AOTRAUMA.ORG Центр Илизарова  

Ортопедия и травматология Общие вопросы/General questions Help Информационные технологии в медицине
 вверх
 отправить
 поиск
 админ
 главная


Сакроилеит
Ортопедия и травматология Отправлено Алексей Гринь 11 Май 2011, 21:04
Уважаемые коллеги, пожалуйста выскажете свои мылли по поводу клинического случая:пациентка 51 года страдает болями в области правого крестцово-подвздошного сочленения.
Боли отмечала и раньше, но они беспокоили не сильно, справлялась мазями, отдыхом. В течени последних пяти лет боли выраженного характера, не зависящие от положения тела, усиливающиеся при движениях, при резких движениях и кашле стреляющего характера, не иррадиирую. Ходит с трудом при помощи костылей. Движения ограничены из за боязни боли. Сиптомы натяжения отрицательны. Последние 3 года на инвалидности (была врачем). Неоднократно проходила курсы консервативного лечения по поводу остеохондроза позвоночника (сосудистые препараты, НПВС, всевозможные блокады, массаж)санаторно-куротное лечение с незначительным и очень ограниченным эффектом. На Р-граммах, КТ, МРТ остеохондроз не выраженный, грыж дисков нет. Лечилась у неврологов, консультирована вертебролагами в разных НИИТО.

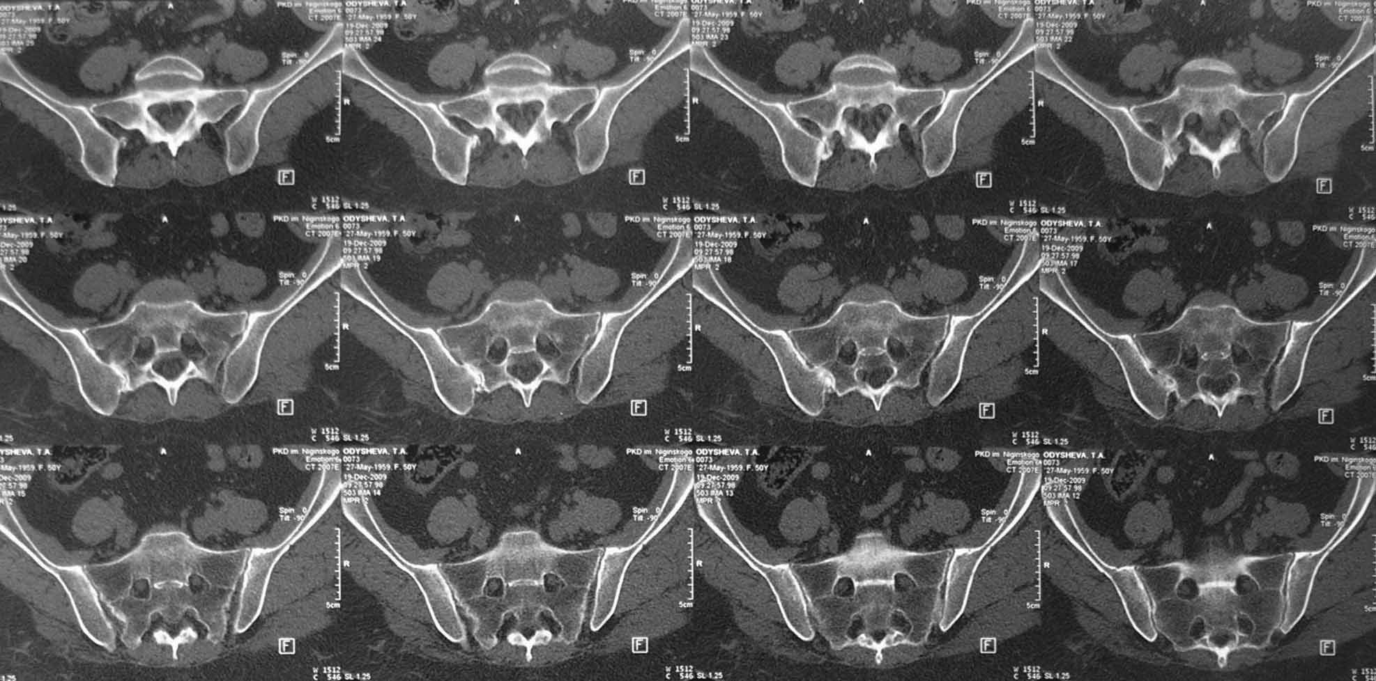
В 2009г установлен диагноз - сакроилеит справа.На представленных КТ имеется гипертрофия заднего отдела правой подвздошной кости с образованием контакта с задней поверхностью крестца.В январе 2011 года выполнена попытка удаления гипертрофированного участка подвздошной кости. удаленные участки кости исследованы гистологически - губчатая кость с элементами гиалинового хряща. После операции положительного эффекта не получено. На контрольной КТ от 04.2011 обнаружено что, желаемого результата операции не получено(интересующий участок удален частично), при этом имеется расслоение заднего отдела правой подвздошной кости.

Сейчас клиника таже самая, признаков воспаления внешне нет, по анализам тоже нет, туберкулеза нет и бруцеллеза тоже нет.

Вопросы:

1. правильно ли нами оценена причина болей?

2. причина расслоения кости (интраоперационная исключена)?

3. что делать?

С уважением А.А.Гринь.

<  |  >

 

  • Сообщения о Ортопедия и травматология
  • Также Алексей Гринь
  • Связаться с автором
  • Ответить

    Re: Сакроилеит
    травматолог 18 Май 2011, 17:41
    В плане дифф.DS: Б-нь Бехтерева?
    Хорошие результаты даёт рефлексотерапия.

    [ Ответить ]

    Re: Сакроилеит
    Зельский Илья Александрович 18 Май 2011, 23:47
    На первичных КТ от 19-12-2009 определяется частичное анкилозирование правого крестцово-подвздошного сочленения, а на последних, от 11-04-2011 протяженность анкилозированной зоны значительно больше - сакроилеит прогрессирует, (с левой стороны вроде тоже признаки сакроилеита появились - не очень понятно из-за качества снимка). Значимых дуральных и радикулярных конфликтов действительно нет. "расслоение кости" - рентгенологически выглядит как травматический перелом подвздошной кости. Что делать? - наверное, искать серонегативные спондилоартропатии у ревматолога.
    С уважением, Зельский И.А., рентгенолог УНИИТО
    [ Ответить ]

    Re: Сакроилеит
    Анатолий 22 Май 2011, 00:58
    Может артродез решит проблему?
    [ Ответить ]

    Re: Сакроилеит
    ринат 19 Декабрь 2011, 19:36
    в каком состоянии лонное сочленение????
    не было ли травмы при родах???
    рнетген таза в трех проекциях
    [ Ответить ]


    ( Ответить )

    Powered by Zope  Squishdot Powered MedLink
    Посетитель: 0000134
      "По форме правильно, а по существу - издевательство" В.И.Ленин
    ©2001-2019Orthoforum Coordinator.
    [ Главная | Отправить сообщение | Поиск | Админ ]