Ответить
|
Re: Перипротезный перелом
Андрей Волна 30 Октябрь 2010, 12:04
|
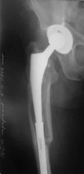
Уважаемые коллеги, в данном случае в лечении стандартного перипротезного перелома В2 Ванкуверской классификации (перелом вокруг ножки эндопртеза с потерей стабильности ножки при хорошем - не требующем пластики - качестве кости.Parvizi J, Rapuri VR, Purtill JJ, et al (2004) Treatment protocol for proximal femoral periprosthetic fractures. J Bone Joint Surg Am; 86-A Suppl 2:8-16)с успехом применён оригинальный, но малоизведанный способ лечения подобных повреждений. В результате и последующие рекомендации не могут быть стандартными. В подобных случаях, как это уже дискутировалось год назад, можно было выполнить ревизию длинной ножкой, во многом работающей как интрамедуллярный гводь + плюс кабель/серкляж в проксимальном отделе. Или, оставить имеющуюся ногу плюс длинная пластиа с кабелем/серкляжем, можно разными современными блокированными *примочками*. В таком случае при достижении консолидации пластина удаляется, тк при возникновении в будущем потребности в ревизии имеющийся дополнительный металл и без затруднит непростое вмешательство (кто пробовал, знает о чём я говорю). С длинной ногой, конечно, так же всё понятно. В данном случае мы имеем некую комбинацию, осложнённую отсутствием репозиции и фиксации в прошлом отломков вокруг ножки. Поэтому не каждый в данном случае рискнёт утверждать за счёт какого из компонентов системы - дистального либо проксимального обеспечивается стабильность. А если это и фиксация и за счёт ножки и за счёт гвоздя - каков баланс между данными компонентами в поддержании стабильности ситемы. То есть, я надеюсь, что дистального смещения ножки здесь не будет при условии сохранения как гвоздя, так и блокирующих винтов. При удалении же гвоздя возможна миграция ножки, только винтов - всей системы. Здесь же перелом (надеюсь, его не будет) блокирующих винтов может быть первым свидетельством механического неблагополучия системы... А так, помимо отличного результата этот случай так же косвенно подтверждает известную истину - Эндопротез, к сожалению, требует периодической замены. И выполняя фиксацию перипротезного перелома, а в последующем решая вопрос об удалении имплантатов, мы вынуждены думать и о функции сустава, и о том, как в будущем выполнить ревизию. Если ожидаемая продолжительность жизни пациента заставляет нас об этом думать. С уважением, Андрей
|
[
Ответить ]
|
Re: Перипротезный перелом
Отправитель: Alexander Chelnokov 30 Октябрь 2010, 17:07
|
Дорогой Андрей, я правильно понял, что будь сейчас этот пациент в твоем ведении, ты бы ничего не стал трогать, пока у него все в порядке?
|
[
Ответить ]
|
Re: Перипротезный перелом
Отправитель: Андрей Волна 30 Октябрь 2010, 18:02
|
Саша, ей-Богу бы не стал. Сейчас система работает как длинная нога с дополнительным блокированием винтами (с известным допущением, конечно). И удаление половины ножки (функциональной половины), мне кажется, чревато. Мне кажется, представленная система крайне интересна дя В1 - перелом вокруг ножки, но ножка остаётся стабильной. Для В2, как в данном случае, мы не знаем, за счёт чего нога вновь стабильна - реинтеграции (не уверен), хорошего дистального и торцевого упора или комбинации факторов (склоняюсь к этому). Нарушение этого баланса может оказаться печальным для ножки. Поэтому достаточно однозначно - я бы ничего не убирал. Привет, Андрей
|
[
Ответить ]
|
|
Re: Перипротезный перелом
Anton Kovalenko 31 Октябрь 2010, 09:26
|
Дорогой Александр Николаевич! Спасибо, что держите всех нас в курсе.
Сейчас опорную нагрузку на бедро берет на себя система от бедренного компонента эндопротеза до проксимального винта в интрамедуллярном гвозде. Свидетельство тому - реакция кортикала утолщением вокруг того самого винта. Таким образом вся кость от верхушки б.вертела до проксимального винта не испытывает физиологической осевой нагрузки. Результатом этого могут стать следующие последствия друг друга не исключающие: 1) все будет хорошо до перелома опорной системы по винту(ам) или в месте соединения штифта с ножкой или еще где-либо, 2) исключенная из-под нагрузки кость будет терять в количестве и качестве, что не очень (или очень не) хорошо для возможных будущих ревизий (тьфу-тьфу!!!).
Цель - сохранение опорной функциональной конечности у пациента. Задачи 1. сохранение стабильности опорной системы средне- и долгосрочном периоде 2.сохранение костной массы в долгосрочном периоде
Стабильность опорной системы ограничена износостойкостью материалов а) винтов - когда то на учебе у Вас запомнились цифры со стендового испытания 50000 циклов нагрузки для 5мм винтов и 250000 циклов для 6мм.Не помню какая исследовалась длина б)соединения штифт-ножка - не знаю проводились ли такие исследования ... и прочая из сопромата
Сохранить количество и качество кости могут бисфосфанаты, сронция ранелаты, гормоны и прочие известные лекарства. И ждать на сколько этого хватит, вернуться к обсуждению после возникновения проблем.
