вверх
отправить
поиск
админ
главная
|
Контрактура плечевого сустава |
 |
 |
 |
Отправлено Михаил 18 Сентябрь 2011, 15:48
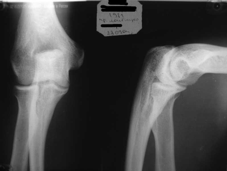
Уважаемые коллеги!Требуется ваша помощь. На консультацию обратился пациент 30 лет с жалобами на ограничение активных движений в левом плечевом суставе. Пассивные – в полном объеме. Со слов – имела место некая родовая травма. К тому же отмечается незначительный дефицит иннервации n.radialis (снижение «силы» разгибателей-сгибателей в кистевом суставе и отведения 1 пальца; неврологи никакого специфичного лечения не назначают). Также имеется контрактура локтевого сустава: сгибание в полном объеме, разгибание 150 градусов, супинация в пределах 7 градусов. Функция конечности в принципе устраивает. Скелетных травм в анамнезе нет. Вопрос: есть ли смысл заниматься какими-либо реконструкциям на плечевом суставе и как можно улучшить функцию скомпрометированных суставов? Заранее всем благодарен
<
|
>
|
|
Ответить
|
Re: Контрактура плечевого сустава
Алексей 01 Октябрь 2011, 12:31
|
Уважаемый Михаил, у Вашего пациента вероятнее всего "родовая травма" была скелетной, т.е. во время родовспоможения произошел эпифизеолиз дистального эпифиза плечевой кости. Клинически это проявляется некоторым непродолжительным ограничением подвижности в конечности, консолидация (учитывая возраст) проходит достаточно быстро (7-10 дней). Бывает, что при выписке из роддома ребенка уже ничего не беспокоит. Имеющийся на снимке локтевого сустава варус дистального метафиза плеч кости может быть результатом такой травмы. Что касается неврологии, при подобной травме может произойти повреждение лучевого нерва, но это как правило следствие больших смещений эпифиза (заметили бы сразу). Второй вариант - роды столь травматичны, что повредили и плечевое сплетение - проксимальный паралич Эрба, который либо не распознали, либо плохо лечили, в итоге ограничение амплитуды подвижности в плечевом суставе.
Сейчас я на Вашем месте не стал бы пытаться что-то реконструировать, ключевая фраза: "Функция конечности в принципе устраивает".
|
[
Ответить ]
|
( Ответить )
|
|