AOTRAUMA.ORG Центр Илизарова  

Ортопедия и травматология Общие вопросы/General questions Help Информационные технологии в медицине
 ВХОД ДЛЯ ПАЦИЕНТОВ
 вверх
 поиск
 админ
 главная
 исходное


Re: Импрессия мыщелка б/б кости
послал Djoldas Kuldjanov 21 Август 2011, 22:09
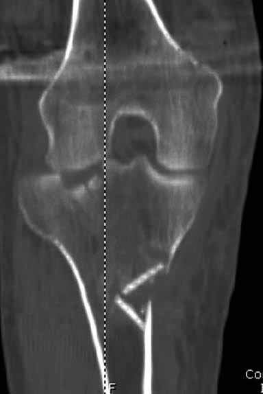
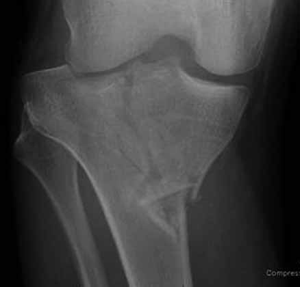
На снимке типичный перелом медиального тибиал плато с передним смещением (подвывих) по Schatzker IV. Консервативное лечение без медиальной опоры не может удержать деформирующие силы, и из-за вторичного смещения мыщелка конечность смещается в варус. Кроме передних смещений еще встречаются сложные фронтальные варианты переломов, и тогда голень подвывихивается кпереди.


Тактика лечения перелома Schatzker IV в остром периоде отличается от других типов переломов, потому что кроме перелома костей повреждаются связки сустава. Первостепенно необходимо лечить костную деформацию, а потом (при необходимости?) повреждение связок. Такая тактика считается лучшей, чем “провести санацию коленного сустава-возможно мешает поврежденный наружный мениск, это можно сделать и сразу, не ожидая восстановления объема движений, конечно лучше артроскопом”.
К сожелению многие упускают такую возможность и в молодом возрасте оставленный такой сустав быстро приводит к инвалидности. Об этом подробно в предидущих дискуссиях: http://weborto.net/forum/1292598289/1293647377/1293650173/



А в данном случае мыщелок сросся со смещением кпереди и ротирован. За счет интактной наружной колонны опороспособность конечности сохранена, но остается варус и экстензия конечности. Для предоперационного расчета необходимо сделать на всю длину конечности рентгенограмму, а в остром периоде КТ и 3-мерный снимок помогут лучше ориентироваться в характере перелома.



Остеотомия с разворотом медиального мыщелка, и для фиксации можно применить параллельные субхондральные межмыщелковые шурупы. Дополнительная медиальная Smith-Nephew PERI-LOC™ (Periarticular Locked Plating System) пластина. При отсутствии специальной пластины можно адаптировать Tomofix для высокой остеотомии. Доступ прямой медиальный через pes anserinus или через интервал pes с medial gastrocnemeus.

Djoldas Kuldjanov, M.D.
Associate Professor
Department of Orthopedic Surgery
St. Louis University
Послать ответ

Имя
Email
Уведомление Сообщить мне по e-mail об ответах на это сообщение
Название
Комментарий
(Проверьте URL! Не забудьте написать http://!)
Кодировка
Если не знаете, что выбрать, выберите "Просто текст"!
Приложение
Можно приложить к сообщению файл c изображением, который затем будет доступен увидевшим сообщение.
Подготовка иллюстраций:
  • Рентгенограммы: черно-белые полутоновые изображения в формате JPEG (8 bit, greyscale) с разрешением от 300х200 до 1024х768 пикселов;
  • Клинические фотографии: полноцветные изображения в формате JPEG (24 bit, truecolor) с разрешением от 300х200 до 1024х768 пикселов;
  • Схемы и рисунки: черно-белые (2 bit) штриховые (line-art) изображения в формате GIF или compressed TIFF
  • Подберите степень сжатия файла JPEG и размер изображения таким образом, чтобы необходимые детали были различимы, но размер файла не превышал 75 кб.
  • Учтите, что текущая версия программного обеспечения Форума позволяет приложить к одному сообщению лишь один файл-вложение. Поэтому, если необходимо отправить несколько изображений, можно либо послать каждое как отдельное сообщение, либо в графическом редакторе объединить изображения в одно (сделать коллаж).
  • Если при подготовке изображений встречаются трудности, не стесняйтесь обратиться к координатору Форума.

  • Введите видимые символы в обратном порядке. Enter the above characters in reverse order (*Обязательно)
    В тексте сообщения можно использовать теги HTML <B> <I> <P> <A> <LI> <OL> <UL> <EM> <BR> <TT> <HR> <STRONG> <BLOCKQUOTE> <DIV .*> <DIV> <P .*>
  • Обратите внимание: Поля с жирными названиями обязательны.
  • Старайтесь отвечать в рамках обсуждаемой темы, а не начинать новые обсуждения.
  • Указывайте адекватную тему сообщения, чтобы было ясно, о чем оно.
  • Не послайте сообщений не по теме (оффтопик), раздраженных, грубых или обидных комментариев. Здесь это неуместно.
  • Powered by Zope  Squishdot Powered MedLink
    Посетитель: 0131205
      "По форме правильно, а по существу - издевательство" В.И.Ленин
    ©2001-2019Orthoforum Coordinator.
    [ Главная | Отправить сообщение | Поиск | Админ ]