Другой вариант перенести нагрузку на кость, "боем" проверив фиксацию ножки. Динамически заперев винт на 5мм ниже проксимального края овального отверстия. Статические винты отпереть, пациенту рекомендовать постепенно возрастающую дозированную нагрузку до полной в течение месяца. Хотя срок интеграции бесцементника считается 3 месяца(так пишут в руководствах и рекомендациях), если допустить, что ножка не интегрировалась. Появление клиники или проседание ножки по рентгенограмме даст ответ на счет того произошла ли интеграция или нет. С другой стороны проседание на 5 мм вряд ли приведет к чему либо серьезному, и если интеграции нет - рассматривать вопрос о ревизии. Если ножка интегрировалась, стрежень не удалять - для избежания перипротезных переломов.
|
[
Ответить ]
|
Re: Перипротезный перелом
Отправитель: Alexander Chelnokov 31 Октябрь 2010, 14:22
|
КА> Сейчас опорную нагрузку на бедро берет на себя система от
КА> бедренного компонента эндопротеза до проксимального винта в
КА> интрамедуллярном гвозде. Свидетельство тому - реакция кортикала
КА> утолщением вокруг того самого винта.
Винты точно были под нагрузкой до сращения, и утолшение кости вокруг них образовалось тогда, и не может рассосаться мгновенно, даже если винты удалить. То есть это не обязательно свидетельство того, что и сейчас нагрузка идет в основном на дистальные винты.
КА> соединения штифта с ножкой или еще где-либо, 2) исключенная из-под
КА> нагрузки кость будет терять в количестве и качестве, что не очень
Вот если мы в динамике увидим намек на это, тут-то точно надо будет удалить винты.
Спасибо за интересные мысли, будем думать. В планах есть некоторые исследования в этом направлении.
Самой давней такой операции 3 года, пациентка молодая, будем за ней наблюдать.
|
[
Ответить ]
|
Re: Перипротезный перелом
Отправитель: Anton Kovalenko 31 Октябрь 2010, 14:23
|
Хотел бы обратить Ваше внимание, что реакция кортикала наблюдается только вокруг проксимального винта, дистальный винт не испытывает подобной нагрузки. Отсюда еще одна умозрительная авантюра - выкрутить только проксимальный винт. Изменения кости вокруг дистального винта тоже могут дать ответ на счет интеграции ножки, также как и появляется возможность сломать его. Страховаться (затратнее, но надежнее) или нет(легче, но не безопасно) динамическим винтом - на Ваш выбор.
О качестве сращения перелома тоже сказать трудно. Выраженной мозоли нет. В боковой проекции отломки накладываются друг на друга. В прямой проекции зона перелома в наружной части закрылась не полностью. Возможно причина тому - недогрузка кости.
История из разряда"А вот у нас было!" Много много лет назад, как то у нас ставили первый гвоздь, реконструктивный.Шуму было много может поэтому запомнился. Парень 17-18 лет получил подвертельный патологический перелом на фоне фиброзной дисплазии. Первично поставили пластину не помню DHS или просто AO, сейчас не помню.Произошла рефрактура. И вот прооперировали реконструктивным гвоздем, с гидроксиапатитных кубиков. Через полгода наметилась перестройка, через год полная перестройка. А еще через год парень пришел с рентгенограммами на которых зона фиброзной дисплазии пуще прежнего. Отправили детским ортопедам. Дальнейшая судьба не известна. Среди рекомендаций мысль о том что, кость без нагрузки из-за статического запирания и ожидать физиологических реакций от нее ждать не приходится, пришла только мне. Но к стыду своему я побоялся публично ее озвучить(кто будет слушать интерна-ординатора). Разумеется случаи не сравнимые. Но с тех пор осталось стойкое убеждение, что кость без без нагрузки ведет себя как пенсионер-трудоголик которого уволили с работы по возрасту - нехорошо и не предсказуемо.
|
[
Ответить ]
|
Re: Перипротезный перелом
Отправитель: SUNSINI 04 Ноябрь 2010, 18:16
|
Уважаемый, Александр Николаевич! Здравствуйте,подскажите пожалуйста, где можно подробнее ознакомиться с описанием конструкции штифта, который был использован в вышеуказанном клиническом случае. Имеем похожую ситуацию: закрытый перелом в средней трети диафиза бедренной кости на сломанной пластине и эндопротез тазобедренного сустава. Думаем,о реостеосинтезе пластиной LCP, будет ли уместен дистальный бедренный гвоздь описанный выше?! Спасибо.
|
[
Ответить ]
|
Re: Перипротезный перелом
Отправитель: Alexander Chelnokov 04 Ноябрь 2010, 21:46
|
Это сплошной титановый стержень. На дистальном конце отверстия под кондуктор. На другом - канал под ножку глубиной 60 мм, стенки толщиной 2,5-3 мм. И там же продольный пропил, чтобы канал мог адаптироваться к ножке.
