Ответить
|
Re: Необходим ли МОС обеих костей голени?
Paul 05 Январь 2011, 10:35
|
На представленных рентгенограммах укорочения по длинне, т.е. смещеия в таранно-тибиальном суставе - нет. Истинная картина появится поле устрнения смещения по длинне большеберцовой кости.В любом случае нужно предполагать 3-ий вариант.
|
[
Ответить ]
|
Re: Необходим ли МОС обеих костей голени?
Nikita Zadneprovskiy 05 Январь 2011, 15:04
|
Здравствуйте, Юрий.
Думается, что синтезируя перелом tibia 43А-1, Вы превратите ситуацию в 44 -В1, которая тоже требует остеосинтеза, так как есть укорочение fibula и наружная ротация стопы. Так, что по АО правилам, тут определен третий вариант предложенный Вами: "стабильный остеосинтез обеих костей голени".
Заднепровский Никита
|
[
Ответить ]
|
Re: Необходим ли МОС обеих костей голени?
Отправитель: Дмитрий Бондарь 07 Январь 2011, 01:08
|
приветствую, Никита! А будет ли укорочение и ротация после МОС ББК? пострадал ли медиальный комплекс? если будет сохранена стабильность в ГСС , то видимо синтез МБК избыточен, но если проявится несабильность сустава в виде латерального смещения тарана, обусловленная нестабильностью синдесмоза, то конечно надо выполнить стабилизацию МБК, и фиксацию синдесмоза.
суважением Д.Б
P.S. С рождеством !!!!!
|
[
Ответить ]
|
|
Re: Необходим ли МОС обеих костей голени?
Maxim Agalakov 05 Январь 2011, 16:40
|
В данном случае. при антатомичной репозиции (или максимально возможной) б/б кости доступными вам способами целесообразно оценить стабильность голеностопа, если он стабилен (что вероятно) -вести как перелом голени, если нет - в зависимости от выявленных проблем (под ЭОПом)
|
[
Ответить ]
|
Re: Необходим ли МОС обеих костей голени?
Юрий 06 Январь 2011, 21:15
|

Спасибо за советы. Выполнен МОС обоих костей голени
|
[
Ответить ]
|
Re: Необходим ли МОС обеих костей голени?
Отправитель: Дмитрий Бондарь 07 Январь 2011, 01:17
|
Юрий , а была ли интраоперационно нестабильность синдесмоза7
с уважением д.б.
|
[
Ответить ]
|
Re: Необходим ли МОС обеих костей голени?
Отправитель: Юрий 07 Январь 2011, 15:48
|
Lig. tibiofibulare anterius оказалась целой. Был выявлен разрыв межкостной мембраны между берцовыми костями.
|
[
Ответить ]
|
Re: Необходим ли МОС обеих костей голени?
Отправитель: Исмаил Дибиров 08 Январь 2011, 02:47
|
На каком протяжении, простите, был выявлен разрыв дистального синдесмоза?
|
[
Ответить ]
|
Re: Необходим ли МОС обеих костей голени?
Отправитель: Юрий 08 Январь 2011, 03:10
|
Разрыв межкостной мембраны между берцовыми костями был выявлен в зоне оперативного вмешвтельства на малоберцовой кости выше ее перелома. Логично было бы предположить, что он (разрыв) продолжается до проксимального синдесмоза голени. Но передняя межберцовая связка оказалась целой, поэтому ДМС оказался стабилен.
|
[
Ответить ]
|
Re: Необходим ли МОС обеих костей голени?
Отправитель: Бехтерев Антон 08 Январь 2011, 02:55
|
Был выявлен разрыв межкостной мембраны между берцовыми костями.
Это как? Вы МРТ сделали или настолько ободрали кости?
|
[
Ответить ]
|
Re: Необходим ли МОС обеих костей голени?
