AOTRAUMA.ORG Центр Илизарова  

Ортопедия и травматология Общие вопросы/General questions Help Информационные технологии в медицине
 вверх
 отправить
 поиск
 админ
 главная


Несращение диафиза плечевой кости
Ортопедия и травматология Отправлено Александр Ситник 27 Октябрь 2010, 13:40
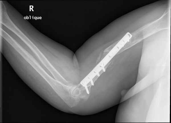
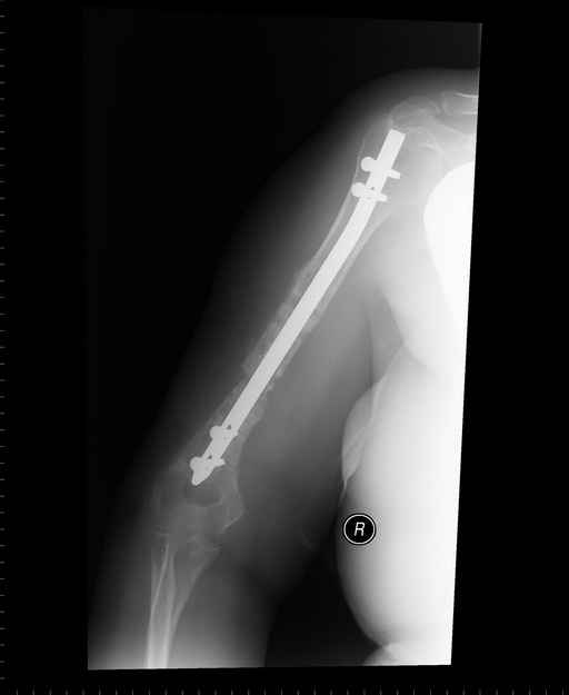
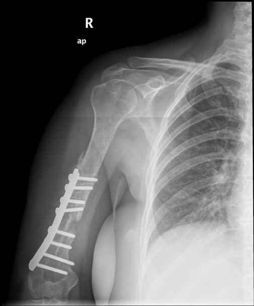
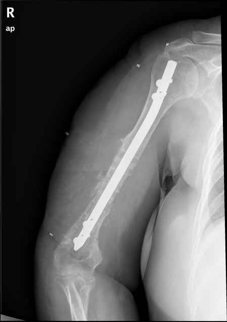
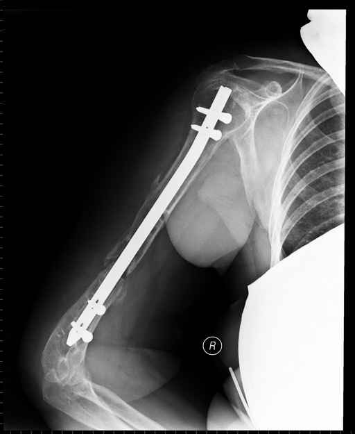
Больная 48 лет, медсестра-массажист, перелом плеча 7 лет назад, оперирована 4-кратно и безуспешно
Больная 48 лет, медсестра. Травма получена 7 лет назад, оперирована первично в Турции - остеосинтез пластиной - несращение - реостеосинтез стержнем там же через год (обычным, с выстоянеием его в полость плеча) - несращение - поступила к нам впервые в марте 2008 года - удаление стержня, реостеосинтез пластиной и костная пластика, в течение 2 лет лизис кости вокруг винтов, смещение фиксатора, в марте 2010 - удаление пластины, реостеосинтез интрамедуллярным стержнем с блокированием (рассверливание + костная пластика). В динамике - вновь лизис в области перелома, нестабильность дистальных блокирующих винтов.
Два отягощающих момента:
(1)после первых операции имелся неврит лучевого нерва - в настоящее время все ОК и
(2) лет 9 назад оперирована по поводу заболевания молочной железы с той же стороны с облучением.

Вопрос: как стимулировать сращение в сложившейся ситуации?

Спасибо,

А. Ситник

<  |  >

 

  • Сообщения о Ортопедия и травматология
  • Также Александр Ситник
  • Связаться с автором
  • Ответить

    Re: Несращение диафиза плечевой кости
    Maxim Agalakov 27 Октябрь 2010, 22:07
    В первую очередь необходимо исключить infected nonunion. как кажется, от этого будет зависеть дальнейшая тактика.
    [ Ответить ]

    • Re: Несращение диафиза плечевой кости
      Отправитель: А.Ситник 27 Октябрь 2010, 22:31
      Клинически признаков инфекции нет. Плечо абсолютно спокойно. Не температурит. Общие анализы также в нормальных пределах.
      Ретроспективно на предыдуих операциях также никаких гнойных или сомнительных в этом отношении грануляций не было.

