Ответить
|
Re: несращение грудины
Александр Плащинский 28 Январь 2012, 15:08
|

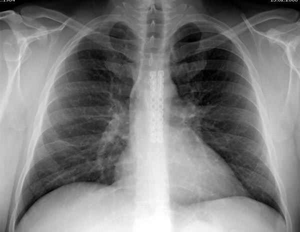
Sorry основной снимок
|
[
Ответить ]
|
Re: несращение грудины
Alexey Semenisty 29 Январь 2012, 01:20
|
Если отвлечься от "основного" снимка, насколько у пациента выражены жалобы, и что ему сильнее мешает жить - снимок или что-то другое? Александр, не торопись с иссечением рубцов и остеосинтезом грудины - неблагодарное это дело, проволоку удалить можно.
|
[
Ответить ]
|
Re: несращение грудины
Шведовченко Игорь Владимирович 29 Январь 2012, 17:00
|
Уважаемый Александр. Несколько месяцев назад нечно подобное демонстрировалось на сайте Курганского центра им. Илизарова. Попробуйте связаться с ними и посоветоваться.
|
[
Ответить ]
|
Re: несращение грудины
Александр Плащинский 29 Январь 2012, 21:43
|
Алексей Юрьевич, Игорь Владимирович спасибо за рекомендации. Больного беспокоят боли в области грудины, в покое менее интенсивные. Постоянно принимает анальгетики. Это и послужило основанием для оперативного лечения.
|
[
Ответить ]
|
Re: несращение грудины
Djoldas Kuldjanov 02 Февраль 2012, 00:40
|

В большинстве ложные суставы грудины встречаются в практике кардиохирургов, а в поле зрения ортопедов попадают совершенно случайно; в междисциплинарных консультациях или кто-то из знакомых, когда имеют проблему после кардиологических вмешательств. Интересно отметить, что в отличие от ортопедических больных кардиологические больные очень редко жалуются на работу хирурга. Дискомфорт в области грудины большинство принимают за малую проблему, и если обращают внимание, тогда терапию заканчивают назначением анальгетиков.
В отличие от взрослых дети на проблему грудины реагирует по-другому, особенно у кого операция сделана в раннем детстве. В одной из поездок пришлось консультировать оперированную девочку 11 лет после врожденного порока, и из-за натяжения во время операции одна из половин грудины оказалась под другой. В течение короткого времени рост скелета изменил баланс мышц и привело к типичной, как при кривошее, деформации передней стенки груди с дисторсией лицевого черепа.
В образовании ложного сустава имеет значение метод фиксации, и проволочная фиксация уступает современным имплантам для плоских костей. При беседе с кардиохирургами выяснилось, что ложный сустав развивается в основном из-за прорезывания фиксирующего материала, а также из-за раневой инфекции. Поэтому многие кардиохирруги отошли от традиционных методов и перешли к современным имплантам. Вместе одиночных швов накладываю,т "восьмерку" проволокой или применяют различные пластины.
Мой опыт небольшой, и один из случаев выставлял на Ортофорум пару лет назад. Те ложные суставы, которые пришлось наблюдать, несмотря на малую подвижность, имели более выраженный болевой синдром, и симптомы проходили после создания стабильности. Фиксацию посттравматического ложного сустава провели совместно с торакальным хирургом установкой двух пластин Synthes 2.4 мм, применяемых в челюстно-лицевой хирургии. Блокировка получилась за счет однокортикальных коротких шурупов, которые создали профилактику пенетрации сверлом в средостение.
В сообщении из Курганского центра, надеюсь, описан обычный метод, но зная репутацию центра, не удивлюсь, если лечение проведено аппаратом. Мне кажется крайне-экстраординарные решения или публичные показы филлигранной “Bloodless” Илизаровской техники являются приемлемыми там, где ограничен доступ к современным материалам. Чем ближе работа к сердцу, те выше риск операции, и при наличии менее инвазивных технологий внутренней фиксации применение наружных фиксаторов считаю “монструозным”.
|
[
Ответить ]
|
Re: несращение грудины
Александр Плащинский 04 Февраль 2012, 21:49
|
Djoldas, огромное спасибо за (как всегда) великолепную, лаконичную информацию. Мы пошли путем рекомендованным Алексеем Семенистым. Просто убрали всю проволоку из грудины. После операции прошло всего три дня и рано судить о результатах. Сегодня перевязал этого больного. Жалоб на сильные боли пациент не высказовал. В дальнейшем если к нам придет с жалобами на подвижность орломков грудины и сильные боли - будем делать остеосинтез.
|
[
Ответить ]
|
Re: несращение грудины
Шведовченко Игорь Владимирович. 05 Февраль 2012, 03:05
|
МОНСТРУО́ЗНЫЙ, монструозная, монструзное; монструозен, монструозна, монструозно (·франц. monstrueux) (·устар. или ·шутл. ). Являющийся монстром, чудовищно-уродливый в физическом или нравственном отношении/
Уважаемый Джолдас, я вставил это определение из Яндекса на для того, чтобы обвинить Вас в чем то, а чтобы на Вашем примере призвать молодежь к более аккуратному использованию слов!
