вверх
отправить
поиск
админ
главная
|
Остеомиелит голени после БИОС |
 |
 |
 |
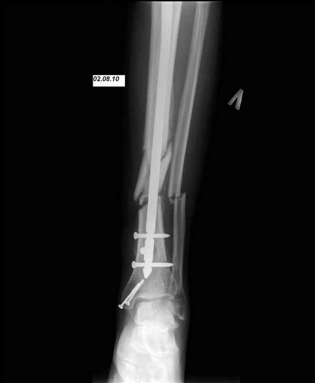
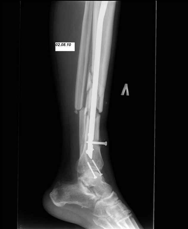
Отправлено Глиняный С.В. 04 Август 2010, 11:53 г. Сургут.
Уважаемые коллеги, доброе время суток. Представляю Вашему вниманию клинический случай. Пациент 37 лет. В анамнезе наркомания (последний раз употреблял 10 лет назад), гепатит С. Травма 21.03.10г. Обстоятельства травмы: получил травму в результате падения с квадроцикла, водитель. Перелом закрытый.
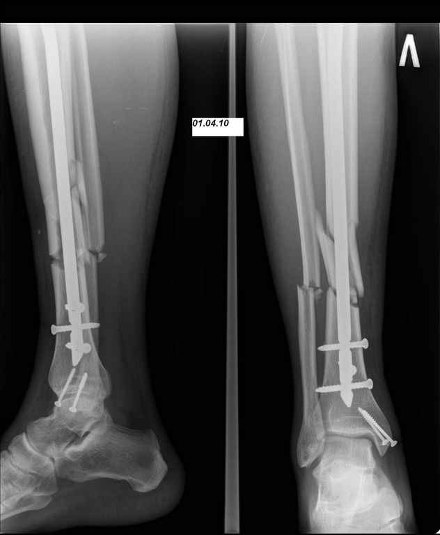
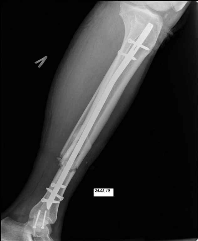
24.03.10 выполнены операции - БИОС перелома большеберцовой кости левой голени (штифт Synthes), остеосинтез перелома внутренней лодыжки левой голени винтами. Послеоперационный период протекал без осложнений. Выписан на 10 сутки. Амбулаторно не наблюдался.
07.04.10 госпитализирован с диагнозом: Нагноение парафрактурной гематомы. При поступлении отек, болезненность при пальпации, гиперемия кожи по передней поверхности, пальпаторно флюктуация в месте перелома, местное повышение температуры кожи. выполнена пункция гематомы, получено 40 мл гнойно-геморагического пунктата. Взят бак посев (S. aureus, чувствительный ко всему что у нас есть). В место флюктуации введен раствор Новокаина 1%-30 мл+Гемтамицина 2,0 мл. Сформировался свищ в месте пункции, который закрылся через 10 дней. Проводились внутрикостные инъекции антибиотика (Кламосар, полусинтетический пенициллин, бета-лактамный) в левую пяточную кость №10. Температура за период госпитализации не выше 37,2С. По анализам небольшой лейкоцитоз. Свищ закрылся, локально гиперемия, отек, местное повышение температуры регрессировали. Выписан. И опять пропал. Травмполиклинику не посещал, на контрольные осмотры к лечащему врачу не приходил.
И вот опять объявился. Снимки и фотографии в приложении(первичные потеряны). Около 1 месяца назад появились боли в области нижней трети голени в проекции дистальных блокирующих винтов, передвигался с нагрузкой 50% (сам для себя так решил, сам себе разрешил). Путешествовал по Волгоградской области, обратился к травматологу, со слов перевязывали, лечили антибиотиками. Лучше не стало. Вернулся домой.
Вчера госпитализирован в отделение. Локально умеренный отек, кожная температуа не повышена. По передней поверхности в области дистального блокируюшего винта свищ, скудное гнойное отделяемое, винт удален на перевязке зажимом. «Старый» свищ не функционирует. Взят бак. посев, ждем результат.
