AOTRAUMA.ORG Центр Илизарова  

Ортопедия и травматология Общие вопросы/General questions Help Информационные технологии в медицине
 вверх
 отправить
 поиск
 админ
 главная


Перелом предплечья
Ортопедия и травматология Отправлено Дмитрий Бондарь 30 Октябрь 2010, 19:49
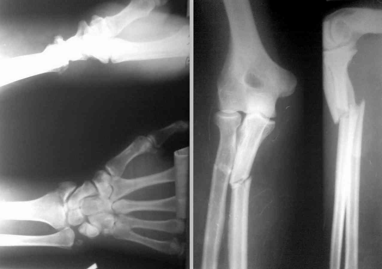
Добрый день,коллеги. Поступил больной 30 лет после падения с высоты 1,5 м.на ладонь. Травма 8 суток назад, в поле моего зрения попал только сегодня.
Неврологии нет. Со слов отмечался выраженный отёк предплечь,кисти и пальцев. В настоящее время отёк умеренный, движения пальцев кисти сохранены.Проблем с синтезом локтевой кости не вижу.
Имеются вопросы по лучевой, а именно:
1. Метод фиксации
2. порядок вмешательств
3. Необходимость фиксации дистального перелома луча
4. Предпочтительный доступ
Собственный план: Из тыльного доступа фиксировать проксимальный перелом луча пластиной типа LCP (короткий проксимальный фрагмент)Дистальный перелом фиксировать из тыльного(?) доступа винтом или может быть Ex-fix?
С уважением Д.Б.

<  |  >

 

  • Сообщения о Ортопедия и травматология
  • Также Дмитрий Бондарь
  • Связаться с автором
  • Ответить

    Готовлюсь к закидыванию камнями
    Ostanin 31 Октябрь 2010, 00:08
    Я бы (молодо-зелено) сначала собрал локтевую - проксимальый луч встанет на место (а если и не встанет - смещение вряд ли будет значительным). После этого под ЭОПом отрепонировал бы шило луча и фиксировал либо спицами, либо (в идеале) винтами Гербера. В послеоперционном - ортез до консолидации.
    C Уважением, Ostanin
    [ Ответить ]

    Re: Перелом предплечья
    Гребнев Артем 31 Октябрь 2010, 00:54
    Представляется возможным интрамедулярный остеосинтез с блокированием обеих костей предплечья.
    Сначала выполнить синтез локтевой кости, затем лучевой. Закрыто,или с использованием доступа выполненного для введения стержня, репонировать шиловидный отросток луча, зафиксировать спицами.
    [ Ответить ]

    • Re: Перелом предплечья
      Отправитель: Alexander Chelnokov 31 Октябрь 2010, 09:42
      ГА> >Представляется возможным интрамедулярный остеосинтез с
      ГА> блокированием обеих костей предплечья.


      Совершенно верно. Диафизарные переломы можно закрыто фиксировать стержнями, не задумываясь о возможном повреждении заднего межкостного нерва.
      То, что стержень надо вводить почти через перелом, не должно сильно пугать. Тут, похоже, зона бугорка Листера осталась интактной. Если полный суставной перелом, стержень взять покороче, чтобы погрузился за перелом эпиметафиза, и заниматься последним, уже не думая про диафизы.

      ГА> Сначала выполнить синтез локтевой кости, затем лучевой.

      Да.

      ГА> Закрыто,или с использованием доступа выполненного для введения
      ГА> стержня, репонировать шиловидный отросток луча, зафиксировать спицами.


      Доступ для блокированного стержня будет довольно далеко. Так что, как пишет А.Волна, оптимально закрыто потянуть (мы бы воспользовались спицевым дистрактором), под ЭОП подправить джойстиками, фиксировать спицами и/или винтами.


      [ Ответить ]
    Re: Перелом предплечья
    Adonin 31 Октябрь 2010, 02:31
    Локоть вопросов не вызывает - 3.5 мм компрессионная пластина по АО доступ - тыльный, локоть лежит прямо под кожей.

