вверх
отправить
поиск
админ
главная
|
Чрезвертельный перелом бедра |
 |
 |
 |
Отправлено Абдурашид 09 Март 2011, 23:11
Уважаемые коллеги. Больной 1980г.р. после тяжелой сочетанной травмы от 03.12.10г: спленэктомии, ушивание разрыва печени, мн.переломы ребер. 05.02.11г операция по поводу спаечной к/непроходимости. И чрезвертельный перелом правого бедра, посмотрел под скопией сращения нет, при проверке двигается только дистальный отломок, а головка как бы припаяна к вертлуге. Укорочение ноги 5см, нога ротирована вовнутрь и приведена, из-за боли проверить объем движения не удается. В плане PFN -ChM , но может быть контрактура т/б сустава, или делать открытым способом (тогда большая кровопотеря, и так он ослабленный), м/б предварительно аппарат таз-бедро или вытяжение большим грузом? DHS ,blade plate кончились, имеется шеечные винты, Г-образные пластины ЦИТО-Бокачырева, и кое-что можно из пластин приспособливать по "гаражной ортопедии" От направления в НИИТО отказывается. Как нибудь надо помочь больному..... С уважением Абдурашид.
<
|
>
|
|
Ответить
|
Re: Чрезвертельный перелом бедра
Савранский Александр 11 Март 2011, 01:45
|
По моему, надо сначала хорошенько растянуть,лучше в аппарате, а затем открыто репонировать,фиксировать любым доступным фиксатором.Кровь можно и перелить- до операции и после. Возможно применить аутореинфузию, если много натечет.
|
[
Ответить ]
|
Re: Чрезвертельный перелом бедра
Михаил 12 Март 2011, 10:04
|
Согласен. Лучше растяните аппаратом таз-бедро. Он ослаблен- на вытяжении заработает осложнения.
|
[
Ответить ]
|
Re: Чрезвертельный перелом бедра
Игорь Девин 12 Март 2011, 13:09
|
Уважаемый коллега! На мой взгляд здесь закрытая репозиция уже не возможна, очень трудно создать опору на проксимальном фрагменте, а тянуть, опираясь на таз не стоит, рубцовое сращение не трансформируется и не разорвется, лишь прорежутся стержни. Поэтому следует рассматривать открытые варианты коррекции деформации. Я бы постарался провести пилу джигли над малым вертелом и произвел бы межвертельную остеотомию по линии ложного сустава. Если удастся выполнить шарнирную вальгизирующую остеотомию, то останется провести стабильный остеосинтез. Если при устранении варуса и деротации на дуге Адамса останется диастаз, будет необходимо резецироват ьверхушку дистального отломка, адаптировать дистальный отломок к проксимальному. Для фиксации следует использовать 95 градусную угловую пластину. За счет устранения варуса Вы вернете длину сегмента. Даже небольшая резекция не даст значительного укорочения. Фиксировать штифтами я бы не стал - что останется от большого вертела ? - Мы его потеряем.
С уважением, И.Девин.
|
[
Ответить ]
|
Re: Чрезвертельный перелом бедра
Alexander Chelnokov 12 Март 2011, 17:12
|
а головка как бы припаяна к вертлуге.
Вот этот момент непонятен. Без движений в тазобедренном суставе коррекция формы проксимального отдела бедра бессмысленна, нормализация шеечно-диафизарного угла приведет к фиксированному отведению.
Если все-таки подвижность в суставе есть (можно подвигать под рентгеном в условиях анестезии), то мы бы постарались закрыто мобилизовать отломки (ротационной остеоклазией), затем наложили спицевой дистрактор таз-бедро (в свежем случае в крыло достаточно одной спицы, тут лучше 2-3). Если подвижность хорошую не получили, то сначала дистрактор, и уже в нем чрескожная межвертельная остеотомия.