Удивляюсь, что коллеги из центра Илизарова спокойно восприняли Ваш комментарий, особенно пассаж "Мне кажется крайне-экстраординарные решения или публичные показы филлигранной “Bloodless” Илизаровской техники являются приемлемыми там, где ограничен доступ к современным материалам. Чем ближе работа к сердцу, те выше риск операции, и при наличии менее инвазивных технологий внутренней фиксации применение наружных фиксаторов считаю “монструозным”.
Я думаю, Вы немного отстали от жизни, сегодня крупные ортопедические центры имеют полный доступ к современным материалам и относятся к имеющимся возможностям критическим. Особенно применительно к указанному случаю, при котором я бы пошел на одномоментную реконструкцию с демонстрируемыми Вами фиксаторами только с кардиохирургом, который оперировал больного первично. Встретить в межотломковом рубце можно все, что угодно!
|
[
Ответить ]
|
Re: несращение грудины
Отправитель: Djoldas Kuldjanov 18 Февраль 2012, 06:39
|
Приятно получить сообщение от уважаемого мною специалиста, который наряду с Р.Тихиловым является активными участниками в дискуссиях на Ортофоруме. Конечно участие в дискуссии не входит в служебные
обязанности, но когда на вопрос отвечает эксперт из высшего эшелона Ортопедии страны, намного приятнее получить ответ. К сожелению, многие без причины прекращают участие, теряя возможность обучиться, а также обучить тому, чем владеешь.
Уважаемый Игорь Владимирович, поддерживаю Вашу инициативу обучения молодежи в аккуратности выступлениях и благодарю за своевременное предупреждение о недопущении неформальной лексики в комментариях.
Такие выступления независимо от ранга не красят любого, и я обещаю соблюдать профессиональный лексикон в моих выступлениях.
А по поводу “Вы немного отстали от жизни”, и если имеется ввиду материальные оснащения крупных центров, то Вы правы. У меня нет полной информации, и я рад за крупные центры. Надеюсь, это только начало и со временем доступ к современной технологии будут иметь все остальные
центры (ортопедические отделения) страны.
По поводу преждевременнего комментария еще раз сожалею, что так получилось, и, надеюсь, коллеги из Кургана не обижены на призыв обсудить альтернативные варианты. Тем более, имея доступ к современной технологии, они смогут доказать ошибочности моей реплики.
Насчет того что “встретить в межотломковом рубце можно все, что угодно” с Вами согласен, и это как раз пугает нас, ортопедов. Непривычная обстановка для нас, и, тем более, сложных хронических больных намного легче оперировать совместно с торакальными службами.
А по поводу последнего поста, у меня отстутствует опыт лечения "крючками в тело грудины" и поэтому воздержусь от комментариев...
|
[
Ответить ]
|
|
Re: несращение грудины
Екимов Михаил 05 Февраль 2012, 22:51
|
Добрый вечер, уважаемые Коллеги! Хочу поделиться опытом лечения ложных суставов грудины, осложнённых хроническим остеомиелитом. Все пациенты после аортокоронарного шунтирования. Фиксация грудины осуществлялась лавсановыми нитями. Основная проблема заключается во флотации грудины и необходимости применения аппаратов внеочаговой фиксации. Предложенный аппарат прост и состоит из комплектующих аппарата Илизарова и эндокорректора позвоночника Роднянского -Гупалова (именно крючки,которые фиксируются за дужки позвонков при сколиозе). Крючки вводятся в тело грудины посредством инструментов, которые предназначены для установки эндокорректора. Аппарат позволяет дать нужную компрессию, исключить флотацию и добиться сращения грудины. Предварительно делается полноценная санация очага остеомиелита. В одном случае производилась костная аутопластика из гребня подвздошной кости - был большой диастаз.
Два пациента наблюдались по поводу замедленного сращения после стернотомии, но без гнойных осложнений. Оперативное лечение не применялось. Только через год прекратилась флотация грудной клетки.
Опыт оперативного лечения то же небольшой - оперировл троих пациентов по данной методике.
У всех удалось добиться сращения грудины и заживления раны. Фиксация аппаратом осуществлялась до 3-х месяцев.
Вот такой опыт.
|
[
Ответить ]
|
Re: несращение грудины
Paul 11 Февраль 2012, 10:52
|
Не удивительно, что у многих практикующих врачей были случаи встречи с подобными пациентами. Было несращение грудины после стернотоми по поводу АКШ. В период планирования операции выяснилось, что хирурги, для геостаза используют воск (пломбируют спонгиозную масу грудины). Предложил остеосинтез спицами и проволочной петлёй, на нескольких уровнях. "Мудрый" анестезиолог просто струсил и отменил операцию.
|
[
Ответить ]
|
Re: несращение грудины
Александр 15 Август 2016, 17:09
|
Как сейчас обстоят дела в этой области? Что-то изменилось у кардиохирургов? По моему несращение так и остается у них основной проблемой. Почему не накладывать 2-3 восьмерки по Веберу? Почему не используют перклот и другие кровоостанавливающие средства, а обжигают распил грудины и замазывают его воском? Почему вообще мы не разу не собрались с ними обсудить эту тему?
|
[
Ответить ]
|
( Ответить )
|
|