Отправитель: Юрий 08 Январь 2011, 03:22
|
Все более банально - разрыв межкостной мембраны выден на исходном снимке - внимательней рассмотрите расстояние между берцовыми костями выше и ниже места перелома большеберцовой кости - Вам станет это понятно и без МРТ. А интраоперационно на малоберцовой кости пришлось сопоставлять не дистальный отломок к проксимальному, как это обычно приходится делать при переломе лодыжки, а наоборот - проксимальный отломок к дистальному. т.к. проксимальный отломок малоберцовой кости нестабильной из-за разрыва межкостной мембраны.
|
[
Ответить ]
|
|
Re: Необходим ли МОС обеих костей голени?
Исмаил Дибиров 07 Январь 2011, 15:30
|
С Новым годом! По спирали надо ожидать перелом м\берцовой в с\3 или в в\3. Надо доснять.
|
[
Ответить ]
|
Re: Необходим ли МОС обеих костей голени?
Отправитель: Сергей 07 Январь 2011, 15:42
|
Внимательнее рассмотрите рентгенограммы. Перелом малоберцовой имеется в нижней трети. Двойной перелом малоберцовой маловероятен.
|
[
Ответить ]
|
Re: Необходим ли МОС обеих костей голени?
Отправитель: Бережной Сергей 08 Январь 2011, 00:00
|
За примером и ходить далеко не нужно. В сегодняшнем сообщении про БИОС и псориаз как раз представлен двойной перелом малоберцовой.
|
[
Ответить ]
|
Re: Необходим ли МОС обеих костей голени?
Отправитель: Александр кутков 08 Январь 2011, 17:22
|
В данном случае не стоит ничего выдумывать, маловероятно или много-. Существует стандартная рентгенограмма при травме, (две классические проекции - прямая и боковая - с захватом смежных суставов) а дальше по обстоятельствам. Так, что полностью поддерживаю мнение Исмаила. Что касается операции я бы добавил ещё позиционный винт.
Спасибо.
|
[
Ответить ]
|
Re: Необходим ли МОС обеих костей голени?
Отправитель: Андрей 08 Январь 2011, 17:29
|
А зачем?
|
[
Ответить ]
|
Re: Необходим ли МОС обеих костей голени?
Отправитель: Александр Кутков 08 Январь 2011, 17:54
|
По представленным послеоперационным снимкам создаётся впечатление сохраняющегося подвывиха + итраоперационно обнаруженный разрыв межкостной мембраны.
Спасибо.
|
[
Ответить ]
|
Re: Необходим ли МОС обеих костей голени?
Отправитель: Юрий 08 Январь 2011, 18:35
|
Извините за некачественные снимки и неправильную укладку в прямой проэкции. Подвывих рентгенологически не определяется. Кроме этого, после МОС малоберцовой кости интраоперационно однозубым крючком проверена стабильность синдесмоза - он стабилен. Кроме этого, интраоперационно проверена стабильность стопы в голеностопе - люфта ее при боковых отклонениях не определяется, также визуально при этом приеме отклонения малоберцовой кости кнаружи в ДМС не определяется. В дополнение к этому (у ассистента были сомнения) был сделан доступ к межберцовой связке и ее визуальный осмотр- она оказалась целой. При данных обстоятельствах позиционный винт мы не вводим.
|
[
Ответить ]
|
Re: Необходим ли МОС обеих костей голени?
Отправитель: Юрий 08 Январь 2011, 18:16
|
Учитывая Ваши пожелания, обследовал пациента клинически - пальпаторно локальной болезненности по ходу малоберцовой кости в с/3 и в/3 (и большеберцовой)не выявлено. Поэтому для дополнительной рентгенографии не вижу оснований. Даже если есть перелом малоберцовой кости в с/з либо в/з, то клинического значения он не имеет - срастется без МОС и внешней иммобилизации.
|
[
Ответить ]
|
|
Re: Необходим ли МОС обеих костей голени?
Исмаил Дибиров 07 Январь 2011, 15:31
|
Ротационное смещение м\берцовой устранится после стабилизации б\берцовой, скорее всего без укорочения. Учитывая, целостность м\берцовых связок, остеосинтезом б\берцовой можно будет обойтись. Перестраховаться, конечно, можно реконструктивной или треть- или полутрубчатой пластиной. Никакое АО не придерется...
|
[
Ответить ]
|
Re: Необходим ли МОС обеих костей голени?
