вверх
отправить
поиск
админ
главная
|
Отправлено Maxim Agalakov 09 Апрель 2013, 17:17
Уважаемые коллеги, я понимаю, что уже утомил вас оперированными стопами, но помогите еще с одним случаем Женщина около 50, активная, оперирована 1 год назад. Тип остеотомии в выписке не указан (похоже с 1-го по 5-ую + фаланги). Сожалею. что фото стопы не удалось выложить, клинически - выраженная девиация всех пальцев стопы слева. Что предпринять? Латеральный релиз, утягивание (лучшего синонима не нашел) медиальной капсулы+остеотомии 4-5 с нормальной повязкой? 1-ый луч - SERI (для жесткости остальных- к нему притянуть), но, головка и так скомпроментирована (или это не брать в расчет?)+ освежение ложняков+ коррегирующая остеотомия 4-5 Weil с фиксацией винтом (или без фиксации?). С фалангами что делать? Кажется, что ничего?
<
|
>
|
|
Ответить
|
Re: опять стопа
Бережной Сергей 11 Апрель 2013, 09:55
|

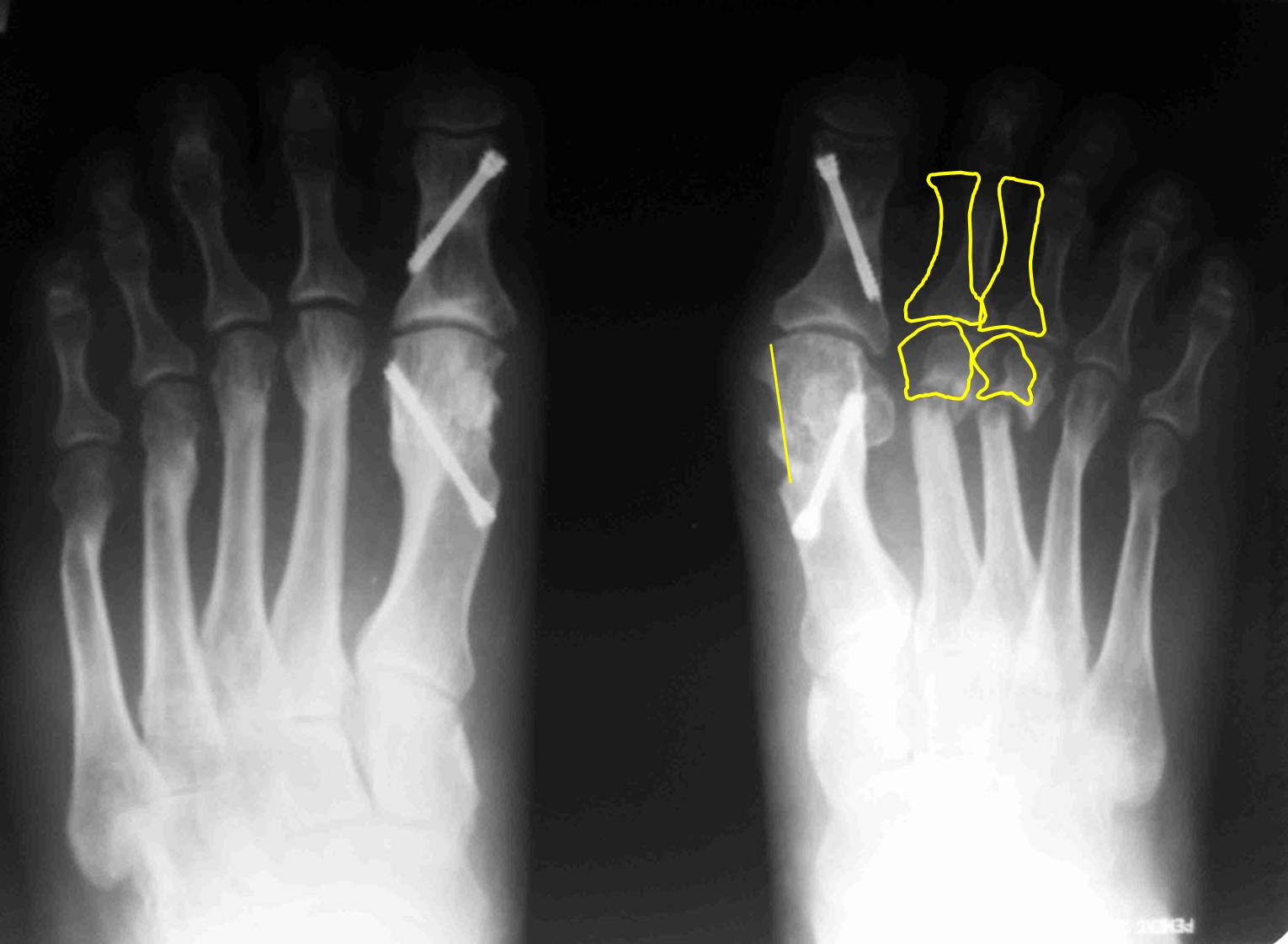
А чего Вы притесняетесь? Насчет "утомил вас оперированными стопами". Такая же ортопедия, как и вся остальная, обсуждаемая на форуме. Да еще сложный ревизионный случай. Изначально то все здорово было. Так бывает, к сожалению, когда все вроде правильно сделано, а в результате не складывается. Почему-то 2 из 10 плюсневых не срослись. На прошлогодней конференции AOFAS был доклад о неудачах после операций на стопе, в котором авторы выделили группу «нестрастальщиков»: пациентов, которые не срастаются без очевидных причин для этого. Может и здесь подобный случай. Из предложенного Вами плана не ясно, зачем делать SERI? Ее ведь сделали год назад. Только не стандартный вариант с фиксацией спицей, а более сложный, с внутренней фиксацией. Возможно, в этом была причина избыточной латерализации головок: подошвенные пластинки 1 и 2 плюснефаланговых суставов тесно связаны. Слишком радикальное уменьшение первого межплюсневого угла за счет латерального смещения головки первой плюсневой привело к дестабилизации нефиксированных остеотомий 2 и 3 плюсневых. И если сейчас еще больше переместить головку первой плюсневой кнаружи, это только усугубит ситуацию. На схеме я показал, в каком положении окажутся 2 и 3 пальцы в случае репозиции головок их плюсневых: расстояния между 1 и 2 лучами итак практически не остается. Я бы в данном