      [ Ответить ]
      • Re: Несращение диафиза плечевой кости
        Отправитель: Maxim Agalakov 27 Октябрь 2010, 22:34
        СРБ, сцинтиграфия?

        [ Ответить ]
      • Re: Несращение диафиза плечевой кости
        Отправитель: А.Ситник 27 Октябрь 2010, 22:40
        Сцинтиграфия сложновата в организационном плане, да и не очень специфична на мой взгляд, СРБ в норме, но перепроверим.

        [ Ответить ]
        • Re: Несращение диафиза плечевой кости
          Отправитель: Maxim Agalakov 27 Октябрь 2010, 23:04
          ну хотя бы холодный очаг или горячий, CRP лучше повторить для надежности.

          [ Ответить ]
      • Re: Несращение диафиза плечевой кости
        Отправитель: А.Ситник 27 Октябрь 2010, 22:40
        Сцинтиграфия сложновата в организационном плане, да и не очень специфична на мой взгляд, СРБ в норме, но перепроверим.

        [ Ответить ]
    Re: Несращение диафиза плечевой кости
    Ostanin 27 Октябрь 2010, 22:29
    А следы "заболевания" в зоне перелома исключили? Само качество кости при ревизии и последнем удалении пластины?
    [ Ответить ]

    Re: Несращение диафиза плечевой кости
    Александр Артемьев 27 Октябрь 2010, 23:49
    Здравствуйте, Александр.

    1. Анамнез заболевания и лечения можно охарактеризовать как последовательное и целенаправленное применение тактики выжженной земли. Как говорится, с энергией, достойной лучшего применения. Умри всё живое.
    2. В сложившейся ситуации я бы предложил убрать дистальные блокирующие винты, наложить аппарат внешней фиксации, зацепившись внизу за надмыщелки плеча, вверху - за проксимальный отдел плеча, обойдя стержнями или спицами штифт.
    И дать компрессию. На деталях конструкции внешнего фиксатора останавливаться не буду - на пальцах объяснять бессмысленно.
    3. Другой вариант - убрать штифт и дать больной пожить спокойно полгодика-год. Думаю, с ортезом качество жизни будет лучше того, что ей пришлось испытать за эти годы. Ну а потом (через плогода-год) решить, что делать, оценив структуру кости.

    С уважением Александр Артемьев
    Мытищи
    www.nogihelp.ru
    [ Ответить ]

    • Re: Несращение диафиза плечевой кости
      Отправитель: Исмаил Дибиров 28 Октябрь 2010, 23:09
      Добрый вечер! По поводу тактики "выжженной земли"...Была пациентка лет 19, страдающая ожирением и сахарным диабетом. При идеальном сопоставлении лодыжки не срастались три года, руки не доходили. У нее же косо-поперечный диафизарный перелом плеч одномомоментно (ДТП) , Это была одиссея! По 3-4 операции с каждой стороны, начали с "угловой стабильностью", пластику аутоспонгиозой из крыльев подвздошной. Три года хоть бы что! Мониковцы плевались. Исчезла с поля зрения. Сращения не было ни плеч, ни лодыжек! Лет десять назад такая же история с одним директором завода. Бывший военный разведчик, плечо диафизарное. Оперировали в лучших клиниках в ЦВГ, ЦИТО! Начали с пластины, потом штифт с блокировкой, "аппарат". Пластика..Не срослось плечо! Умер от ИБС, в ортезе. Думаю у каждого из нас таких скелетов в шкафу целый арсенал...

      [ Ответить ]
    • Re: Несращение диафиза плечевой кости
      Отправитель: Александр Ситник 29 Октябрь 2010, 02:53
      Спасибо. По пункту 2 - пожалуй это пока самый реальный вариант, однако беспокоит то, что при последней (по крайней мере) операции был достигнут хороший контакт основных фрагментов - и наступил лизис. Не произойдет ли повторения? Хотя конечно управляемой компрессии на стержне не было. Думаю около 5 мм локтевой сустав выдержит, тем более что есть запас и проксимально около 3-5 мм.
      Пункт 3 на мой взгляд малоприемлем - больная по специальности массажист - сейчас воздерживается отосновной деятельности, но с ортезом это вообще утопия.

