вверх
отправить
поиск
админ
главная
|
Периимплантный перелом бедренной кости |
 |
 |
 |
Отправлено Голубых Мария Викторовна 27 Март 2011, 01:00 МУ ДГБ
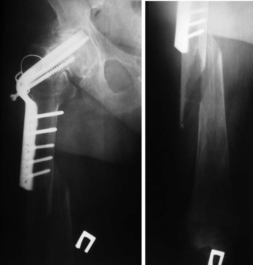
Женщина 86 лет, 7 лет назад корригирующая остеотомия по Mc Murray по поводу ложного сустава шейки бедра. Двигательная активность в пределах квартиры, передвигалась с дополнительной опорой и обслуживала себя, все это время к врачу не обращалась.
Упала по неосторожности, доставлена СМП. Проводится склетное вытяжение. Планируем - имеющийся фиксатор не трогать, т.к. он участвовал в опорности этой конечности (7 лет пациентку устраивал) и у нас нет полной уверенности в сращении ложного сустава.
Учитывая проблемный соматический статус : тучность , ХОБЛ; оперативное вмешательство планируем с минимальной агрессией, не вмешиваясь на винтообразный прелом, растянуть на дистракционной приставке по методике LIIS, накостная фиксация LSP 5.0 мм, располагая фиксатор по передне-боковой поверхности бедра.С удовольствием выслушаем советы по лечению этого перелома.
С уважением Головач О.Н., Голубых М.В.
<
|
>
|
|
Ответить
|
Re: Периимплантный перелом бедренной кости
Ostanin 27 Март 2011, 11:21
|
Можно попробовать стержень, а в качестве блокирующих винтов использовать винты от имеющегося фиксатора. Это будет и малотравматично, и даст возможность ранней активации и бОльшей нагрузки, нежели LISS.
|
[
Ответить ]
|
Re: Периимплантный перелом бедренной кости
Alexander Chelnokov 27 Март 2011, 13:30
|
Не потому ли пациентка передвигалась с дополнительной опорой, что клинок в вертлужной впадине?
План с накостным остеосинтезом выглядит выполнимым (хотя непонятно, что такое "на дистракционной приставке по методике LIIS? и как расшифровывается "LSP"?).
Но мы бы, наверно, чрескожно убрали винты и сделали ретроградный интрамедуллярный остеосинтез. Это технически проще и менее травматично, чем подмышечное проталкивание пластины поверх, возможно, не очень хорошо сопоставленных отломков. Отклоняющие спицы помогут избежать больших смещений из-за очень широкого канала.
В проксимальной части стержня запирающий винт ввести в передне-заднем направлении, так что пластина не помешает.
Вопрос, удалять ли пластину, остается пока без ответа. Если это покажется слишком сложно, травматично, или будет нестабильно состояние пациентки по ходу опеации, то придется оставить.
|
[
Ответить ]
|
Re: Периимплантный перелом бедренной кости
Отправитель: Голубых М.В. 29 Март 2011, 00:22
|
Имелось ввиду LCP.
|
[
Ответить ]
|
|
Re: Периимплантный перелом бедренной кости
Andrey 27 Март 2011, 20:10
|
Пластину лучше убрать, воздействие на сустав нежелательно. Александр Николаевич, а почему не длинной гаммой?
|
[
Ответить ]
|
Re: Периимплантный перелом бедренной кости
Отправитель: Alexander Chelnokov 28 Март 2011, 22:30
|
Я старался ответить в рамках заданного вопроса про то, как в этом случае сделать остеосинтез диафизарного перелома бедра, минимально потревожив клинковую пластину, и минимально травматично для дряхлой больной.
Если вопрос подразумевается другой, то можно обсуждать и проксимальные гвозди, и диафизарные антеградные, и эндопротезы с длинной ножкой, и какие-то варианты еще.
Вообще, если бы пластину удалить, то вряд ли надо было обсуждать дальнейший остеосинтез, т.к. ситуация становится типовой.
|
[
Ответить ]
|
|
Re: Периимплантный перелом бедренной кости
Дмитрий Бондарь 27 Март 2011, 22:45
|
Уважемые колеги,на мой взгляд пластину стоит удалить (пенетрация клинка в сустав, вылезший компрессирующий винт, резорбция вокруг клинка).