Игорь Кучерявый 07 Январь 2011, 15:33
|
Показания для остеосинтеза малоберцовой вполне исчерпывающие. Чего сомневаться? Собрать обе кости и спать спокойно.
|
[
Ответить ]
|
Re: Необходим ли МОС обеих костей голени?
Отправитель: Maxim Agalakov 07 Январь 2011, 23:10
|
По этому поводу в литературе до сих пор идет дискуссия, мы делаем остеосинтез м/б кости крайне редко при явных проблемах в г/с. пока проблем не видели. Здесь несколько иной механизм повреждения м/б кости, больше похожий на перелом диафиза голени
|
[
Ответить ]
|
|
Re: Необходим ли МОС обеих костей голени?
Андрей Волна 08 Январь 2011, 19:02
|
Добрый день и с праздниками (наверное, к счастью - завершающимися), коллеги! Мне кажется, столь длительная дискуссия по достаточно простому случаю обусловлена, в частности, определённой путаницей в головах части достопочтенной аудитории. А именно: 43 А1 после остеосинтеза большеберцовой кости никогда не перейдёт в 44 В1. Подчеркну, НИКОГДА. После остеосинтеза большеберцовой кости в случае перелома обеих костей голени оставшийся нефиксированным перелом малоберцовой кости будет продолжать трактоваться нами, как компонент диафизарного перелома костей голени, а не становится вдруг компонентом другой нозологической формы - перелома лодыжек. Голень остаётся голенью. Равно как и при переломе пилона выполненный остеосинтез большеберцовой кости ни в коей мере не превращает данный перелом в повреждение лодыжек. Пилон остаётся пилоном. Почему? - Механизм повреждения, распределение и критические точки *взрыва* вследствие действия запредельной нагрузки различны. Это и приводит к существованию разных нозологических форм - разных переломов в одной и той же анатомической зоне. Редко, но возможна комбинация двух различных переломов на голени. Иногда, если мы говорим о дистальном её отделе - это перелом лодыжек плюс перелом голени. Но это случается, к счастью, достаточно редко. Чаще при винтообразном переломе линия последнего распространяется и на дистальный метаэпифиз. Но от этого перелом голени не становится переломом лодыжек по механизму.
Поэтому - что и при переломах обеих костей диафиза голени, что и при переломах пилона НЕ БЫВАЕТ разрыва дистального межберцового синдесмоза. Просто, если бы это произошло, у пациента был бы другой перелом. Повторюсь, бывает комбинация двух переломов, но, к счастью, очень редко.
Показания для остеосинтеза малоберцовой кости и наружной лодыжки при переломах голени и пилона известны и продолжают обсуждаться, литературу найти можно. Не вдавясь в подробности - в данном конкретном случае остеосинтез наружной лодыжки был желателен для ранней безболезненой реабилитации голеностопного сустава. Надобности в позиционном винте не было и быть не могло. Хочется только надеяться, что проведённая операция была достаточно доброжелательной к мягким тканям, хотя определённые детали послеоперационных Рентгенограмм могут косвенно свидетельствуют об обратном... Так же, как и достигнутая репозиция. Но это не входит в рамки обсуждения, насколько я понимаю. С уважением, Волна
|
[
Ответить ]
|
Re: Необходим ли МОС обеих костей голени?
Отправитель: Дмитрий Бондарь 09 Январь 2011, 00:38
|
Андрей, полностью с Вами согласен, поэтому и задавал "наводящие" вопросы. " Редко, но возможна" это реально редко!
С уважением Д.Б.
|
[
Ответить ]
|
Re: Необходим ли МОС обеих костей голени?
Отправитель: Дмитрий Бондарь 09 Январь 2011, 00:38
|
Андрей, полностью с Вами согласен, поэтому и задавал "наводящие" вопросы. " Редко, но возможна" это реально редко!
С уважением Д.Б.
|
[
Ответить ]
|
Re: Необходим ли МОС обеих костей голени?
Отправитель: Юрий 11 Январь 2011, 01:52
|
Уважаемый Андрей.
