ВХОД ДЛЯ ПАЦИЕНТОВ
вверх
поиск
админ
главная
исходное
|
Re: сложный случай протезирования
послал Alexander Vinogradsky 07 Декабрь 2010, 00:08
|

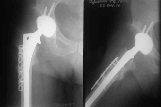
Был у нас подобный случай
Выполнена одномоментная коррекция деформации, эндопротезирование DePyu Pinnacle-AML. Пластинка с деротационной целью. При использовании ножки с прямоугольным сечением, думаю, можно и без нее.
|
| Послать ответ |
Обратите внимание: Поля с жирными названиями обязательны.
Старайтесь отвечать в рамках обсуждаемой темы, а не начинать новые обсуждения.
Указывайте адекватную тему сообщения, чтобы было ясно, о чем оно.
Не послайте сообщений не по теме (оффтопик), раздраженных, грубых или обидных комментариев. Здесь это неуместно.
|