AOTRAUMA.ORG Центр Илизарова  

Ортопедия и травматология Общие вопросы/General questions Help Информационные технологии в медицине
 вверх
 отправить
 поиск
 админ
 главная


Патологический перелом бедра
Ортопедия и травматология Отправлено Евгений 03 Апрель 2011, 03:36
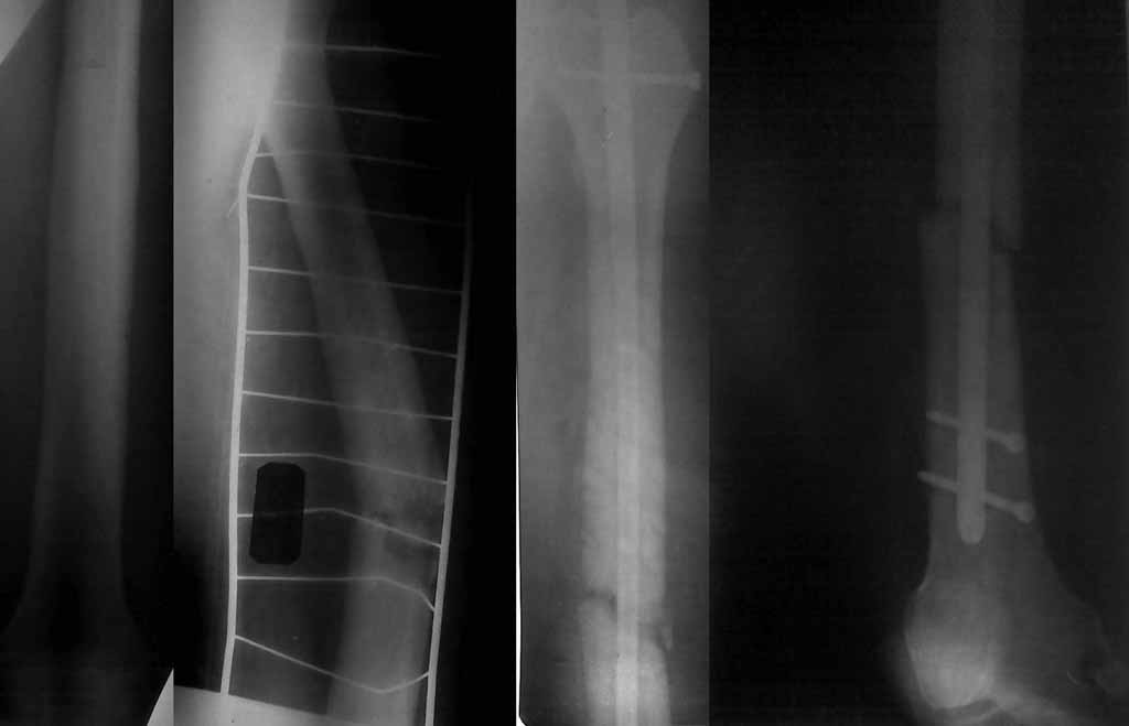
Здравствуйте уважаемые коллеги. С начала марта 2011 года наблюдаем пациента 46 лет, обратился с жалобами на боль в н/3 левого бедра,
беспокоила постоянно, периодические судорожные сокращения мышц левого бедра.

Впервые почувствовал боль в 2005 году - резко присел, боль в левом колене, синовиит, пункции, болкады. Лечение вызывало временное улучшение, периодически боль в колене возобновлялась, 3 года назад боль распространилась на н/3 бедра, появились судороги. 2 года отмечает умеренный отёк левого бедра (заметил по фото 2-летней давности отсутствие контуров 4-х главой мышцы в сравнении со здоровой стороной)

Обратился в марте в связи с усилением болевого синдрома, при осмотре признаков патологии коленного сустава не обнаружили, левое бедро пастозно. при пальпации на границе с/3-н/3 бедра чёткая граница уплотнения и резкое усиление боли. Движения в суставах в норме. В анализе крови всё в норме кроме лифоциты 50%, сегментоядерные 21%. Сцинтиграфия с Тс - накопление в канале н/3 бедра и параоссально 500%. Рентгенологически - утолщение надкостницы по типу муфты.

Выполнена открытая биопсия. вокруг бедренной кости обнаружена платная ткань серо-белого цвета, толщиной до 1см, неплотно связанная с костной тканью, под такнью накостницы нет, выполнена трепанация канала, костная ткань слерозировання, в канале аналогичная ткань. Патологическая ткань удалена

Гистологически фибросаркома. Ткань исследована гистохимическим методом - Неходжкинская, В-крупноклеточная лимфома бедра. В послеоперационном периоде болевого синдрома не было (говорит стал нормально спать без обезболивающих)

Получил курс химиотерапии
26 марта при незначительной травме - поперечный перелом бедра в месте трепанации.

Выполнена закрытая репозиция БИОС с первичной динамизацией. Ходит с дозированной нагрузкой на левую ногу.

Коллеги, вопрос в том, когда можно начинать следующий курс химио- и лучевой терапию, какой режим нагрузки и прогнозируемые сроки консолидации? Поделитесь пожалуйста литературой по этой теме.

Спасибо, с уважением Евгений

<  |  >

 

  • Сообщения о Ортопедия и травматология
  • Также Евгений
  • Связаться с автором
  • Ответить

    Re: Патологический перелом бедра
    Никита М. 03 Апрель 2011, 17:20
    Химиотерапия и лучевая терапия тут уже сомнительна, т.к. произошел патологический перелом. То что скорее всего ожидает больного - резекция бедренной кости в пределах здоровых тканей и эндопротезирование коленного сустава специальным онкологическим эндопротезом, а может и тотальным эндопротезом тбс и к/с суставов. Если опухоль не растет, блокирование удачно и есть небольшая опора - оставьте так, все равно "онкологические принципы" уже нарушены. Жаль нет снимков, посмотреть...

    С Уважением
    Никита М.
    [ Ответить ]

    Re: Патологический перелом бедра
    Илья Иофин 03 Апрель 2011, 22:24
    Так как это лимфома, то пациенту, можно сказать, повезло. Если бы это была фибросаркома, как предполагалось первоначально, то после БИОС, разговор бы возможно шёл об ампутации. Лимфома обычно очень хорошо реагирует на химию и лучевую терапию. Химию обычно можно начать через 2 недели после операции. Лучевую терапию начинают через 6-8 недель после операции. Все эти сроки, с условием, что рана нормально заживает. Перелом будет заживать медленнее, чем обычный, так как сама опухоль, химия и радиация замедляют образование костной мозоли. Не видя снимков затрудняюсь что либо сказать про нагрузку на конечность.
    [ Ответить ]

    Re: Патологический перелом бедра
    Евгений 05 Апрель 2011, 04:14

    Здравствуйте, коллеги. Досылаю рентгенограммы, качество низкое, извините.


    [ Ответить ]


    ( Ответить )

    Powered by Zope  Squishdot Powered MedLink
    Посетитель: 0000094
      "По форме правильно, а по существу - издевательство" В.И.Ленин
    ©2001-2019Orthoforum Coordinator.
    [ Главная | Отправить сообщение | Поиск | Админ ]