вверх
отправить
поиск
админ
главная
|
Несросшийся перелом пяточной кости |
 |
 |
 |
Отправлено Антон Андрианов 29 Август 2011, 11:07
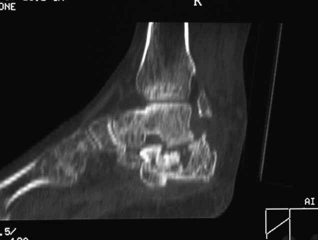
КТ перелома пяточной кости Пациент 60 лет с производственной травмой-закрытые переломы правой пяточной кости, тибиального плато слева поступил в феврале с.г. На 4 сутки выполнена открытая репозиция, остеосинтез внутрисуставного перелома голени, ручная репозиция пяточной кости. Через три месяца начал ходить с нагрузкой на обе ноги. Консолидация голени с полным восстановлением функции колена. Правая стопа умеренно отечна, продольно распластана, длительная ходьба вызывает боли и увеличение отека. Прошел несколько курсов ударно-волновой терапии, грязелечение, боли и отек уменьшились. В наших планах -оформление на ВТЭК, через год возможно выполнение подтаранного артродеза.Но после производства КТ в августе появились сомнения в консолидации перелома.Ранее у нас не было опыта КТ переломов стопы и сканы привели в замешательство.Прилагаю снимки со дня поступления, августовские пациентом не представлены.С благодарностью примем советы коллег.
<
|
>
|
|
Ответить
|
Re: Несросшийся перелом пяточной кости
Apollon 30 Август 2011, 00:21
|
А можно снимки после репозиции? Что мешало делать репозицию при поступлении?
|
[
Ответить ]
|
Re: Несросшийся перелом пяточной кости
Стас 30 Август 2011, 00:58
|
По данным КТ нельзя судить о консолидации перелома
|
[
Ответить ]
|
Re: Несросшийся перелом пяточной кости
Отправитель: Андрей Волна 30 Август 2011, 20:54
|
То есть, в принципе нельзя? Если так, то почему?
С уважением.
|
[
Ответить ]
|
Re: Несросшийся перелом пяточной кости
Отправитель: Djoldas Kuldjanov 02 Сентябрь 2011, 23:06
|
По данным КТ нельзя судить о консолидации перелома
Наоборот, из всех доступных методов обследования КТ является важным методом определения сращения костей. Срезы КТ позволяют увидеть труднодоступные образования, которые не увидишь на обычной рентгенограмме. Переломы костей таза, внутрисуставные, переломы пяточной кости и проблемные состояния диафизарных ложных суставов являются показанием для КТ исследования. На КТ срезы ориентируемся также при решении вопросов консолидации и разрешения нагрузки.
Данное исследование сделано в неправильной позиции стопы, стопа находится под прямым углом. Но несмотря на это, здесь можно увидеть, что латеральная стенка смещена, фиброз между фрагментами и варусное смещение пятки.
Топография зависит от позиции пятки в пространстве и неправильное положение закрывает обзор нужных структур. Важными структурами в исследовании пятки является задняя фасетка, бугор и боковые стенки. Существует специальные рентгенснимки, показывающие импинджмент с лодыжкой, а также положение бугра. Для КТ стопу надо инклинировать под 30 градусов, иначе можно пропустить важные переломы.
Информация о правильном обследовании пяточной кости на КТ. Computer tomography of calcaneal fractures: Anatomy, pathology, and clinical relevance. Guyer BH, Levinsohn EM, Fredericksohn BE, et al: Am J Radiol 1985;145:911-919.
Кстати, Roy Sanders свою классификацию переломов пяточной кости обосновал на основании данных Компьютерной Томографии.
а пока не сделали проведите ещё пару курсов реабилитации-участки асептического некроза глядишь уменьшатся. Помимо ФТ подкапайте препараты улучшающие реологию. Нагрузку естественно ограничить и в ортопедической обуви
О положительном эффекте тепловых процедур на мягкие ткани написано много, но мы не нашли подтверждающие работы, что курсы реабилитации уменьшают асептический некроз. Если у кого имеются научно обоснованная работа по этой, а также по “магическому влиянию препаратов реологии” было бы интересно ознакомится.
