестрельная травма конечностей, перелом костей предплечья, фиксация в первые часы и дефект мягких тканей, мероприятия по закрытию...


    Djoldas Kuldjanov, M.D.
    Department of Orthopedic Surgery
    St. Louis University
    [ Ответить ]

    • Re: Способ ушивания ран
      Отправитель: Abdurashid 09 Август 2010, 20:13


      Джолдас, Спасибо!

      [ Ответить ]
    • Re: Способ ушивания ран
      Отправитель: Тимур 09 Август 2010, 23:47
      Большое спасибо, Джолдас. Особенно понравился приведенный пример. Такая тактика при огнестрельных переломах не перестаёт удивлять. Хотя понятно, что при таких возможностях она полностью обоснованна.
      Присоединяюсь ко всем, с завистью смотревшим, на эти фотографии.

      [ Ответить ]
    • Re: Способ ушивания ран
      Отправитель: Белокопытов Петр 24 Август 2010, 00:53
      Что за вещество желтоватого цвета на элементах АНФ на 11 и 12 снимках (по порядку).
      Спасибо.

      [ Ответить ]

     

    ( Ответить )

    Powered by Zope  Squishdot Powered MedLink
    Посетитель: 0149460
      "По форме правильно, а по существу - издевательство" В.И.Ленин
    ©2001-2019Orthoforum Coordinator.
    [ Главная | Отправить сообщение | Поиск | Админ ]