вверх
отправить
поиск
админ
главная
Предыдущее
|
Re: Несостоятельность импланта
Бережной Сергей 10 Январь 2011, 19:07
|

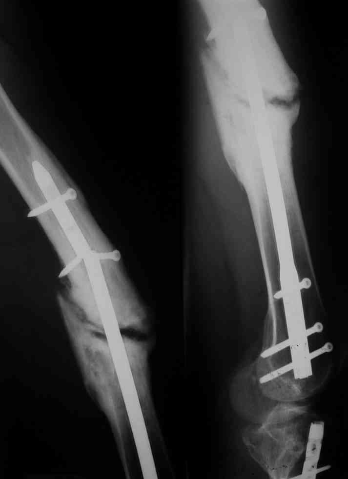
Одной рентгенограммы недостаточно, чтобы планировать подобную операцию. Вот похожий случай, который пришлось оперировать 3 мес. назад. Тоже короткий гвоздь. Шляпки винтов проксимального фрагмента полностью погружены в костную ткань, чего уже достаточно для необходимости обнажения этой зоны. У этого же больного оказались полностью разрушены шлицы 2-х дистальных винтов, так что и там нужно было "открываться".
|
|
|
Ответить
|
Re: Несостоятельность импланта
Станислав 10 Январь 2011, 22:45
|
Рентгенограммы все в наличии, просто не было времени их обработать , но я думаю что представленная рентгенограмма отражает основные моменты.Случай очень похож, точнее
ошибка -короткое плечо штифта в дистальном или проксимальном отломке.
|
[
Ответить ]
|
Re: Несостоятельность импланта
Отправитель: Коваленко А.Н. 11 Январь 2011, 03:34
|
>ошибка -короткое плечо штифта в дистальном или проксимальном отломке
Большей ошибкой явилась длительная статическая фиксация отломков и отсутствие своевременной динамизации. Проще говоря, пациент ходил на конструкции, которая рано или поздно не выдержала циклической нагрузки и сломалась по тонкому месту.
Это произошло бы с меньшей вероятностью, если бы нагрузку своевременно перенесли на костные отломки, которые изо всех сил пытались воссоединиться (о чем говорит наличие неслабой мозоли), да мешала распорка в виде блокированного статически гвоздя.
Вариант с сохранением питания отломков видится в удалении проксимального отломка штифта, мостовидном наложении мыщелковой пластины с у/с без визуального контроля места перелома, т.н. MIPO.
--
С уважением, Коваленко А.Н.
|
[
Ответить ]
|
|
( Ответить )
|
|