будет ли уместен дистальный бедренный гвоздь описанный выше?!
Покажите снимок?
А где находится пациент? Может быть, получится прооперировать его у нас?
|
[
Ответить ]
|
Re: Перипротезный перелом
Отправитель: SUNSINI 06 Ноябрь 2010, 05:06
|

Обещанные ранее снимки Заранее спасибо.
|
[
Ответить ]
|
Re: Перипротезный перелом
Отправитель: SUNSINI 05 Ноябрь 2010, 06:15
|
Добрый день! Александр Николаевич, пациентка находится в гор. Южно-Сахалинске, сегодня попробую выслать снимки, интересно Ваше мнение!
Спасибо, с уважением Артур Николаевич.
|
[
Ответить ]
|
|
Re: Перипротезный перелом
Rashid Tikhilov 31 Октябрь 2010, 15:54
|
Уважаемый Александр Николаевич,
Как Вы знаете, мы имеем негативный опыт подобной операции (перелом ножки эндопротеза на месте соединения со штифтом), но тем не менее хотелось бы сказать следующее. На мой взгляд,выполняя такую фиксацию, мы становимся заложниками сохранения всей этой мегаконструкции на долгое время, если не на всю жизнь. Эта система работает уже как единое целое. Рефиксации ножки эндопротеза не произошло, при удалении гвоздя может развиться вторичная нестабильность, скорее всего со временем произойдут дистрофические изменения в кости за счет шунтирования нагрузки. Поэтому есть смысл отследить очень тщательно р-ты этих операций, прежде чем они войдут в повседневную практику, думаю что показания к ним будут весьма ограничены. Пару раз попробовали "пошалить", собрали бедро на бесцементной ножке у пожилых б-х дабы не утяжелять вмешательство. В одном случае - срослось и ножка получила стабильность, в другом - потребовалось реэндопротезирование, но со значительно меньшей травмой. т.к.бедро срослось.
С ув.Р.Тихилов
|
[
Ответить ]
|
Re: Перипротезный перелом
Отправитель: Alexander Chelnokov 31 Октябрь 2010, 20:51
|
Дорогой Рашид Муртузалиевич,
RT> Как Вы знаете, мы имеем негативный опыт подобной операции
RT> (перелом ножки эндопротеза на месте соединения со штифтом),
Пока больше не было пациентов с такой своеобразной ножкой, как Zimmer CPT, которая на расстоянии 30-40 мм от дистального конца имеет диаметр всего 5-6 мм. Очевидно, при ножке с такими особенностями нужно обеспечить контакт на более проксимальном уровне, чтобы иметь больший запас усталостной прочности.
Пока все наши неудачи проходят через институт им. Вредена, и проблемы удается решить, за что огромное спасибо Вам и всем причастным коллегам. Напомню, был еще один случай глубокой инфекции, когда через 1,5 года пришлось делать двухэтапную ревизию.
RT> изменения в кости за счет шунтирования нагрузки. Поэтому есть
RT> смысл отследить очень тщательно р-ты этих операций, прежде чем они
RT> войдут в повседневную практику
Конечно. Всех пациентов мы стараемся отслеживать раз в 6-12 мес.
RT> , думаю что показания к ним будут весьма ограничены.
Кое-что кажется очевидным уже сегодня, но, боюсь, дебаты о показаниях не завершатся как минимум в ближайшее десятилетие.
RT> Пару раз попробовали "пошалить", собрали бедро на бесцементной
RT> ножке у пожилых б-х дабы не утяжелять вмешательство. В одном
Нельзя ли чуть поподробнее про эти случаи? Чем синтезировали? И вообще, может, как-то подумать о совместном сборе материала, операций таких пока очень немного.
|
[
Ответить ]
|
|
Re: Перипротезный перелом
Maxim Agalakov 02 Ноябрь 2010, 22:30
|
Мне кажется, что гвоздь нужно отпирать в любом случае. По представленным Р-граммам судить о реинтеграции довольно сложно, здесь надо смотреть снимки без сжатия (или сделать КТ-МРТ в каком-нибудь "хитром" режиме).
Но вопрос даже не в этом, дольше ждать - не имеет смысла, если она вросла - то проблем не будет, если нет - то надо выполнить ревизию бедренного компонента. В условиях сросшегося перелома и нестабильной ножки это не будет проблемой, можно будет обойтись доступной стандартной ногой для первичной THA.
Если ждать дальше и дождаться stress shielding,то в условиях дефицита костной массы, малой кровью обойтись не удастся и результат будет менее прогнозируемым.
|
[
Ответить ]
|
|
( Ответить )
|
|