Возможности и рассматриваемые варианты дальнейшего лечения: 1. удаление штифта, промывное дренирование, ЧКДО. Ждать сращения. 2. удаление штифта, ДРУ (по Челнокову А.Н.), понаблюдать несколько дней+антибиотики(в\в/в\м, перевязки), временно спейсер?, затем БИОС штифтом с АБ покрытием (есть штифты Synthes, Sanatmetal; по нашему мнению самый отпимальный вариант, НО более взрослые коллеги не поддерживает наших «новаторских» предложений, поэтому опыт штифтования с АБ покрытием небольшой). Варианты типа удалить штифт+гипс или вытяжение не рассматриваем. Подскажите, пожалуйста, какой вариант наиболее предпочтительней. И терзает вопрос, что привело к нагноению/остеомиелиту? Нестабильность? В настоящее время с пациентом проведена беседа, настроен на лечение, регулярное наблюдение, выполнение рекомендаций. Ждем Ваших советов и комментариев. Заранее спасибо.
<
|
>
|
|
Ответить
|
Re: Остеомиелит голени после БИОС
Alexander Chelnokov 05 Август 2010, 23:56
|
> дней+антибиотики(в\в/в\м, перевязки), временно спейсер?, затем БИОС
> штифтом с АБ покрытием (есть штифты Synthes, Sanatmetal; по
> нашему мнению самый отпимальный вариант, НО более взрослые коллеги не
> поддерживает наших "новаторских" предложений,
Тогда не очень понятно, сможете ли воплотить в жизнь полученные советы.
Здесь в любом случае надо давно делать реостеосинтез, есть очевидная нестабильность. Поскольку пациент не сильно надежный, наверно, лучше бы сделать все в один этап. Удалить, дистрактором восстновить длину и ось, рассверлить мм до 14-15, помыть канал, и заштифтовать гвоздем с покрытием. Взять гвоздь длиннее этого. И для большей стабильности ввести винт(ы) мимо гвоздя.
|
[
Ответить ]
|
Re: Остеомиелит голени после БИОС
Отправитель: Илья 09 Сентябрь 2010, 02:47
|
Здравствуйте,возможно ли использовать полые стержни с а.б.покрытием?
|
[
Ответить ]
|
|
Re: Остеомиелит голени после БИОС
Дмитрий Бондарь 09 Август 2010, 02:07
|
добрый вечер,коллеги! поскольку в зоне перелома имеются мелкие отломки, высока вероятность наличия секвестров.(кстати, зону перелома не открывали при остеосинтезе?)Поэтому стоит выполнить полноценный I&D ,а далее либо АВФ либо штифт с АБ. Зависит от размера дефекта после возможной резекции кости (решите интраоперационно)
С уважением Д.Б.
|
[
Ответить ]
|
Re: Остеомиелит голени после БИОС
Глиняный С.В. 10 Август 2010, 17:07
|
Спасибо за проявленный интерес к клиническому случаю.
p.s. зону перелома не открывали.
|
[
Ответить ]
|
Re: Остеомиелит голени после БИОС
Отправитель: Алексей Гринь 12 Август 2010, 18:54
|
Здравствуй Сергей.
"И терзает вопрос, что привело к нагноению/остеомиелиту? Нестабильность?"
Однозначно нестабильность.
Во первых штифт тонкий, во вторых коротккий. Не смотря на то что дистальное блокирование выполнено 3 винтами, связь с коротким дистальным отломком получиласть слабоватая если учесть активный образ жизни пациента и его "ненадежность" как выразился Александ Николаевич.
Инфекция в зоне перелома "07.04.10 (S. aureus, чувствительный ко всему что у нас есть)" - это вторичный фактор. Если бы штифт был стабильным, обострения вероятнее всего не было бы.
С уважением А.Гринь.
|
[
Ответить ]
|
Re: Остеомиелит голени после БИОС
Отправитель: Глиняный С.В. 13 Август 2010, 07:55
|
Здравствуйте Алексей Алексеевич. К сожалению, это самый "толстый" штифт который у нас есть (d10), и самый длинный (360мм). Пациент отправился на консультацию и возможное лечение к Александру Николаевичу. Административные барьеры не позволили воплотить в жизнь ни один из предложенных вариантов. Всем спасибо за комментарии и советы.
|
[
Ответить ]
|
|
Re: Остеомиелит голени после БИОС
Александр 18 Апрель 2013, 00:41
|
Доброе время суток!
Тут изначально проблемы по синтезу:
1) не габарит стержня
2) заглубиль канал входа-ближе к переди можно было загонять
несращение сейчас есть и надо ресинтез.
медиальную лодыжку что-то не увидел на снимках? Можно и 1 винт использовать для синтеза-как я понимаю тут не супинационная травма а прямой удар.
Да жалко что упырям не делай все равно-не комплиентны они! И стержень вроде UTN стоит синтезовский......
|
[
Ответить ]
|
( Ответить )
|
|