    проксимальный фрагмент луча короткий, я бы потому передним доступом Генри пластину поменьше и поуже - треть-трубчатую на 4 отверстия или что-нибудь под 2 мм шурупы. Можно было бы и блокированный гвоздь, но вот что делать с переломом дистального луча? вводить гвоздь фактически через перелом? я бы не стал

    что угодно ( киршнеровские спицы, 4 мм спонгиозный шуруп, Винт Герберта - совсем замечательно) на шиловидный отросток луча.

    Высший пилотаж - еще и артроскопия кисти с целью диагностики и лечений повреждения TFCC
    [ Ответить ]

    • Re: Перелом предплечья
      Отправитель: Adonin 31 Октябрь 2010, 02:13
      Подчеркну - ПЕРЕДНИЙ ( ладонный) доступ на проксимальный перелом луча. при заднем ( Томпсоновском) доступе на уровне перелома столкнетесь с задним межкостным нервом, проходящем перпендикулярно волокнам супинатора- сложно идентифицировать и выделять, при травме получите паралич разгибателей.

      [ Ответить ]
    Re: Перелом предплечья
    Андрей Волна 31 Октябрь 2010, 08:55
    Уважаемые коллеги, действительно, мне так же кажется, что перелом дистального луча здесь неполный внутрисуставной и без импрессии. Но у нас в больнице мы бы сделали КТ лучезапястного сустава дабы исключить неприятные неожиданности. Нет КТ - несколько косых проекций лучезапястного сустава выполнят схожую работу.
    Начало, естественно, сверху - с какой кости - не столь принципиально. Мой выбор - с лучевой, тк репозиция в условиях уже зафиксированной локтевой будет, наверное посложнее, чего не хочется в этой деликатной зоне. Доступ - однозначно передний, о чём подробно пишет др Адонин. Пластина - я бы взял и реконструктивные под 3,5 мм и под винты 2мм и 1/3 трубчатую - но это не лучший выбор в данной ситуации, но в запасе бы имел. Для локтевой - всё стандартно, см у др. Адонина. Если подтверждается предположение о простом характере перелома дистального луча - попытался бы отрепонировать и фиксировать винтами малоинвазивно под ЭОПом. Нет ЭОПа - перед окончательным принятием решения после выполнения первой части операции на проксимальном отделе предплечья сделал бы Рконтроль в операционной лучезапясного сутава, тк положение отломков может существенно измениться после восстановления длины костей. При необходимости открытой репозиции внутрисуставного перелома (импрессия, невозможность малоинвазивной репозиции, полный характер перелома - типа С) я бы предпочёл всё же передний волярный доступ, как технически более простой, а винты ввёл бы при необходимоти через проколы кожи. С уважением, Андрей Волна
    [ Ответить ]

    Re: Перелом предплечья
    Djoldas Kuldjanov 02 Ноябрь 2010, 23:50
    Кроме разработки тактики лечения, врач еще должен заботиться о качестве диагностических исследований, потому что от этого зависит правильность решения. На мой взгляд, дистальный отдел луча и кистевой сустав все-таки надо исследовать, возраст больного не позволяет проигнорировать внутрисуставной перелом.
    Все внутрисуставные переломы, как правило, должны исследоваться на КТ, или, при отсутствии, хотя бы качественными снимками кисти.

    Несмотря на наличие интрамедуллярных имплантов, предпочтительным имплантом для фиксации переломов предплечья являются пластины. В соотношение к пластинам в наших краях применение интрамедуллярных имплантов составляет менее 5%, что доказывает популярность фиксации открытым методом. Наружные фиксаторы как окончательная фиксация для переломов костей предплечья не применяются почти никогда, или крайне редко!

    За исключением середины, предпочтительным доступом для лучевой кости является волярный. В средней трети можно применить дорсальный, или по краю луча доступ. Доступ для локтя является самым удобным и легким из всех, обычно по латеральному краю кости.

    При фиксации локтевой кости имеет большое значение, на какой стороне уложить пластину. Худощавые, а также работники за компьютерным столом трудно переносят укладку пластин на волярной стороне. Укладкой пластин на тыле можно предупредить неприятные ощущения за столом, где они упираются на имплант.

