Ответить
|
Re: Остеомиелит медиальной лодыжки
Леонид Пак 03 Февраль 2011, 10:35
|
Совершенно верно был такой Пациент парень 29 лет. Только не 2 года а 4 года назад. Лечение растянулось на 2 этапа. На момент сообщения наложил окончатую гипсовую повязку, мазевые повязки, грануляции, закрыл свободной кожной пластикой. Через 2 месяца рана закрылась рубцом, гипс снял отправил на ЛФК. В течение года появлялся дважды - все ОК, нестабильности в суставе не было. Пациент работник УВД - его даже не комисовали. Обратился через 2 года после повторной травмы (опять мотоцикл) - открылся свищ в области медиальной лодыжки. Проведена операция - санация, рубец иссечен, пластика суральным лоскутом - состоятельная. Аппарат Илизарова на 2 месяца. Аппарат демонтировали опять ЛФК - Нестабильности в суставе нет, до сих пор трудится в органах... Опять подумывает о покупке мотоцикла.

К сожалению снимки нашел только после пластики. Р-гр где-то утерял посмотрю не работе.
С уважением Леонид Пак
|
[
Ответить ]
|
Re: Остеомиелит медиальной лодыжки
Отправитель: Леонид Пак 03 Февраль 2011, 10:55
|

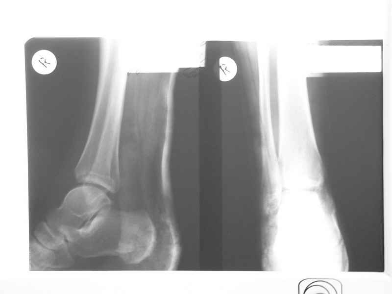
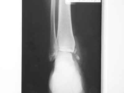
Нашел в архиве форума снимки от 2007 года. Классная штука интернет! Александру Николаевичу отдельное спасибо!
С уважением Леонид Пак
|
[
Ответить ]
|
|
( Ответить )
|
|