Ответить
|
Re: Диспластический коксоартроз
Маловичко Владимир Викторович 15 Декабрь 2010, 16:11
|
Уважаемый коллега. Прежде чем планировать операцию рекомендую исключить у пациентки вялотекущий артрозо-артрит тазобедренного сустава. Надо сделать:1. КТ или МРТ суставов - структура головки и вертлужной впадины, наличие синовита.2. ИФА крови на скрытую инфекцию, включая вирусную. Если ничего из перечисленного сделать в Ваших условиях нельзя, то начните превентивное лечение: валтрекс 500 мг х 3 раза внутрь, ципрофлоксацин по 200 мг х 2 р в\в или амоксиклав по 1200 мг х2 р в\в, метрагил 500мг х 2 раза в\в, полиоксидоний по 12 мг х 1 раз в\в, дифлюкан по 1 фл х 1 р\через день. Курс лечения - 10 дней и никакой физиотерапии.
С уважением Маловичко В.В.
|
[
Ответить ]
|
Re: Диспластический коксоартроз
Отправитель: Alexander Chelnokov 16 Декабрь 2010, 01:33
|
Прежде чем планировать операцию рекомендую исключить у пациентки вялотекущий артрозо-артрит
В этом не видно никакой необходимости, как и в назначении всей перечисленной "таблицы Менделеева". Не надо придумывать лишние сущности без необходимости, представленная картина вполне укладывается в диспластический артроз.
Надо сделать обзорный снимок таза с обоими суставами. И фас с отведением и внутренней ротацией. Если движения еще есть, может, и правда будет не поздно деторсионно-варизирующую остеотомию сделать.
|
[
Ответить ]
|
Re: Диспластический коксоартроз
Отправитель: igor 17 Декабрь 2010, 01:15
|
Действительно бритва Оккама - основа научного метода. Точнее и не скажешь...
|
[
Ответить ]
|
|
Re: Диспластический коксоартроз
eidelman mark 16 Декабрь 2010, 00:10
|
A gde ghe rentgenogramma?
|
[
Ответить ]
|
Re: Диспластический коксоартроз
Бен. Э. М. 16 Декабрь 2010, 03:01
|
Если на ЯМР нет признаков АНГБК, то лучше воздействовать на уровне крыши вертлужной впадины чем делать межвертельную остеотомиию, головка т/б сустава покрыта на половину, больная недообследована для операции.
|
[
Ответить ]
|
Re: Диспластический коксоартроз
Виктор П. Волошин 16 Декабрь 2010, 04:23
|
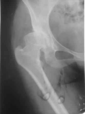
При определении показаний к м/в остеотомии учитываем не только функциональное состояние, но анатомическую форму сустава. Например, при той форме, что на картинке в вашем письме (мелкая впадина,уже не сферичная головка)НИИТО вполне обосновано предлагает ТЭП. Варизирующая остеотомия в "чистом виде" усилит конфликт в опорной зоне сустава. Если очень "настоятельно просит" - экстензия с наружной ротацией по R.Bombelli. То есть на открытом суставе бедро согнуть и ротировать внутрь до покрытия головки впадиной. Сформировать канал через шейку в головку с тем расчетом, что после м/в распила бедро нужно вывести в функциональное положение. Фиксировать 90 град. медиализирующей ортопедической пластиной с клинком. Но выздоровления не обещать, покрытие головки малое, длительного эффекта не будет. Нужна периацетабулярная остеотомия или пластика крыши, но это другая сложность и другая травматичность. Необходимость ТЭП оттянете лет на 10 в лучшем случае. Надо учитывать, что в этом случае ТЭП операция не первая, это увеличивает инфекц. риски и снижает функциональный результат для сустава. Я бы рекомендовал трость с противоположной стороны, ЛФК на приведение, чтобы подрос оссификат крыши и сформировались оссификаты головки. При нормотрофическом типе поражения можно будет провести вальгизирующую остеотомию, эффект которой более длительный или больная за это время найдет возможности приобретения ЭП.
