AOTRAUMA.ORG Центр Илизарова  

Ортопедия и травматология Общие вопросы/General questions Help Информационные технологии в медицине
 вверх
 отправить
 поиск
 админ
 главная


Infected Non-union, Coxa vara
Ортопедия и травматология Отправлено Ostanin 11 Апрель 2011, 22:57
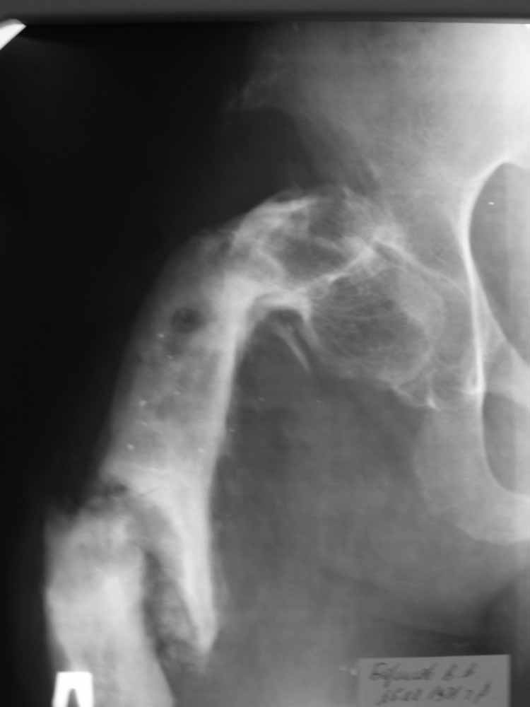
Пациент 29 лет. Неоднократно оперированная Coxa Vara.
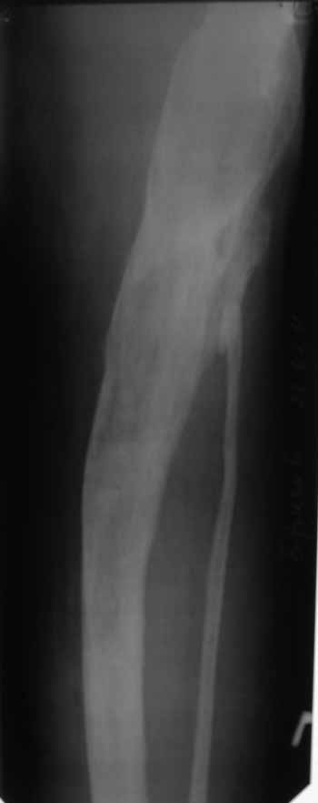
В анамнезе этапные операции по поводу устранения Coxa Vara, формирование артродеза коленного сустава, удлинения бедра. В данный момент беспокоит укорочение 7 см, эквинус стопы. Объективно: - местный статус виден на фото, сосудистых и неврологических расстройств нет. Обратился в консультативном порядке, настроен на удлинение голени в г.Волгограде. (со слов больного - не берут без санации очага на голени). Ваши предложения? Из кулуарных соображений - а не актиномикоз ли это? Иссечение рубцов+ VAC+ Стержень с аппаратом + микрососудистый трансплантат(?)

<  |  >

 

  • Сообщения о Ортопедия и травматология
  • Также Ostanin
  • Связаться с автором
  • Ответить

    Re: Infected Non-union, Coxa vara
    Paul 12 Апрель 2011, 00:50
    "жесть". Это точно наше время?
    [ Ответить ]

    • Re: Infected Non-union, Coxa vara
      Отправитель: Андрей Волна 12 Апрель 2011, 13:23
      Ваш вопрос, коллега, вполне правомерен. В советское время те из нас, кто занимался костно-гнойной инфекцией видели достаточное количество подобных несчастных, кочующих из стационара в стационар. Своеобразный госпитализм приводил к тому, что люди тратили всю свою, как правило достаточно короткую жизнь, на лечение зачастую реально неизлечимых процессов. В данном случае имеющаяся рентгенологическая картина груботрабекулярной перестройки кости, сочетающаяся с участками склероза говорит, скорее всего, о том, что вся имеющаяся картина, дополненная чудесными фотографиями,вполне укладывается в клинику гематогенного остеомиелита, которым и страдает пациент с детства. Никакие санации, к сожалению, не приведут в данном случае к излечению, так как все имеющиеся рубцы являются зоной жизни этой самой инфекции. При продолжении лечения не исключено достаточно раннее развитие амилоидоза в этом случае. Мне кажется, что оптимальным было бы определить пациента в институт протезирования и протезостроения или в то учреждение, которое в регионе выполняет данную функцию. Специалисты помогли бы определиться с уровнем ампутации, являющейся, по сути, единственным способом разорвть порочный круг и дать пациенту возможность какой-то социальной адаптации. А в плановом порядке, насколько мне известно, можно добиться неплохого финансового обеспечения под протез конечности по квоте. Другого решения здесь нет. С уважением, Андрей Волна

