ВХОД ДЛЯ ПАЦИЕНТОВ
вверх
поиск
админ
главная
исходное
последующие
|
Re: перелом бедра
послал Djoldas Kuldjanov 23 Октябрь 2011, 11:11
|
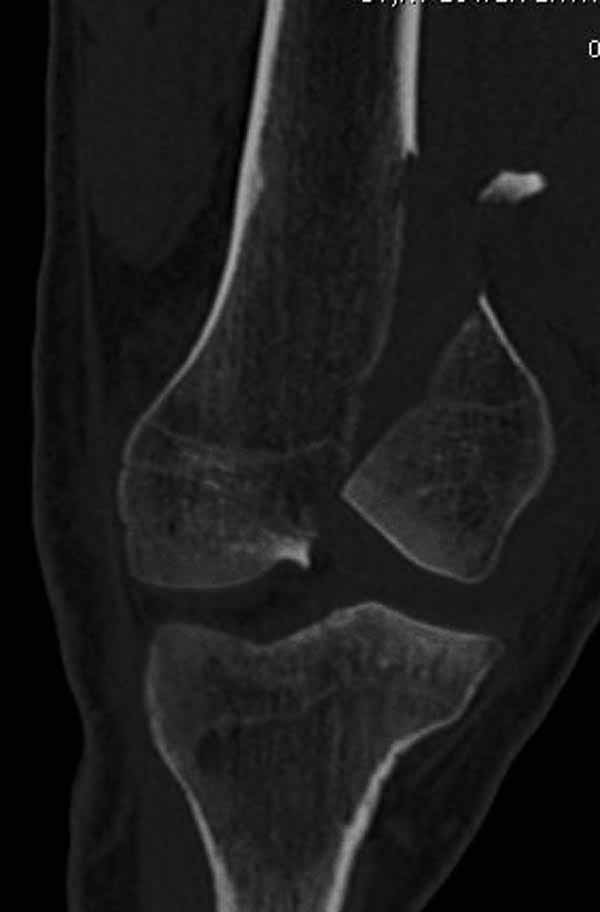
>Сразу не обратил ваше внимание именно на это, что сломаны оба мыщелка, и больший является именно медиальным мыщелком
Спасибо за то, что обратили наше внимание! Получилась неплохая шутка! Кстати, мы тоже проводим похожие трюки среди наших клинических ординаторов, т.е., усложняя задачу, наблюдаем за ходом их решения, и, как обычно, про такие подвохи предупреждаем заранее. В Вашем посте, кроме обрезанных снимков, никто не заметил Ваше желание играть в “угадайку”.
Если бы мы имели доступ к тем материалам, которые не были выставлены на сайте, возможно, без подсказки догадались бы, что находится слева или медиально. Неполная информация ведет к неправильной трактовке и к ошибочному выбору фиксаторов. Вместо коллегиальной дискуссии получается беспредметная трата времени. Поэтому высылая материал на любой клинический разбор, желательно подготовиться более профессионально, и предоставить всю информацию про данного больного.
А теперь по поводу лечения перелома. Среди всех чрез/меж-мыщелковых переломов в 38% сопровождются переломом в корональной плоскости, т.е перелом Hoffa. Nork et al, J Orthop Trauma, 87:564, 2005.
По снимку вроде одиночный простой мыщелковый перелом, и такой внутрисуставной перелом не обязательно дистрагировать на скелетном вытяжении, потому что не не нарушается непрерывность колонны с одной стороны. И для таких простых переломов подойдет любой метод: 95 градусная пластина, Lat. Condylar Butress пластина или ретроградный гвоздь. А для особых энтузиастов которые желают антеградную фиксацию, возможно легко найти трохантер у алкоголиков или дистрофиков. А вот у откормленных Макдональдскими гамбургерами? Если поискать у них тоже можно найти, но стоит ли?
У больных как в этом случае, с вовлечением двух мыщелков правильно, что сделали вытяжение до операции. Здесь имеется флексионный компонент на другой стороне, и я бы рекомендовал операцию делать из двух доступов. Сперва фиксировать медиальную колонну custom made пластиной, обычно 1/3 тубулярной пластиной в 4.5 мм, потому что пока производители опаздывают с медиальной пластиной.
Пластину надо устанавливать на апексе перелома, иначе фрагмент начнет сползать. А на второй стороне, если имеется большой одиночный фрагмент тогда проблем не бывает, и их можно собрать компрессирующими винтами. Проблема наступает тогда когда многофрагментраность на латеральной стороне, где надо применить комбинированный метод, иногда несколькими пластинами. Или сменой позиции установки пластины, чтобы максимально прикрыть перелом и создать боковую поддержку.
Случаи могут быть разными и варианты фиксации могут быть различными. Это не эталон фиксации, и не каждый метод является "золотым стандартом". А “золотым” считается, когда внутрисуставной перелом отрепонирован на отлично и зафиксирован адекватно. Если возможно закрыто - хорошо, а так не надо искать только легкий закрытый путь, зная анатомию можно открывать, сколько надо!

Здесь пример медиальной пластины и латеральный комбинированный метод (у второго больного старый перелом тибиал плато, леченный где то и когда то)
Djoldas Kuldjanov, M.D.
Associate Professor
Department of Orthopedic Surgery
St. Louis University<>
|
| Послать ответ |
Обратите внимание: Поля с жирными названиями обязательны.
Старайтесь отвечать в рамках обсуждаемой темы, а не начинать новые обсуждения.
Указывайте адекватную тему сообщения, чтобы было ясно, о чем оно.
Не послайте сообщений не по теме (оффтопик), раздраженных, грубых или обидных комментариев. Здесь это неуместно.
|