    На луч я бы применил Composite plate от DePuy, придуманный Roy Sanders. Пластина тоньше и низкий профиль, а также есть возможность блокировки шурупов на пластине. Хотя любая пластина в 3.5 мм создаст адекватную фиксацию.


    Djoldas Kuldjanov, MD
    Department of Orthopedic Surgery
    St. Louis University Medical Center


    [ Ответить ]

    Re: Перелом предплечья
    Дмитрий Бондарь 03 Ноябрь 2010, 21:28
    КОллеги, большое спасибо за комментарии. КТ выполню, импланты - по возможностям больного. По доступам всё стало понятно, планирую луч -ладонным, локтевую - тыльным.ЛЗС - после КТ
    С уважением Д.Б.
    [ Ответить ]

    • Re: Перелом предплечья
      Отправитель: Гребнев Артем 03 Ноябрь 2010, 23:25
      Уважаемый Djoldas Kuldjanov, подскажите пожалуйста по какой причине не популярна фиксация переломов диафизов костей предплечья стержнями? Больше частота осложнений, нарушений функции предплечья?
      Спасибо.

      [ Ответить ]
      • Re: Перелом предплечья
        Отправитель: Djoldas Kuldjanov 11 Ноябрь 2010, 20:53
        >подскажите пожалуйста по какой причине не популярна фиксация переломов диафизов костей предплечья стержнями? Больше частота осложнений, нарушений функции предплечья?

        Кости предплечья по отдельности несут разные функции, и для фиксации переломов костей предплечья необходимы другие биомеханические условия. Необходимо нейтрализовать ротационные силы на лучевой, а также сгибательные и разгибательные силы на локтевой.

        В середине 80-х прошлого века в основном применялась концепция фиксировать лучевую кость пластиной, а локтевую кость интрамедуллярным гвоздем. Из интрамедуллярных конструкции применяли Rush Rod, где изгиб на конце облегчал удаление после сращения, но отрицательная черта - из-за круглого сечения невозможно было контролировать ротацию.

        Технически установка гвоздя без ЭОПа - нелегкая задача, только удачливые проводили с одного раза, а иногда многоразовые попытки заканчивались разрушением смежного сустава. "Лимитированные доступы" для репозиции облегчают репозицию, но тогда теряется преимущество закрытой техники.

        Отсутствие стабильности приводило к увеличению сроков гипсовой иммобилизации, и в результате, кроме ложного сустава, возникают мягкотканые и суставные проблемы.
        Был популярным метод фиксации штифтом Богданова, который из-за конструкции создавала необходимую жесткость, но тогда доминировала техника Илизарова, где было "табу" на интрамедуллярный метод.


        Современные интрамедуллярные гвозди сравнительно дорогие в цене, но при сегментарных переломах и если отсутствует длинная пластина, можно применить блокируемый интрамедуллярный штифт.

        А так без серьезного остеопороза при переломах предплечья, в большинстве случаев можно обойтись дешевыми не блокируемыми 3.5 мм пластинами.


        Djoldas Kuldjanov, M.D.
        Associate Professor
        Department of Orthopedic Surgery
        St. Louis University

        [ Ответить ]
    • Re: Перелом предплечья
      Отправитель: Афанасьев О. 17 Ноябрь 2010, 01:04
      Приветствую Дмитрий!Стержень Богданова ретроградно в локтевую,луч-доступ Генри под жгутом,трубчатая пластина,шиловидный луча открыто спицами,Ro-гр3/4 л/з суст.предоперационно.Иммобилизация.Дешево надежно.Можно и по модному,на что потянет пациент. С ув.АО.Удачи!

      [ Ответить ]
    Re: Перелом предплечья
    Курышев Данила 04 Ноябрь 2010, 05:37
    при взгляде на снимки дистального отдела предплечья хочется отметить значительный непорядок в "луче-локтевом" угле.
    [ Ответить ]


    ( Ответить )

    Powered by Zope  Squishdot Powered MedLink
    Посетитель: 0106471
      "По форме правильно, а по существу - издевательство" В.И.Ленин
    ©2001-2019Orthoforum Coordinator.
    [ Главная | Отправить сообщение | Поиск | Админ ]