А по поводу тактики лечения, что можно добиться ожиданием в течение года? Дополнительное страдание? Реология, магниты с ударно-волновой терапией без кардинальной операции не исправят варус, а также проявления псевдоотеков с наружной стороны.
Нет срочности, но необходимо исправить варус и сделать субталарный артродез. Латеральное положение, расширенный доступ и closed wedge остеотомия с открытым кнаружи углом, возможно, удастся визуализировать через линию остеотомии недостающие части медиальной стенки - костный графт. Дистракция и после подготовки поверхности кости субталарный дистракционный артродез с помощью костного блока, взятого из крыла. Достаточно двух 6.5мм канюлированных шурупов из пяточного бугра медиально и латерально в направлении таранной кости. Из-за увеличения высоты стопы после артродеза кожа закрывается трудно, и могут быть краевые некрозы, которые лечатся долгими перевязками. Нужна предоперационная беседа по поводу задержки заживления, тогда больные встречают проблемы с пониманием.
Здесь лекции: Paul Tornetta III, MD http://www.hwbf.org/ota/bfc/torn/exp.htm
Richard E. Buckley, MD: http://www.hwbf.org/ota/bfc/buck2/exp.htm
Djoldas Kuldjanov, M.D.
Associate Professor
Department of Orthopedic Surgery
St. Louis University
|
[
Ответить ]
|
Re: Несросшийся перелом пяточной кости
Отправитель: Антон Андрианов 05 Сентябрь 2011, 07:58
|
Большое спасибо за исчерпывающий ответ и, как всегда, отличные ссылки.Если смогу убедить пациента в необходимости операции позднее выложу снимки.Но по личному опыту скажу, что с посттравматическими болями в стопе\ подтаранный артроз\ лишь малая часть пациентов соглашается на артродез.
|
[
Ответить ]
|
|
Re: Несросшийся перелом пяточной кости
александр ерохин 30 Август 2011, 18:34
|
Ну скажут Вам,что перелом сросся или не сросся,а дальше?Что поменяется?-Так же потребуется артродез,а пока не сделали проведите ещё пару курсов реабилитации-участки асептического некроза глядишь уменьшатся.Помимо ФТ подкапайте препараты улучшающие реологию.Нагрузку естественно ограничить и в ортпедической обуви .
|
[
Ответить ]
|
Re: Несросшийся перелом пяточной кости
Антон Андрианов 31 Август 2011, 22:23
|
Хочу пояснить ситуацию- пациенту 60 лет\ у нас в Казахстане мужчины уходят на пенсию в 63 года\, травма производственная.Через 2 месяца мне надо отправить его на МСЭК для определения 2 группы с несросшимся переломом или с подтаранным артрозом, когда возможна 3 группа на год и процент утраты трудоспособности. Это достаточно чувствительная материальная разница.Никакой хирургической активности до года не предвидется, а, как уже не раз писалось на форуме пользы от реопрепаратов никто не доказательно не описал. При отсутствии системного остеопороза на мой взгляд невелик эффект и Осталона\бонвивы\ и пр. аналогов. Меня очень интересует опыт коллег отслеживающих по КТ этапы лечения переломов пяточных костей.
|
[
Ответить ]
|
Re: Несросшийся перелом пяточной кости
Отправитель: александр ерохин 04 Сентябрь 2011, 15:30
|
Как написано в монографии Ключевского переломы костей стопы должны рассматриваться всегда,ещё как и сосудистая патология.И ещё:разве можно точно сказать по Р-граммам,где асептический некроз,а где проявления пятнистой остеодистрофии-синдрома Зудека?Патогенез-спазм артериол.Отсюда и лечение должно быть примерно одинаковым(препараты никотиновой кислоты,витамины группы В,трентал,вессел,итп. Тепловые процедуры,наоборот строго противопоказаны.Да и больные отмечают значительное улучшение,причем сразу,после нормального курса реабилитации.Тут уж, простите, моё субъективное мнение,на основании собственного опыта.Наукой не занимался.
|
[
Ответить ]
|
|
Re: Несросшийся перелом пяточной кости
Станислав 08 Сентябрь 2011, 03:21
|
спасибо Джолдасу Кулджанову за исчерпывающий ответ.
Забираю свои слова обратно.
|
[
Ответить ]
|
( Ответить )
|
|