      [ Ответить ]
    Re: Несращение диафиза плечевой кости
    Лушников Сергей Петрович 28 Октябрь 2010, 00:03
    Уважаемый Александр, имею опыт лечения 18 пациентов с ложными суставами и дефект-диастазами плеча. У 14 больных (77,8%) достигнуто сращение костных фрагментов. Использовали костную пластику зоны ложного сустава кровоснабжаемым костным трансплантатом в составе осевого комплекса тканей. Для пластики нижней и средней трети плеча применяли кровоснабжаемый костный фрагмент дистальной трети лучевой кости в составе островкового косто-мышечного комплекса тканей на основе лучевого сосудистого пучка. Трансплантат на проксимальной сосудистой ножке через подкожный тоннель перемещали в зону ложного сустава и фиксировали к плечевой кости спицами. Подробно о методиках подобных операций можно прочитать в кандидатской диссертации « Пластика комплексами тканей с осевым типом кровоснабжения у пациентов с дефектами длинных костей плеча и предплечья», 2009г. (тел. В СПб: +7-921-323-76-05)

    С уважением Лушников С.П.

    [ Ответить ]

    Re: Несращение диафиза плечевой кости
    Alexander Chelnokov 28 Октябрь 2010, 01:07
    AA> 2. В сложившейся ситуации я бы предложил убрать дистальные блокирующие винты, наложить аппарат внешней фиксации, зацепившись


    Да, принципиально что-то такое тут подошло бы. Но тут дефект, и надо точно подсчитать, не длинноват ли стержень, а то, может, после плотного контакта он вылезет в локтевую ямку.

    А что пациентку беспокоит? Надо ли вообще что-то делать?

    Вариант с удалением и оставлением на полгода приведет к картине болтающегося ложного сустава во всей красе, сейчас хоть как-то ось и ротация удерживаются.

    Видны еще варианты - 1)перештифтовать другим стержнем с созданием плотного контакта, и даже не для сращения, а для эндопротезирования диафиза. Fixion, возможно, неплохой вариант?

    2)Удалить, наложить аппарат, создать хороший контакт, подержать с компрессией, потом заштифтовать компресионно-динамически,

    3)что-то из перечисленного с остеотомией как-то наискосок через зону несращения;

    4)пластина с костной пластикой (только сделать хорошо, а не как уже было)

    IMHO названное должно обеспечить и стабильность на какой-то более-менее длительный период, а то даже и сращение. Хотя возможны и более экзотические варианты (васкуляризованные трансплантаты, кейджи, скользящие отщепы...).

    [ Ответить ]

    • Re: Несращение диафиза плечевой кости
      Отправитель: Александр Ситник 29 Октябрь 2010, 03:01
      Особых беспокойств пациентка пока не испытывает, тем более что и стаж болезни многому научил - "розовых очков" уже нет. Но в идеале - вернуться к основной работе - массажист, а так работа процедурной медсестрой. Опять же возраст далеко не преклонный - всего 49 лет - хотелось бы костной консолидации:)

      Fixion недоступен - не зарегистрирован у нас, да и по финансам наверное не потянет.

      [ Ответить ]
    Re: Несращение диафиза плечевой кости
    Олег 28 Октябрь 2010, 01:18
    Здравствуйте Александр.
    Совсем недавно имел возможность столкнуться с почти аналогичной ситуацией. У пациентки c переломом ключицы в с\3 после мастэктомии по поводу c-r проведен курс лучевой терапии. По поводу своего перелома пациентка длительно лечилась на районе консервативно, в последующем была дважды оперирована. В связи с несращением перелома нами был произведен стабильный накостный остеосинтез и костная аутопластика с использованием аутотрансплантата из гребня подвздошной кости. В послеоперационном периоде назначались бифосфонаты. Через 3,5 месяца достигнута консолидация отломков. В вашем случае считаю приемлемым освежение костных отломков, декортикацию их, устранение диастаза с использованием имеющейся конструкции и костной аутопластики трансплантатом из гребня подвздошной кости. В послеоперационом периоде обязательно использование бифосфонатов. С уважением Олег.
    [ Ответить ]

    Re: Несращение диафиза плечевой кости
    Адонин 28 Октябрь 2010, 08:13
    я бы, если клиническая картина "терпит", не трогал бы.
    Теоретически - хорошо бы васкуляризированный костный трансплантат ( малоберцовка. например). Практически - из 2 прооперированных у нас в больнице в 2 случаях сращение не достигнуто...
    [ Ответить ]