В обсуждаемом случае есть полный разрыв одной из важных составляющих дистального межберцового синдесмоза - межкостной мембраны. Зачастую при полном разрыве lig.tibiofibulare anterius после остеосинтеза лодыжки пластиной межкостная мембрана настолько прочно удерживает вилку сустава, что кроме шва дистального межберцового синдесмоза, введение позиционного винта не обязательно. Но в представленном случае разрыв межкостной мемраны особого значения не имеет, т.к. lig.tibiofibulare anterius цела. Поэтому ДМС поврежден частично, хотя практического значения это не имеет. Остеосинтез малоберцовой выполнен в большей мере потому, что пациент хотел обойтись без внешней иммобилизации.
Теперь о другом. Бережное отношение к тканям - это довольно философский вопрос. Есть мнения, что хорошей репозицией можно пренебречь, а главное - в меньшей мере травмировать надкостницу. Идеальная репозиция простого винтообразного перелома (студенческого) большеберцовой кости с скосом в 2,5 - 3 диаметра и МОС по правилам АО в сочетании с бережным (или не очень) отношением к надкостнице при отсутствии воспаления всегда (по моему опыту) приводит к консолидации в обычные сроки. До, можно было синтезировать и 3 - 5 винтами с чуть меньшего разреза (проксимальные 4 см пластины проведены под кожей), но все же это менее стабильно, чем МОС пластиной. Мне очень интересно понять Ваше мнение, какие детали послеоперационных рентгенограмм косвенно свидетельствуют об отношении хирурга к мягким тканям.
|
[
Ответить ]
|
Re: Необходим ли МОС обеих костей голени?
Отправитель: Андрей Волна 11 Январь 2011, 17:30
|
Уважаемый Юрий, выполнив любое хирургическое вмешательство, каждый из нас (или значительное большинство), анализируя послеоперационные рентгенограммы, задаётся двумя вопросами: 1. Что сделано хорошо и в этой связи должно быть повторено в ходе следующей операции. 2. Что можно изменить и улучшить в будущем?
Так как Вы выложили послеоперационные рентгенограммы (что, безусловно, честь и хвала для Вас и хороший пример для всех нас), то, очевидно, это предполагает и возможность какой-то оценки участниками дискуссии.
И так, в результатах лечения любого перелома важны обе составляющие, как механическая, так и биологическая. И отношение к мягким тканям, приёмы репозиции вопрос не более философский (я бы лучше сказал - отстранённый от действительности), чем механическая составляющая вмешательства. То, что хорошо проходит у 20летнего пациента, может привести к катастрофическим последствиям у 60летнего именно из-за проблем с кровообращением зоны перелома. К тому же никем не оспаривается факт, что и часть послеоперационных нагноений связана, прежде всего, с наличием нежизнеспособных тканей под швами. Ну, а микробное начало, как правило, в таких случаях находится. Интересно, что и размер кожных операционных ран здесь, зачастую не имеет значения. Миниинвазивность - более широкое понятие, результатом которого является сохранённое кровообращение, а не размер операционного доступа.
Таким образом, анализируя сделанную работу, я бы отметил очень, очень достойное механическое решение вопроса. Очевидно то, что Вы достигли межфрагментарной компрессии и грамотно нейтрализовали действующие на перелом иные силы с помощью пластины. В то же самое время, именно биологическая составляющая вмешательства, мне кажется, может быть улучшена Вами в будущем. Я не говорю о завтрашней Вашей операции, мне хотелось только обозначить ориентир, к которому можно стремиться. Конечно, многое зависит от оборудования - но, многое - и от понимания и желания овладеть не только приёмами прямой открытой репозиции, но и непрямой, но и закрытой прямой и так далее. Здесь есть к чему стремиться и есть, что улучшать. Тем более, что дистальные винтообразные диафизарные и метадиафизарные переломы голени являются отличным объектом для этого. Но, ещё раз подчеркну - это отдельная тема для изучения и обсуждения. В приложенном файле - короткий фрагмент лекции, демонстрирующий только один из таких приёмов.
ppt, 793 Kb
Кстати, чрескожной закрытой прямой репозицией с помощью остроконечных репозиционных щипцов можно с успехом пользоваться и при интрамедуллярном остеосинтезе, что обсуждалось как то и здесь, на форуме. В лекцию попало фото случая, что мы с Александром Шевченко делали у него в клинике. В том, что касается накостного остеосинтеза - найдите сами отличия, при желании.
