вверх
отправить
поиск
админ
главная
|
Стрессовый перелом лонной кости и нестабильный эндопротез с противоположной стороны. |
 |
 |
 |
Отправлено Бережной Сергей 29 Октябрь 2011, 02:50
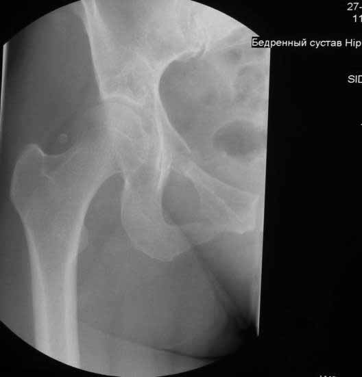
Уважаемые коллеги. Хотелось бы услышать мнения и советы по представляемому случаю. Пациентка 45 лет. Бесцементное эндопротезирование левого тазобедренного сустава 6 лет назад (впадина RM, Mathys, металл-металл, ножка Зульцеровская). За 10 лет до протезирования – коррегирующая остеотомия бедренной кости, которая не срослась в течение года до удаления пластины, а затем срослась в течение 3 месяцев иммобилизации в кокситной повязке. После протезирования получилось наблюдать пациентку почти постоянно, поскольку через 2 года синтезировал ей лодыжки на оперированной стороне, затем, через несколько месяцев удалил фиксаторы, а в 2009г. резецировал мениск на противоположной стороне. Боли все эти годы не беспокоили. Пациентка чуть выше среднего роста, вес тела нормальный. Физические нагрузки переносила хорошо. Работает на 7 этаже без лифта. Год назад экстирпация матки по поводу лейомиомы больших размеров. Несколько месяцев назад появились боли в области левого тазобедренного сустава. При рентгеновском и КТ исследованиях (июль с.г.) – нестабильность тазового компонента. От предложенной замены протеза пациентка на тот момент, слава богу, отказалась. Через какое то время боли в области левого тазобедренного сустава практически полностью прошли, а около 2 месяцев назад появилось ощущение патологической подвижности таза и боли в паху справа, которые через некоторое время уменьшились, а потом снова усилились после значительных физических нагрузок (много ходила по песку на пляже, носила тяжести). Ежедневно принимала диклофенак. На рентгенограммах – переломы правой лонной кости. Сейчас госпитализирована из-за болей в паху справа. Боли слева не беспокоят. На фоне снижения нагрузок в стационаре боли значимо уменьшились. Способна ходить без средств дополнительной опоры.В анализах крови чуть повышены трансаминазы и гамма-ГТ, моча без особенностей.
Вопросы: -правильно ли я расцениваю переломы как стрессовые на фоне неполноценного таза (pelvic insufficiency stress fractures)? -Можно ли так же расценить ситуацию на стороне протеза и, соответственно, не торопиться с ревизией, рассчитывая на вторичную стабилизацию? Уж больно не хочется менять ножку. -Если думать о ревизии, то когда? На представленных снимках тазобедренный сустав до и сразу после операции, затем 2 снимка 2009г., когда ничего не беспокоило, затем КТ 2-х месячной давности и вчерашние рентгенограммы обоих тазобедренных суставов.
<
|
>
|
|
Ответить
|
Re: Стрессовый перелом лонной кости и нестабильный эндопротез с противоположной стороны.
Руслан Токмаков 30 Октябрь 2011, 10:22
|
Здравствуйте Сергей. Мне кажется что основная причина заключается в гормональном фоне больной (в анамнезе лейомиома, возраст 45 лет). Может стоит переговорить с гинекологом-эндокринологом, а потом дальнейшая тактика. Мне так кажется.
|
[
Ответить ]
|
Re: Стрессовый перелом лонной кости и нестабильный эндопротез с противоположной стороны.
Каминский Андрей 30 Октябрь 2011, 11:35
|
Сергей, очень возможно, что перелом и стрессовый, но мне видится, что его причина в нестабильности чашки. Дело в том, что в отличии от ножек, чашка при своей дестабилизации болит гораздо меньше и больные терпят до последнего.
При сравнении рентгенограмм можно увидеть насколько чашка переместилась от места своего первичного расположения. От опрокидывания ее удерживают конструкционные элементы "рожки". Без них ситуация, возможно, уже была бы катастрофической (чашка в тазу). Думаю надежды на вторичную интеграцию, могут быть обмануты и ревизии не избежать.