ВВП
|
[
Ответить ]
|
Re: Диспластический коксоартроз
Адонин 16 Декабрь 2010, 08:27
|
показана периацетабулярная остеотомия ( Periacetabular Osteotomy, PAO). Только где Вам найти специалиста,способного ее выполнить?э..
|
[
Ответить ]
|
Re: Диспластический коксоартроз
Шведовченко Игорь Владимирович 16 Декабрь 2010, 12:35
|
Глубокоуважаемый Абдурашид. Попробуйте поискать в интернете диссертацию М.М.Камоска "Транспозиция вертлужной впадины при нестабильности тазобедренного сустава диспластического генеза" и В.Е.Баскова "Ортопедо-хирургическое лечение детей с диспластическим маргинальным вывихом бедра". Пусть слово "детей" в последней диссертации Вас не смущает. Позволю привести только один вывод из указанной работы: "Диспластический маргинальный вывих бедра у детей развивается, как вторичное осложнение диспластической патологии тазобедренного сустава, возникающее вследствие диагностических и лечебных ошибок. Ведущим фактором является осевая нагрузка на сустав в сочетании с недоразвитием свода вертлужной впадины и латеропозицией головки бедренной кости"
|
[
Ответить ]
|
Re: Диспластический коксоартроз
Djoldas Kuldjanov 17 Декабрь 2010, 01:33
|
Типичная концовка проигнорированного диспластического состояния сустава. Дисплазия тазобедренного сустава часто встречающаяся патология у жителей Центральной Азии вследствие тугого пеленания в детстве. Традиционно ребенок находится в течение дня в так называемой кроватке "бешик", удобной в быту, но она впоследствии приводит к недоразвитию тазобедренного сустава.
У женщин болезнь клинически проявляется после беременности болями в суставе. Но во время беременности из-за невозможности рентген обследования проблема игнорируется, и упускается время. После беременности симптомы исчезают, и проявляются во время следующей беременности или после увеличения веса.
К сожалению игнорирование патологического состояния происходит не только на уровне общих врачей, а также нашими коллегами ортопедами, которые не признают опасности разрушения сустава. Если признают диспластическое состояние, то операцию, особенно ПАО, считают чем-то экспериментальным.
Рекомендации по поводу "вялотекущего артрозо-артрита тазобедренного сустава" и следующих обследовании КТ и МРТ это больше чем демонстрация отсутствия знания в данной патологии.
Это первые признаки начала деструкции сустава, и возможно, аналгетики помогут для купирования болей, но в течение очень короткого времени от сустава ничего не останется, и в дальнейшем останется только артропластика.
Коллеги правильно подсказывают, что варизация ухудшит биомеханику сустава.
При более сохранном суставе от дальнейшего разрушения можно было бы сохранить только периориентацией нагрузки на сустав - Периацетабулярной Остеотомией .

Данный сустав в начальной стадии разрушения, но все-таки я бы сделал обзорный таз и отдельные снимки сустава в 30 градусной абдукции и аддукции. Также снимки с внутренней и наружной ротацией для оценки состояния головки бедра.
После участия в последней конференции "Вреденовские Чтения" в Ст. Петербурге, по представленным докладам, я убедился, что в территории СНГ очень мало специалистов энтузиастов, кто серьезно занимается патологией дисплазии. В большинстве те, кто занимается данной патологией, делают давно забытую тройную остеотомию таза, и доложенные результаты находятся далеко от идеала...
Только коллеги из Вреденовского Института начали работу по тематике сохранения тазобедренного сустава, остеотомия как альтернатива замене сустава. Надеюсь, что скоро в России многие последуют примеру Ст. Петербурга, и тогда уменьшатся цифры по протезированию у молодых.
В наших краях сохранная операция на тазобедренном суставе является высшим пилотажем, и оплата соответственно за ПАО намного выше, чем за артропластику.
--
Djoldas Kuldjanov, M.D.
Associate Professor
Department of Orthopedic Surgery
St. Louis University
|
[
Ответить ]
|
Re: Диспластический коксоартроз
Отправитель: Бен. Э. М. 17 Декабрь 2010, 23:16
|
почему МРТ не нужно? МРТ направлено на АНГБК, тут соотнощения в т/б суставе не причём.
возможность наличия АНГБК меняет тактику лечения. ведь одна ПАО недостаточно и не спасёт при сопутствующем АНГБК!
|
[
Ответить ]
|
Re: Диспластический коксоартроз
Отправитель: Djoldas Kuldjanov, M.D. 18 Декабрь 2010, 01:29
|
Одновременно не приходилось иметь дело и с Аваскулярным Некрозом, и дисплазией тазобедренного сустава. Если у вас имеется доказанные рентгенологические снимки с МРТ или ссылка, было бы интересно посмотреть..
