вверх
отправить
поиск
админ
главная
|
Разгибательная контрактура после ТКА |
 |
 |
 |
Отправлено Maxim Agalakov 01 Октябрь 2010, 18:55
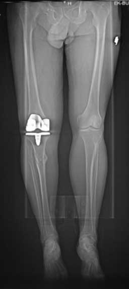
У пациента 50 лет имеется разгибательная контрактура через 8 меспосле ТКА. Уважаемые коллеги. Пациент 8 мес после операции ТКА, в анамнезе – неправильно сросшийся перелом голени, коррекция оси (снимки прилагаются. В настоящее время имеется разгибательная контрактура 10/5/0, на операционном столе было 90/0/5, на момент выписки движения 50/0/0 в надежде на дальнейшую разработку. До эндопротезирования 40/10/0. Глубокая инфекция исключена. Ротация бедренного компонента в норме (по КТ). Вопросы: насколько для такого ограничения критична некорректная установка б/б компонента (я намерял 7 град)? Причина нынешнего состояния, артрофиброз? Какие действия следует предпринять, удаление рубцов, релиз головок 4-главой мышцы? Что-либо другое, ваше мнение? С уважением, Максим Агалаков, Екатеринбург.
<
|
>
|
|
Ответить
|
Re: Разгибательная контрактура после ТКА
тони 03 Октябрь 2010, 15:37
|
артроскопический артролиз. сразу же пассивная разработка на артромоте.
|
[
Ответить ]
|
Re: Разгибательная контрактура после ТКА
тони 03 Октябрь 2010, 15:38
|
артроскопический артролиз. сразу же пассивная разработка на артромоте.
|
[
Ответить ]
|
Re: Разгибательная контрактура после ТКА
Maxim Agalakov 05 Октябрь 2010, 20:10
|
а вы уверены, что это артрофиброз, а не patella baja
|
[
Ответить ]
|
Re: Разгибательная контрактура после ТКА
Тони 06 Октябрь 2010, 20:18
|
Рентгеновский снимок хороший, операция выполнена достойно, надколенник не смущает. Остаюсь на своем мнении, артролиз, если смущает давление надколенника при артроскопии помимо артролиза верхнего заворота, боковых каналов и переднего отдела, дополните латеральным релизом надколенника, чтоб уменьшить натяжение.
|
[
Ответить ]
|
Re: Разгибательная контрактура после ТКА
Отправитель: Тони 07 Октябрь 2010, 14:27
|
Низковат, соласен. Соориентируетесь при операции, если ограничивает движения, перенести бугристость или Z-образная тенотомия связки надколенника, артросокпический артролиз обязательно.
|
[
Ответить ]
|
Re: Разгибательная контрактура после ТКА
Отправитель: Maxim Agalakov 07 Октябрь 2010, 23:12
|
если уж перемещать, тогда уж и релиз головок 4-х главой с артротомией,ревизией верхнего заворота, удалением рубцов, зачем же артроскопия?
|
[
Ответить ]
|
|
Re: Разгибательная контрактура после ТКА
Тони 07 Октябрь 2010, 23:40
|
При наличии протеза, должна быть минимальная инвазия для максимального исключения инфицирования. Открыться всегда можно, артроскопический артролиз является самым современным и малоинвазивным методом. Из опыта, порядка 5 артрскопических артролизов, всегда получалось получить объем движений до 90 градусов и более, но естественно надо владеть артроскопией на должном уровне и максимально быстро давать пассивную разработку.
|
[
Ответить ]
|
Re: Разгибательная контрактура после ТКА
Отправитель: Maxim Agalakov 13 Октябрь 2010, 18:37
|
>При наличии протеза, должна быть минимальная инвазия для максимального исключения инфицирования
-важно, чтоб она была оправдана
>артроскопический артролиз является самым современным и малоинвазивным методом.
- позволяет решить конкретную проблему - артрофиброз - действительно это она?
>Из опыта, порядка 5 артрскопических артролизов, всегда получалось получить объем движений до 90 градусов и более
- в каких ситуациях?
-есть некий опыт,
- как бы 5 - не много, можете предоставить снимки? Может там проблемы другие?
Коллеги, прошу внести ясность, может эти проблемы слишком очевидны, чтоб их обсуждать? тогда подскажите что почитать? Никто не сталкивался? Удостойте вниманием. Может я чего не так понимаю
С уважением, Максим Агалаков, Е-бург (название символично)
|
[
Ответить ]
|
|
( Ответить )
|
|