случае подровнял внутренний контур головки 1 плюсневой, удалил винт из основной фаланги, выполнил латеральный релиз 1 плюснефалангового, эйкиноподобную остеотомию основной фаланги 1 пальца; репозицию головок 2-3 плюсневых с фиксацией их головок спицами на 4-6 недель и положив в область ложных суставов костную аутостружку или какой-нибудь искусственный заменитель кости. Если при этом пальцы не станут ровнее – выполнил бы остеотомии основных фаланг соответствующих пальцев. Без вмешательства на 4-5 плюсневых.
|
[
Ответить ]
|
Re: опять стопа
Отправитель: maxim agalakov 11 Апрель 2013, 19:36
|
В плане типа SERI -я размышлял в том смысле, что попробовать особо не сдвигая, а может и не пересекая полностью-создать некую шину, чтоб к ней притянуть остальные после лат релиза, почему-то они не срослись, может не хватило стабильности (дефект повязки?)?. С 2-3 более менее понятно. Азачем еще один Akin на о/ф 1? Почему не ннадо вмешиваться на 4-5, как кажется, они немного неправильно срослись, во всяком случае, клинически. А в принципе, зачем изначально остеотоми о овать было 5, если очевиных проблем не было?
PS ничего зазорного в стопах не вижу, просто как-то прохладно относятся к этим темам ( кроме Вас ес-но, за что-Большое спасибо! ). Потому всегда сомневаюсь, может о чем сильно очевидном спрашиваю?
Еще раз спасибо!
|
[
Ответить ]
|
Re: опять стопа
Отправитель: Бережной Сергей 12 Апрель 2013, 01:29
|
-почему-то они не срослись, может не хватило стабильности (дефект повязки?)-
Уверен, что оперировавший хирург очень хорошо умеет накладывать повязки.Причина в другом.
-А зачем еще один Akin на о/ф 1?-
Фото стопы Вы не представили. Но написали, что имеется девиация всех пальцев слева. Я и подумал, что нужно исправить. Даже если 1 палец сильно не отклонен, он ведь не позволит, находясь в сегодняшнем положении, занять нужное положение латеральным пальцам.
-зачем изначально остеотомировать было 5, если очевиных проблем не было?-
Чрескожные остеотомии латеральных плюсневых часто делаются с целью профилактики переходной метатарсалгии. Сколько плюсневых и в каких случаях пересекать - отдельная тема. Но есть хирурги, которые пропагандируют остеотомию всех латеральных плюсневых костей в качестве рутинной операции.
|
[
Ответить ]
|
|
( Ответить )
|
|