Если говорить о ревизии, то просто не будет и вероятность установки реконструктивного кольца достаточно высока, однако можно попробовать установить бесцементную высокопористую (для вторичной стабилизации врастанием) чашку с винтами , а по ходу операции решить вопрос о необходимости стабилизации таза пластиной.
Вопрос о замене ножки зависит от ее стабильности и длины конечности. Если уже сейчас нога длиннее или после вмешательства центр ротации низведется - придется ногу менять.
вот так как-то. Удачи.
Андрей Каминский, зав отделением эндопротезирования (Ортопедия №8) РНЦ "ВТО" им.Г.А.Илизарова.
|
[
Ответить ]
|
Re: Стрессовый перелом лонной кости и нестабильный эндопротез с противоположной стороны.
Rashid Tikhilov 30 Октябрь 2011, 12:15
|
Уважаемый Сергей,
Похоже Вы правы,это напоминает перегрузочный перелом, но вопрос о его причине остается открытым, просто ли это избыточная нагрузка на правую половину таза вследствие нестабильности чашки слева и ограничение нагрузки на левую половину, либо это гормональные изменения, приведшие к изменению метаболизма и перелому. Я бы дождался консолидации и поставил вопрос о замене чашки. Молодая женщина, 45 лет, пока еще можно обойтись достаточно простой манипуляцией, если процесс начался, его не остановить, но дальше будет намного сложнее.
С уважением, Р.Тихилов
|
[
Ответить ]
|
Re: Стрессовый перелом лонной кости и нестабильный эндопротез с противоположной стороны.
Др.Бахтамян из Еревана 31 Октябрь 2011, 00:52
|
Уважаемы Др. Бережной ,
Не подумайте, что я в этом деле "дум-дум", но действительно ли этот протез metal-on-metal?
А может все-таки (если имеется полиэтиленовый вкладыш) - это банальный polyethylenе wear debris, приведший к асептическому расшатыванию и т.п.?
Плюс "забросайте" вопросами оперирующего гинеколога, а может это была не лейомиома. Я бы посоветовал взять щелочную фосфатазу и сделать денситометрию.
Но... Тотальный протез тазобедренного сустава в 39 лет у активного человека и служащий 6 лет - не очень и плохо.
Пока предлагаю простейшее решение - ск.вытяжение слева на 4-6 недель, к концу срока что-нибудь прояснится!
Забыл - Вы делали тогда ацетабулярную пластику трансплантатом ?
|
[
Ответить ]
|
Re: Стрессовый перелом лонной кости и нестабильный эндопротез с противоположной стороны.
Отправитель: ohm 01 Ноябрь 2011, 13:37
|
Уважаемый Др. Бахтамян.
Если внимательно посмотреть на рентгеновские снимки, то видно, что пара трения действительно металл-металл.
|
[
Ответить ]
|
Re: Стрессовый перелом лонной кости и нестабильный эндопротез с противоположной стороны.
Отправитель: Др.Бахтамян из Еревана 02 Ноябрь 2011, 16:21
|
Да-да, я так и подумал, когда в первый раз увидел снимки. "Оказалось, что не казалось"! :)
|
[
Ответить ]
|
|
Re: Стрессовый перелом лонной кости и нестабильный эндопротез с противоположной стороны.
Бережной Сергей 01 Ноябрь 2011, 23:18
|
Уважаемые коллеги, спасибо за ответы.
Несколько слов в дополнение. Еще раз подробно расспросил пациентку о возможных причинах появления болей на стороне протезирования. Она однозначно связывает их с конкретной физической нагрузкой: в спешке взбежала на 5-й этаж с пятилетним ребенком на руках. Через 2-3 дня появились сильные боли.
Пара трения точно металл-металл, лечение на скелетном вытяжении нами практически не применяется и в данном случае не обсуждается. Контрольные снимки планируем выполнить через 6-8 недель, постараюсь представить их на форум. Сейчас пациентка выписана по месту жительства. По получении результатов рекомендованного эндокринологом обследования ей будут даны рекомендации по медикаментозному лечению.
|
[
Ответить ]
|
Re: Стрессовый перелом лонной кости и нестабильный эндопротез с противоположной стороны.
Др.Бахтамян из Еревана 02 Ноябрь 2011, 16:31
|
Уважаемый Др.Бережной,
Я предлсгаю вытяжение с целью обеспечения консолидации. А затем все, если останется болевая симптоматика - ревизия, без спешки и т.д.
У Вас CellSaver применяется в операционной ?
|
[
Ответить ]
|
( Ответить )
|
|