AOTRAUMA.ORG Центр Илизарова  

Ортопедия и травматология Общие вопросы/General questions Help Информационные технологии в медицине
 вверх
 отправить
 поиск
 админ
 главная
 Предыдущее
 Весь тред


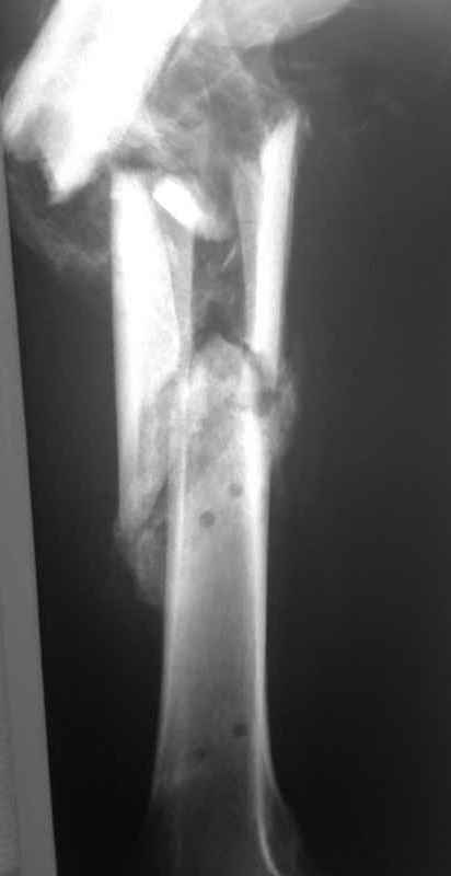
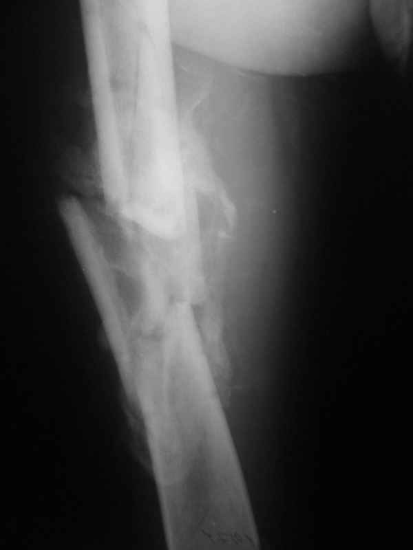
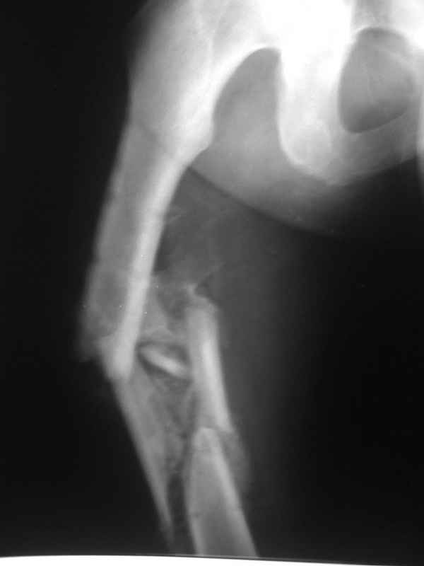
Re: Неправильно срастающийся оскольчатый перелом бедра
Сергей Дукер 06 Апрель 2011, 13:40



R

  • Сообщения о Ортопедия и травматология
  • Также Сергей Дукер
  • Связаться с автором
  • Ответить

    Re: Неправильно срастающийся оскольчатый перелом бедра
    Alexander Chelnokov 06 Апрель 2011, 20:10
    Спасибо за снимки. Предложения по тактике прежние.
    [ Ответить ]

    • Re: Неправильно срастающийся оскольчатый перелом бедра
      Отправитель: Андрей 11 Апрель 2011, 00:10
      Уважаемый Alexander Chelnokov!
      Вы думаете, что в данной ситуации возможна закрытая мобилизация?


      [ Ответить ]
      • Re: Неправильно срастающийся оскольчатый перелом бедра
        Отправитель: Alexander Chelnokov 11 Апрель 2011, 04:16
        Попробовать-то можно. И просто руками "об колено", а то и наложить аппарат, приложить флексионные и ротационые усилия прямо за разъединенные секции.
        Если уж никак, то сделать чрескожную остеотомию.
        Но если картинки недавние, IMHO должно получиться закрыто разобщить.

        [ Ответить ]

     

    ( Ответить )

    Powered by Zope  Squishdot Powered MedLink
    Посетитель: 0017273
      "По форме правильно, а по существу - издевательство" В.И.Ленин
    ©2001-2019Orthoforum Coordinator.
    [ Главная | Отправить сообщение | Поиск | Админ ]