А так при заранее известной патологии дополнительные исследования приведут к неразумному увеличению расходов. В данном случае для принятия лечебной тактики, достаточно обычных рентген исследований.
|
[
Ответить ]
|
Re: Диспластический коксоартроз
Отправитель: Abdurashid 17 Декабрь 2010, 23:27
|

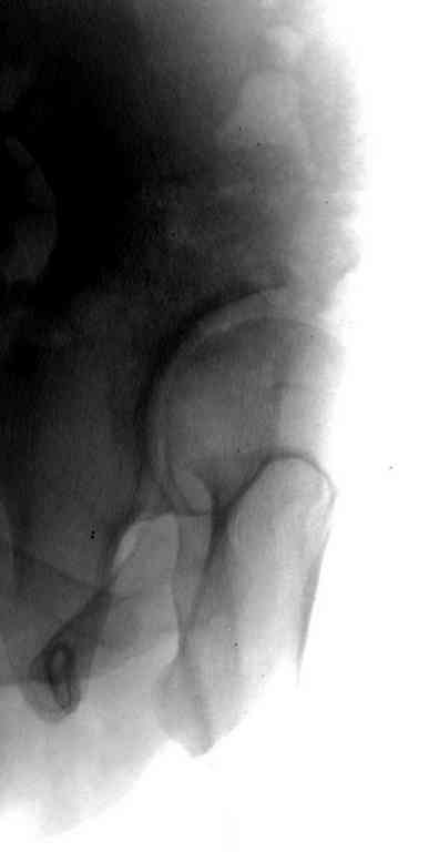
Представляю Р-снимки: обзорная, с отведением и с приведением.
|
[
Ответить ]
|
|
Re: Диспластический коксоартроз
Шведовченко Игорь Владимирович 18 Декабрь 2010, 13:25
|
Глубокоуважаемый Абдурашид. Здесь нет снимка с отведением. Если Вы сами сходили в рентгенкабинет и лично отвели пораженную конечность максимально возможно, а также дали максимально возможную внутреннюю ротацию-это одно!!!! Значит у пациентки тяжелейшая приводящая контрактура тазобедренного сустава!! И необходимо разобраться-миогенная или артрогенная? Если же Вы просто назначили указанный снимок и доверили произвести укладку рентгентехнику-это другое!!! Одному богу известно, что она делала, ведь на р-снимке отведения нет!
Все предыдущие корреспонденты предлагают вам достаточно простую вещь-смоделировать предлагаемую Вами операцию (т.е. дать отведение и внутреннюю ротацию) и посмотреть, как изменятся соотношения в суставе. Не обижайтесь, но судя по представлению клинического случая угловые величины, характеризующие пространственные соотношения в тазобедренном суставе, ваши рентгенологи не считают.
|
[
Ответить ]
|
Re: Диспластический коксоартроз
в.в. 18 Декабрь 2010, 22:35
|
остеотомия таза по Хиари
|
[
Ответить ]
|
Re: Диспластический коксоартроз
Виктор Филипчук 19 Декабрь 2010, 03:59
|
После выполнения прямой или непрямой МРТ артрографии с гадолиниумом (Методика dGERMIC)(Delayed Gadolinium-Enhanced Magnetic Resonance Imaging of Cartilage to Predict Early Failure of Bernese Periacetabular Osteotomy for Hip Dysplasia J Bone Joint Surg Am. 2006 88 1540-1548. doi 10.2106 JBJS.E.00572 T Cunningham, R Jessel, D Zurakowski, Michael B. Millis and Young-Jo Kim) при достаточной сохранности хряща периацетабулярная остеотомия Ganz. Предпочтительне Бостонский подход: во время выполнения операции производиться артромия + остеохондропластика (воссоздание конгруэнтности остеохондрального перехода головка шейка)+ дебридмент губы или фиксация анкерами
|
[
Ответить ]
|
Re: Диспластический коксоартроз
Отправитель: Abdurashid 19 Декабрь 2010, 18:07
|
Спасибо Всем, уважаемые коллеги!
-"Если очень "настоятельно просит" - экстензия с наружной ротацией по R.Bombelli." и
-" Я бы рекомендовал трость с противоположной стороны, ЛФК на приведение, чтобы подрос оссификат крыши и сформировались оссификаты головки. При нормотрофическом типе поражения можно будет провести вальгизирующую остеотомию, эффект которой более длительный"- уважаемый Виктор. честно признаться, я не очень понял, если можно помогите с литературой на русском, т к эта методика более приемлима в наших условиях, ПАО-как говорит Джолдас это высокий пилотаж, пока еще не приходилась делать.