      [ Ответить ]
    Re: Infected Non-union, Coxa vara
    Ostanin 12 Апрель 2011, 08:38
    извините за очепятку - не берут без санации очага на бедре. Сейчас имеется отделяемое из нижнего свища с периодическим выходом секвестром в виде мелкой крошки. Движений в ТБС почти нет - есть только сгибание градусов до 10. В стопе - только качательные.
    [ Ответить ]

    Re: Infected Non-union, Coxa vara
    Ангельский Александр 12 Апрель 2011, 22:51
    Чтобы пытаться провести лечение данного пациента надо точно понимать - что хочет пациент? Какими усилиями с его и врачей стороны? В какой временной промежуток?. Предложение Андрея Волны возможно, если пациент уже ничего не хочет, или не возможно ему помочь по причине органной недостаточности - амилоидоз. Тогда, конечно, ампутация, протезирование. Возможно, на западе в том числе по экономическим причинам так и поступают. Но судя по литературе далеко не всегда. Эта тактика напоминает известное выражение "Есть человек, есть проблемы,..." ну и так далее. Если пытаться помочь пациенту, то гематогенный остеомиелит не настолько неразрешимая проблема. Хотя не понятно, почему удлинение за счет голени, при ложном суставе бедра. Я бы начал с попытки сращения бедренной кости, любыми возможными на взгляд лечащего хирурга методами (возможно придется их менять по ходу лечения или комбинировать). При мелких секвестрах удаление оных, но в первую очередь создать опорную конечность. Вторым этапом. Купирование гнойного процесса в тех очагах где он остался. При этом, кроме стандартных остеонекрэктомий с дренированием, можно и с VAC (мода вещь великая, а, может, и реально помогает, своего опыта, к сожалению, в применении современного VAC не имею, хотя, мне кажется, в основе это давно известные методы, изложенные у М.Кузина в "Гнойной хирургии"), кроме стандартных остеонекрэктомий необходима пересадка большого сальника в область гематогенного гнойного процесса. Пересадку можно сделать как свободным лоскутом, так и возвожна раскройка его в длинный кровоснабжаемый лоскут и с протягиванием под паховой складкой и распластыванием в зонах гнойных очагов бедра и голени. При наличии организационно нескольких бригад хирургов и подготовленных анестезиологов можно совместить оба этапа (операция может занять до 16 часов). Пересадка большого сальника в зону гематогенного гнойного очага в кости практически дает выздоровление или стойкую ремиссию ( проверено на полифокальных и монофокальных гематогенных остеомиелитах). Далее удлинять конечность в каком угодно месте, но я бы стал делать дистальнее, тем более что это может потребовать, во-первых, неоднократных остеотомий, во вторых, имеется потерянная иннервация малоберцовым нервом (говорится об укорочении 7 см и об эквинусе), и можно совместить удлинение с решением проблемы эквинуса. Это общий план. Надо принять во внимание, что по моему опыту это может потребовать до 8 лет перманентного оперативного лечения в худшем случае. Не все пациенты и врачи готовы к такому марафону. Но опять же по моему опыту, пересадка сальника в зону гематогенного патологического очага давала стойкую ремиссию. У меня был один пациент который после пересадки сальника через 3 года сломал голень с гематогенным очагом - криминальная травма- но гематогенный остеомиелит не обострился, а перелом голени срастался в обычные сроки в гипсе (4-6 мес). Но вернуться к теме ампутации можно на любом этапе. Кстати, надо будет при этом понять на каком уровне ампутировать. Ну и конечно, надо помнить о болезнях культей, в нашем случае это очень возможно (в Новокузнецком институте протезирования было даже отделение болезней культей, в том числе и гнойных). Это как в эндопротезировании суставов - решаем одну проблему, но можем получить другую. С уважением Ангельский А.А.
    PS/ Не знаю технические и организационные возможности Волгоградских хирургов, возможно ли проведение микрохирургических операций в Волгограде? Нужна совместная работа различных хирургических специалистов - как при сочетанной травме. Может в Москве или Санкт-Петербурге заинтересуются данным пациентом. Не так давно на форуме проводился опрос о тех, что остались от советской микрохирургии, а специалисты из Кургана отмечали что у них продолжает развиваться гнойная остеология.
    [ Ответить ]

    • Re: Infected Non-union, Coxa vara
      Отправитель: Ostanin 12 Апрель 2011, 23:41
      конечность опорна(!). Самая галвная жалоба - утомляемость, ноющие боли в области ТБС при длительном хождении, и укорочение. Пациент соматических жалоб не предъявляет.
      Не совсем понимаю, причем в данном случае именно гематогенный остеомиелит...
      Про Курган - категорически отказывается, уже был, там пытались удлинять бедро, картина на фото..

      [ Ответить ]

     

    ( Ответить )

    Powered by Zope  Squishdot Powered MedLink
    Посетитель: 0012189
      "По форме правильно, а по существу - издевательство" В.И.Ленин
    ©2001-2019Orthoforum Coordinator.
    [ Главная | Отправить сообщение | Поиск | Админ ]