Дистракция позволит улучшить шеечно-диафизарный угол. Фиксировать технически проще пластиной, оптимально 130-градусной. Можно и с другим углом, только спланируйте тщательно, как должен быть направлен шеечный элемент, чтобы не оставить варус.
Гвоздем тоже можно, но технически труднее, надо вводить джойстики в шейку...

В приложении пример с гвоздем.
|
[
Ответить ]
|
Re: Чрезвертельный перелом бедра
Отправитель: Абдурашид 16 Март 2011, 22:30
|
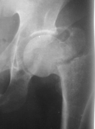
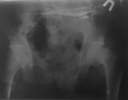
Как предлагали уважаемые коллеги, сегодня наложили спице-стержневой дистрактор таз-бедро, перед этим попробовали закрытую остеоклазию под в/в анестезией, движение в т/б суставе ( или в ложном суставе! ) восстановлен.
Р-снимки сразу п/о, следующий после дистракции, аксиальная - прощу извинения за плохое качество снимков.
Мне кажется надо еще продолжать постепенную дистракцию. И еще которая наверху шейки по моему это осколок от шейки, и она фиксирована оссификатом надвертлужной обл. Поэтому при повторной операции видимо придется открыто мобилизовать т/б сустав.
С уважением Абдурашид.
Копия Фото0441.jpg
9KB (10088 bytes)
|
[
Ответить ]
|
Re: Чрезвертельный перелом бедра
Отправитель: Абдурашид 16 Март 2011, 22:33
|
Как предлагали уважаемые коллеги, сегодня наложили спице-стержневой дистрактор таз-бедро, перед этим попробовали закрытую остеоклазию под в/в анестезией, движение в т/б суставе ( или в ложном суставе! ) восстановлен.
Р-снимки сразу п/о, следующий после дистракции, аксиальная - прощу извинения за плохое качество снимков.
Мне кажется надо еще продолжать постепенную дистракцию. И еще которая наверху шейки по моему это осколок от шейки, и она фиксирована оссификатом надвертлужной обл. Поэтому при повторной операции видимо придется открыто мобилизовать т/б сустав.
С уважением Абдурашид.
Копия Фото0438.jpg
8KB (9208 bytes)
|
[
Ответить ]
|
Re: Чрезвертельный перелом бедра
Отправитель: Абдурашид 16 Март 2011, 22:34
|
Как предлагали уважаемые коллеги, сегодня наложили спице-стержневой дистрактор таз-бедро, перед этим попробовали закрытую остеоклазию под в/в анестезией, движение в т/б суставе ( или в ложном суставе! ) восстановлен.
Р-снимки сразу п/о, следующий после дистракции, аксиальная - прощу извинения за плохое качество снимков.
Мне кажется надо еще продолжать постепенную дистракцию. И еще которая наверху шейки по моему это осколок от шейки, и она фиксирована оссификатом надвертлужной обл. Поэтому при повторной операции видимо придется открыто мобилизовать т/б сустав.
С уважением Абдурашид.
Копия Фото0443.jpg
9KB (9489 bytes)
|
[
Ответить ]
|
Re: Чрезвертельный перелом бедра
Отправитель: Абдурашид 16 Март 2011, 22:35
|
Как предлагали уважаемые коллеги, сегодня наложили спице-стержневой дистрактор таз-бедро, перед этим попробовали закрытую остеоклазию под в/в анестезией, движение в т/б суставе ( или в ложном суставе! ) восстановлен.
Р-снимки сразу п/о, следующий после дистракции, аксиальная - прощу извинения за плохое качество снимков.
Мне кажется надо еще продолжать постепенную дистракцию. И еще которая наверху шейки по моему это осколок от шейки, и она фиксирована оссификатом надвертлужной обл. Поэтому при повторной операции видимо придется открыто мобилизовать т/б сустав.
С уважением Абдурашид.
Копия Фото0436.jpg
23KB (23804 bytes)
|
[
Ответить ]
|
|
( Ответить )
|
|