Уважаемый Игорь Владимирович. диссертации М М Камоска, и В Е Баскова я нашел, но почему-то не могу открывать, и еще в данном случае имеется дисплазия т/б за счет недоразвития крыши в/впадины да и всей подвздошной кости, маргинального вывиха или латеропозиции головки вследствие лечебных ощибок нет, головка стоит на месте. Р-граммы сделал сам, но почему-то у больной отведение и внутренная ротация стали очень болезненной, и сухожилия приводящих мышц сильно натягивается.(контрактура артро-миогенная).
Можеть быть тенотомия приводящих и илиопсоас, методику R Bombelli(если уточнить методику) с добавлением Бостонского подхода и поможем больной лет на 10-15?, т.к ТЭП тоже наверное лет на15-20?
А так пока жду ответа Джолдаса, который по телефону обещал отправить схему лечения!
С уважением Абдурашид.
|
[
Ответить ]
|
Re: Диспластический коксоартроз
Отправитель: Abdurashid 19 Декабрь 2010, 18:08
|
Спасибо Всем, уважаемые коллеги!
-"Если очень "настоятельно просит" - экстензия с наружной ротацией по R.Bombelli." и
-" Я бы рекомендовал трость с противоположной стороны, ЛФК на приведение, чтобы подрос оссификат крыши и сформировались оссификаты головки. При нормотрофическом типе поражения можно будет провести вальгизирующую остеотомию, эффект которой более длительный"- уважаемый Виктор. честно признаться, я не очень понял, если можно помогите с литературой на русском, т к эта методика более приемлима в наших условиях, ПАО-как говорит Джолдас это высокий пилотаж, пока еще не приходилась делать.
Уважаемый Игорь Владимирович. диссертации М М Камоска, и В Е Баскова я нашел, но почему-то не могу открывать, и еще в данном случае имеется дисплазия т/б за счет недоразвития крыши в/впадины да и всей подвздошной кости, маргинального вывиха или латеропозиции головки вследствие лечебных ощибок нет, головка стоит на месте. Р-граммы сделал сам, но почему-то у больной отведение и внутренная ротация стали очень болезненной, и сухожилия приводящих мышц сильно натягивается.(контрактура артро-миогенная).
Можеть быть тенотомия приводящих и илиопсоас, методику R Bombelli(если уточнить методику) с добавлением Бостонского подхода и поможем больной лет на 10-15?, т.к ТЭП тоже наверное лет на15-20?
А так пока жду ответа Джолдаса, который по телефону обещал отправить схему лечения!
С уважением Абдурашид.
|
[
Ответить ]
|
|
Re: Диспластический коксоартроз
Шведовченко Игорь Владимирович 19 Декабрь 2010, 22:50
|
Уважаемый Абдурашид. Очень жаль, что вы не смогли найти и открыть диссертации, думаю тогда было бы на порядок проще рассуждать о патологии, имеющейся у Вашей больной.
"Данные нарушения стабильности, при которых верхняя полусфера головки бедра
находится латеральнее линии Омбредана-Перкинса, а медиальный полюс головки сохраняет контакт с наружным отделом свода вертлужной впадины, по-лучили название диспластический маргинальный вывих бедра (ДМВБ)."
Цитирую дословно, что в мировой литературе сегодня подразумевается под маргинальным вывмхом бедра.
|
[
Ответить ]
|
Re: Диспластический коксоартроз
Отправитель: Abdurashid 21 Декабрь 2010, 00:45
|
Глубокоуважаемый Игорь Владимирович! Признаюсь допустил ошибку, из-за напряженности работы и нехватки времени, когда повторно внимательно посмотрел все понял и не успел исправить ошибку до Вашего поста, конечно скошенность крыши в пределах 40гр,часть головки кнаружи линии Омбредана-Перкинса , облитерация дна вертлужной впадины и т.д.-это ДМВБ.
И мне кажется надо попробовать органосохраняюшие методы операции?
С уважением Абдурашид.
|
[
Ответить ]
|
Re: Диспластический коксоартроз
Отправитель: Abdurashid 21 Декабрь 2010, 00:53
|
Да, сейчас нашел и скачал диссертацию Басков В.Е.
" Ортопедо-хирургическое лечение детей с ДМВБ"
Спасибо!
|
[
Ответить ]
|
|
( Ответить )
|
|