AOTRAUMA.ORG Центр Илизарова  

Ортопедия и травматология Общие вопросы/General questions Help Информационные технологии в медицине
 вверх
 отправить
 поиск
 админ
 главная
 Предыдущее


Re: остеотомии таза при дисплазиях т\б сустава.
Глазков Константин 27 Сентябрь 2011, 14:42



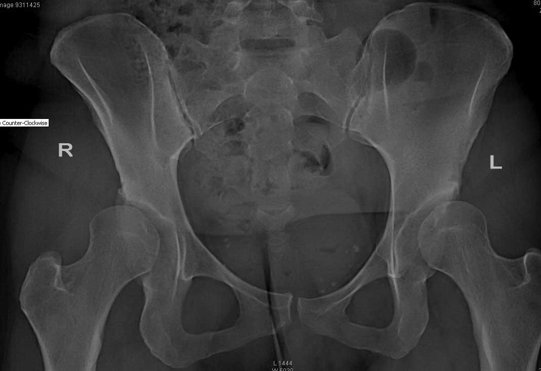
Пациентке 31 год. Р-гр прилагаю. Житель ЕС. консультировалась в Германии,Франции и Италии. могут выполнить протезирование но советуют поискать специалистов, занимающихся остеотомиями таза.

  • Сообщения о Ортопедия и травматология
  • Также Глазков Константин
  • Связаться с автором
  • Ответить

    Re: остеотомии таза при дисплазиях т\б сустава.
    Alexander Chelnokov 28 Сентябрь 2011, 08:17
    Периацетабулярными остеотомиями в современном воплощении (не тройными таза) в России, насколько мне известно, практически нигде не занимаются. Может, в ин-те Вредена начали.
    На прошлых Вреденовских чтениях эту тему впервые на серьезном уровне осветили, про эти операции был ряд докладов от тех, кто их сделал несколько десятков - J.Mast, C.Daub, K.Soballe... Может, к кому-то из них обратиться? Daub и Soballe - из Европы.
    [ Ответить ]

    • Re: остеотомии таза при дисплазиях т\б сустава.
      Отправитель: Глазков Константин 28 Сентябрь 2011, 15:15
      Александр Николаевич. Daub и Soballe - из Европы.
      А откуда конкретней не помните случаем.

      [ Ответить ]
    Re: остеотомии таза при дисплазиях т\б сустава.
    В.Машталов 28 Сентябрь 2011, 14:50
    На форуме есть такой специалист Джолдас Кульджанов
    Обратитесь к нему
    [ Ответить ]


    ( Ответить )

    Powered by Zope  Squishdot Powered MedLink
    Посетитель: 0015241
      "По форме правильно, а по существу - издевательство" В.И.Ленин
    ©2001-2019Orthoforum Coordinator.
    [ Главная | Отправить сообщение | Поиск | Админ ]