С уважением к сделанной Вами работе, Андрей
|
[
Ответить ]
|
Re: Необходим ли МОС обеих костей голени?
Отправитель: Юрий 19 Январь 2011, 18:58
|
Извините за ошибочное расположение моего дополнения к треду, представленнный случай касается Вашего, Андрей, поста от 8 января, где идет речь о редких? комбинациях переломов костей голени.
С уважением, Юрий
|
[
Ответить ]
|
Re: Необходим ли МОС обеих костей голени?
Отправитель: Юрий 18 Январь 2011, 21:21
|
Уважаемый Андрей.

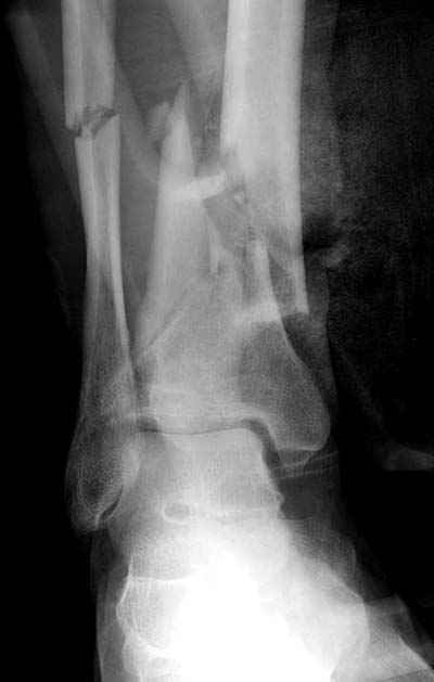
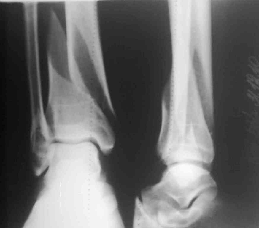
Представляю рентгенограмму перелома обеих костей голени, где определяется разрыв дистального межберцового синдесмоза.
С уважением, Юрий
|
[
Ответить ]
|
Re: Необходим ли МОС обеих костей голени?
Отправитель: Андрей Волна 18 Январь 2011, 23:53
|
??!
С уважением, Волна.
|
[
Ответить ]
|
Re: Необходим ли МОС обеих костей голени?
Отправитель: Юрий 19 Январь 2011, 12:49
|
Некачественный снимок? либо необходимо прокомментировать свою позицию?
|
[
Ответить ]
|
Re: Необходим ли МОС обеих костей голени?
Отправитель: Юрий 19 Январь 2011, 15:01
|

Механизм травмы - подвернул ногу. На боковом снимке видно, что латеральная лодыжка поломана на уровне голеностопного сустава. Во время травмы, кроме воздействия крутящего момента на кости голени, происходило еще и стремительное движение тела больного вниз вместе с проксимальным отломком малоберцовой кости (сила земного притяжения), вследствие чего разрывается межкостная мембрана, передняя межберцовая связка (lig.tibiofibulare anterius), рудиментарная поперечная связка. На боковом снимке конец проксимального отломка ( в данном случае место прикрепления передней межберцовой связки) находится на уровне середины таранной кости. Соответсвенно, последняя разорвана. Смещение отломков костей голени по длине - около 2 см.
Соответственно, из составляющих ДМС осталась целой
лишь задняя межберцовая связка. Хирургу, который будет оперировать пациента, рекомендовано наложить шов передней межберцовой связки, и ввести позиционный винт выше ДМС.
|
[
Ответить ]
|
|
Re: Необходим ли МОС обеих костей голени?
Бережной Сергей 08 Январь 2011, 22:11
|
Хоть это и не входит в рамки обсуждаемой темы, но все же, чем плоха репозиция?
|
[
Ответить ]
|
Re: Необходим ли МОС обеих костей голени?