    Re: Несращение диафиза плечевой кости
    Евгений Головко 30 Октябрь 2010, 01:07
    Уважаемый коллега. Ось и длина конечности сохранены. Фиксация, согласно снимков, стабильная. Проводить дополнительные операции считаю нецелесооразным. Можно применить бифосфонаты, желательно 1-2 поколения (бонефос), в\в в условиях интенсивной терапии, они довольно агрессивно и быстро кальцинируют именно остеопоротичную кость, желательно проконсультироватся с коллегами онкологами у которых есть опыт применения. Бифосфонаты 3-4 поколения можно давать годами с увеличением костной массы на 3-5% в год.
    [ Ответить ]

    • Re: Несращение диафиза плечевой кости
      Отправитель: А. Ситник 31 Октябрь 2010, 23:44
      Клинически фиксация пока действительно стабильна, но на рентгенограммах резорбция кости в области дистальных блокирующих винтов и миграция одного из них.
      Вопрос с бисфосфанатами стоит действительно проработать, спасибо.
      Больная наблюдается амбулаторно, поэтому данные дообследования появятся не так быстро (это я о СРБ и других показателях).

      [ Ответить ]
    Re: Несращение диафиза плечевой кости
    Маловичко В.В. 02 Ноябрь 2010, 12:06
    Если больную устраивает данная ситуация, а она работает как я понимаю, то оперировать не надо. Если больная все же настроена на продолжение оперативного лечения, то единственным, с моей точки зрения, вариантом для нее является радикальная операция - удаление интрамедулярного штифта и блокирующих винтов с резекцией концов отломков плечевой кости в пределах кровоточащей костной ткани с фиксацией в аппарате Илизарова в спице- стержневой компановке или стержневом аппарате КСАУ 01 (аппарат доктора Цуканова В.Е.). В дальнейшем, при наличии признаков консолидации, возможно удлинение по Илизарову. Если больная не настроена на радикальное операптивное лечение то возможен палиативный вариант. Для стимуляции остеогенеза мы назначаем курс приема нутрицептиков американской фирмы NSP (Nature,s Sunshine Products, Inc.) - кальций магний хелат 2 упаковки по 2 т х 3 раза в день, хондроитин 4 упаковки 2т х 2 раза, глюкозамин 2 упаковки 1т х 2 раза, остео-плюс 1 упаковка 2т х 2 раза. Данный курс на 2 месяца ( обязательно принимать одновременно почечный сбор, чтобы избежать мочекаменной болезни). Препараты работают лучше при наличие свежей крови в области перелома, поэтому показана тунелизация концов отлоков плечевой кости в области несросшегося перелома по Беку. примеры лечения больых с данной патологией опубликованы мною на сайте www. Malovichko. ru.

    С уважением Маловичко В.В.
    [ Ответить ]

    • Re: Несращение диафиза плечевой кости
      Отправитель: Aндрей 02 Ноябрь 2010, 21:10
      О, нутррицептики это сильно!!!! А каким образом хондроитин и глюкозамин стимулируют остеогенез?

      [ Ответить ]
    Re: Несращение диафиза плечевой кости
    Антон Андрианов 02 Ноябрь 2010, 18:57
    При достаточно стабильной фиксации возможно поможет местное под рентгенконтролем введение пунктата аутокрови с костномозговыми клетками из гребня подвздошной кости. Попадалась статья с рекомендациями вводить трижды с интервалом 5 дней по 1,5 мл. Есть небольшой свой опыт введения геля Коллапан в линию перелома. В США видели введение очень дорогого ОР 1 Страйкер, генно моделированного костного протеина и более дешевого Accell Connexus\Intergra\, все это в форме геля в шприце.
    [ Ответить ]

    Re: Несращение диафиза плечевой кости
    Басов Владимир 08 Ноябрь 2010, 14:10
    Попробуйте хронос.
    Второй вариант кровоснабжаемый костный аутотрансплантат из внутреннего доступа.
    [ Ответить ]

    Re: Несращение диафиза плечевой кости
    Анатолий 21 Ноябрь 2010, 02:13
    Александр, при повторной операции вы допустили ошибку,существенную. При наличии атрофического ложного сустава, нужна динамизация гвоздя с компрессией. В данной ситуации считаю нужным переблокировать дистальный отломок на костном цементе, после чего динамизировать гвоздь(убрать винт из стабилизационного отверстия) и задать компрессию компрессионным винтом. После этого гвоздь будет работать.
    Есть большой опыт работы с блокированными гвоздями.
    [ Ответить ]


    ( Ответить )

    Powered by Zope  Squishdot Powered MedLink
    Посетитель: 0151331
      "По форме правильно, а по существу - издевательство" В.И.Ленин
    ©2001-2019Orthoforum Coordinator.
    [ Главная | Отправить сообщение | Поиск | Админ ]