После удаления платы, можно заштифтовать, возможни реконструктивным стержнем. Трудностей при удалении клинковых пластин у меня не было, (если у кого были поделитесь, pls) Кость вокруг клинка обычно резорбирована.
Если уж удалять пластинупо каким либо причинам вообще не хочется, удалите винты из диафиза и ретроградно заштифтуйте с сагитальным блокированием в проксимальном отделе бедра.
С уважением Д.Б.
|
[
Ответить ]
|
Re: Периимплантный перелом бедренной кости
Maxim Agalakov 27 Март 2011, 23:32
|
Если пластину не убирать, то за счет упора во впадину она может "отойти" от кости и доставить массу проблем с мягкими тканями.
|
[
Ответить ]
|
Re: Периимплантный перелом бедренной кости
VlaD 28 Март 2011, 02:00
|
Здравствуйте, коллеги!
В данном случае, с моей точки зрения, для выбора дальнейшей тактики лечения чрезвычайно важно установить факт сращения перелома шейки бедренной кости. Можно было бы получить дополнительную информацию о степени сращения, выполнив РКТ тазобедренного сустава. Если сращение перелома шейки бедренной кости не достигнуто, то наиболее приемлемой, мне представляется, будет тактика, предложенная авторами. Однако, фиксация пластинкой перелома порозной кости у лица восьмидесяти шестилетнего возраста оставляет пациента прикованным к постели до сращения перелома, хотя и с неочевидной перспективой передвижения после сращения. Иное дело, если установлен факт сращения перелома шейки бедренной кости. В этом случае имеется возможность обеспечить возможность больной нагружать ногу сразу после оперативного лечения. Тяжесть оперативного лечения в данном случае, мне кажется, будет зависеть не столько от величины разреза на бедре, сколько от времени оперативного вмешательства. Не являюсь сторонником ретроградного остеосинтеза у лиц пожилого возраста, из-за нескольких случаев, подобных приведенному на вложенном файле.

Тем более, что в данном случае верхняя треть бедренной кости и так ослаблена отверстиями от винтов пластинки. Поэтому, наш план оперативного лечения состоял бы в следующем. Анестезия предпочтительно спинномозговая. Положение больной на здоровом боку. Спицевой дистракционный аппарат. Удаление всех металлоконструкций. Если в аппарате достигнута дистракция, то для репозиции отломков останется в нижнем углу раны устранить смещение отломков по ширине, зафиксировав их костодержателем. Антеградный остеосинтез блокированным стержнем на уже репонированном переломе, что намного сокращает время вмешательства. Необходимо обратить внимание, что в данном случае точка входа в канал бедренной кости будет проецироваться не на piriformis fossa, a несколько медиальнее из-за медиализации бедра.
С уважением, VlaD.
|
[
Ответить ]
|
Re: Периимплантный перелом бедренной кости
Отправитель: Alexander Chelnokov 31 Март 2011, 01:02
|
из-за нескольких случаев, подобных приведенному на вложенном файле
Чтобы не сталкиваться с такой проблемой, оптимально стержень запирать не латеро-медиально, а передне-задними винтами (достаточно одного). И стержень желательно ввести проксимальнее малого вертела.
|
[
Ответить ]
|
Re: Периимплантный перелом бедренной кости
Отправитель: Alexander Chelnokov 31 Март 2011, 22:14
|
из-за нескольких случаев, подобных приведенному на вложенном файле
Чтобы не сталкиваться с такой проблемой, оптимально стержень запирать не латеро-медиально, а передне-задними винтами (достаточно одного). И стержень желательно ввести проксимальнее малого вертела.
|
[
Ответить ]
|
|
Re: Периимплантный перелом бедренной кости
Олег Афанасьев 29 Март 2011, 03:03
|
Больная ходила на клинке,при удалении винтов пластина мигрирует,а головка бедра развалится на фоне остеопороза и дырки от клинка.Малой кровью не обойтись.Анте,ретро БИОС не решат проблемы.Может реконструктивный эндопротез?Потянет бабушка материально и физически?
|
[
Ответить ]
|
Re: Периимплантный перелом бедренной кости
Отправитель: Голубых М.В. 30 Март 2011, 01:18
|
В данной ситуации на первый план выходит вопрос о возможных максимально щадящих методах лечения данной пациентки, учитывая анамнез.
|
[
Ответить ]
|
|
( Ответить )
|
|