Ответить
|
Re: Деформация стопы
Бережной Сергей 11 Ноябрь 2011, 21:48
|
Чтобы точнее ответить на Ваш вопрос, нужно знать, каковы основные жалобы пациента. Беспокоит ли его что-то, кроме варусного отклонения большого пальца? Является ли фиксированной деформация латеральных пальцев? Есть ли натоптыши на подошвах? Есть ли симптомы периферической нейропатии (был ли поврежден при заборе вен какой-нибудь нервный ствол)? Вполне возможно процесс идиопатический, а не ятрогенный. В любом случае, в таком возрасте и через 5 лет после начала заболевания расчитывать на успех сухожильнокапсульных пластик сложно. Наиболее вероятный вариант - артродез 1 плюснефалангового сустава. Если латеральные пальцы выпрямятся при установке на место большого, артродезом можно ограничиться, если нет - будет зависеть от того, какие пальцы не стали на место и сколько им не хватает. Вариантами могут быть медиальные капсулотомии плюснефаланговых суставов или укорачивающие остеотомии основных фаланг или плюсневых костей. И нужно помнить, что артродез достаточно травматичная операция для пациента с возможными сосудистыми нарушениями. Минимум железа. Лучше всего 2 внутрикостных винта (без головок). И деликатное отношение к мягким тканям.
|
[
Ответить ]
|
Re: Деформация стопы
Олег 19 Ноябрь 2011, 00:06
|
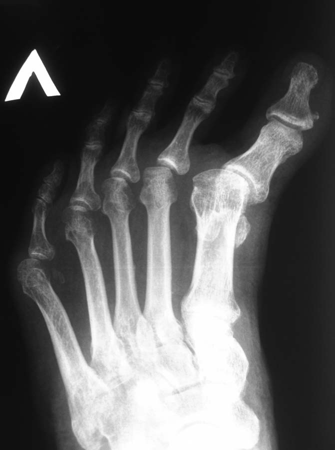
Могу сообщить из личного опыта. Больной 65 лет, страдает артрогрипозом. Стопы не оперированы. Рентген аналогичный. Деформация стопы многокомпонентная многоплоскостная: эквино-поло-варусная, приведение переднего отдела, варусная когтеобразная деформация 1 - 5 пальцев.

Выполнено:
1) удлинение ахиллова сухожилия по Байеру;
2) Z-обр. удлинение сухожилия задней большеберцовой мышцы, транспозиция сухожилия передней большеберцовой мышцы на наружный край стопы;
3) пересечён подошвенный апоневроз;
4)Z-обр. удлинено сухожилие длинного сгибателя 1 пальца, тенотомия сухожилия сгибателей 2 - 5 пальцев;
5)транспозиция сухожилия длинного разгибателя 3 п. на длинный разгибатель 2 п. с удлинением, транспозиция короткого разгибателя на длинный 3 п. с удлинением;
6) капсулотомия 2 - 3 ПФС, круговой релиз 1 ПФС;
резекция основания проксимальной фаланги 1 п.
Фиксация 1 - 5 пальцев осевыми спицами. Лонгета. Ближайший результат на фото (операция 8 дней назад).
|
[
Ответить ]
|
Re: Деформация стопы
Отправитель: Анатолий 19 Ноябрь 2011, 14:20
|
Олег! Что за рана в области 1 ПФС через 8 суток после операции? На фото четко не вижу, но, по-моему, в ране- головка плюсневой кости?!
|
[
Ответить ]
|
Re: Деформация стопы
Отправитель: Олег 19 Ноябрь 2011, 22:44
|
Фото на операционном столе, рана в области 1 ПФС ещё не зашита. Постараюсь выложить новые фото по мере заживления.
|
[
Ответить ]
|
|
( Ответить )
|
|