ВХОД ДЛЯ ПАЦИЕНТОВ
вверх
поиск
админ
главная
исходное
|
Re: Чрезвертельный перелом бедра
послал Alexander Chelnokov 12 Март 2011, 17:12
|
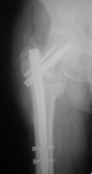
а головка как бы припаяна к вертлуге.
Вот этот момент непонятен. Без движений в тазобедренном суставе коррекция формы проксимального отдела бедра бессмысленна, нормализация шеечно-диафизарного угла приведет к фиксированному отведению.
Если все-таки подвижность в суставе есть (можно подвигать под рентгеном в условиях анестезии), то мы бы постарались закрыто мобилизовать отломки (ротационной остеоклазией), затем наложили спицевой дистрактор таз-бедро (в свежем случае в крыло достаточно одной спицы, тут лучше 2-3). Если подвижность хорошую не получили, то сначала дистрактор, и уже в нем чрескожная межвертельная остеотомия.
Дистракция позволит улучшить шеечно-диафизарный угол. Фиксировать технически проще пластиной, оптимально 130-градусной. Можно и с другим углом, только спланируйте тщательно, как должен быть направлен шеечный элемент, чтобы не оставить варус.
Гвоздем тоже можно, но технически труднее, надо вводить джойстики в шейку...

В приложении пример с гвоздем.
|
| Послать ответ |
Обратите внимание: Поля с жирными названиями обязательны.
Старайтесь отвечать в рамках обсуждаемой темы, а не начинать новые обсуждения.
Указывайте адекватную тему сообщения, чтобы было ясно, о чем оно.
Не послайте сообщений не по теме (оффтопик), раздраженных, грубых или обидных комментариев. Здесь это неуместно.
|