Djoldas Kuldjanov 13 Январь 2011, 01:18
|
Разбор тактики лечения низких переломов костей голени становится популярной темой. Споры не только по тактике "по данным некоторых зарубежных авторов, при переломе обеих костей голени на одном уровне рекомендуется фиксация обеих", а также по импланту (гвоздь или пластина) и по локализациям имплантов "укладывать на заднюю поверхность при низких переломах"
Во всех описанных случаях единственное, что объединяет, это локализация перелома, а так это различные по механизму травмы. Различные импланты, и хирургическая техника отличается друг от друга. Разные по возрасту и по активности больные. Поэтому из-за невозможности создать единый алгоритм "до сих пор идет дискуссия".
Возвращаясь к разбору "БИОС у пожилого пациента", тогда многие из наших коллег проголосовали за то, чтобы оставить на одном интрамедуллярном гвозде. На рентгене плохое качество кости (остеопороз), костные фрагменты в середине канала, и на малоберцовой имеются фрагменты по линии перелома. В таких случаях гвоздь идеальный фиксатор, потому что создается равномерная компрессия на обе кости. А латеральная фиксация на малоберцовой, как распорка, повела бы в варус.
Данная фиксация пластинами сделана классическим АО методом описанным еще в 1989 году в книге J. Mast и R. Ganz “Planning and Reduction Technique in Fracture Surgery”. В то время antiglade method DCP пластиной в 4.5 мм c повторением натурального изгиба голени в н/3 считался одним из оригинальных. Повторение оригинальной концепции и фиксация спонгиозными шурупами в дистальном отделе доказывает, что коллеги хорошо освоили метод АО. Но для уменьшения раздражения пластиной изнутри в нижнем отделе, авторы применяли технику погружения пластины в кортекс. Профилактические меры не всегда помогали, и в неумелых руках "передне-медиальный АО доступ" часто осложнялся кожными осложнениями.
В то время метод Илизарова был на пике славы, и многие, как альтернативу пластинам, при внутри- и околосуставных переломах стали применять аппараты. Закрытая репозиция и возможности манипуляции мульти-направленными спицами в коротком отломке создавали преимущества перед другими методами.
Приход анатомических преконтурированных тонких пластин с угловой стабильностью изменил методику лечения низких переломов. Современные пластины устанавливаются из минидоступов и разделяются на правые и левые. Можно установить латерально, медиально или спереди в полиаксиальных направлениях.
Без современных материалов создать хорошую фиксацию становится трудной задачей, и этот случай характерен тем, что достигнутую идеальную репозицию испортили старомодной техникой. Исследования показали, что спонгиозные шурупы в метафизарных частях не создают механические преимущества как считали раньше. Кортикальные винты менее агрессивны и не оставляют дефекта кости после их удаления.
Низкопрофильные преконтурированные пластины с угловой стабильностью создают меньше проблем с медиальным покрытием, а толстая пластина становится раздражителем после спадения отека.
Выбор метода фиксации зависит от того, что имеется под рукой, хотя, например, для Челнокова и для других коллег, без сомнения, был бы интрамедуллярный гвоздь. А другие коллеги предпочли бы аппаратное лечение, как говорят Курганские коллеги, дешево и без риска.
Насчет установки пластин сзади "когда начал у себя делать в середине 90х, в отделении стоял свист и визг" не стал бы пропагандировать при изолированных переломах. Задние пластины надо укладывать при переломах пилона, когда топография перелома позволяет установку пластины только сзади, а так - низкие изолированные переломы можно лечить обычным методом.
Без клинических снимков трудно уяснить характер повреждения мягких тканей во время операции, а так, получилась хорошая репозиция. Если удалось без осложнения вылечить больного, тогда поздравляю с успехом. Перед выбором метода и при наличии менее рискованных методов надо еще раз подумать о возможном риске осложнения.

Здесь представлены несколько примеров снимков с осложнением, медиальная пластина, медиальная в комбинации с латеральной, метод Илизарова, а также сравнительные данные толщины медиальных пластин Synthes 4.4 mm, DePuy 3.2 mm.
Djoldas Kuldjanov, M.D.
Associate Professor
Department of Orthopedic Surgery
St. Louis University
|
[
Ответить ]
|
( Ответить )
|
|