вверх
отправить
поиск
админ
главная
|
Отправлено Абдурашид 21 Май 2013, 00:13
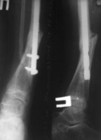
Уважаемые коллеги! помогите советом! Мальчик 2000 г.р. В 2007г получил перелом н/з костей правой голени, в районе лечили гипсом 6 месяцев, сращения нет, в обл.центре КДО аппаратом Илизарова - 3 месяца, после повторная деформация, в НИИТО КДО аппаратом Илизарова -7 месяцев, перелом якобы сросся, но после снятия аппарата через 2 недели после незначительной травмы повторный перелом. И родители начали лечиться у различных табибов и знахарей, мальчик не наступал, ходил с двумя костылями, одели различные ортезы и повязки, и нога сильно атрофировалась.(Мне кажется у ребенка был врожд. ложный сустав, латентная форма) , и в 2011 г, в октябре обратились к нам. , было произведена после рассверливания канала БИОС плечевым стержнем,но стержень пошел по мед.стенке дистального отломка поэтому остался некоторый вальгус(операция без ЭОП) ребенок через неделю начал самостоятельно ходить, клинически деформации нет, все обрадовались, выписали, повторно приехали только ч-з 1,5 года вот с такой деформацией, но ребенок ходит в школу, бегает, незначительно хромает, родители требуют исправить деформацию. Пока в голове один план: удалить стержень, закрытая остеоклазия, аппарат Илизарова из двух колец постепенная коррекция деформации, рассверливание к/м канала, БИОС плечевым стержнем (чуть длиннее), дистально по латеральному кортексу с использованием поллерных винтов и спиц. С уважением Абдурашид.
<
|
>
|
|
Ответить
|
Re: Осложнение после БИОС
Илья 21 Май 2013, 13:30
|
А может попробовать фиксацию TENом?
|
[
Ответить ]
|
Re: Осложнение после БИОС
Виктор Филипчук 21 Май 2013, 22:51
|
Уважаемый Абдурашид!
Возможно у ребенка нейрофиброматоз (2 тип, Реклингаузен).Посмотрите "кофейные пятна" на коже.
Возможно в 2007 патологический перелом "предложного сустава".
С уважением, Филипчук.
|
[
Ответить ]
|
Re: Осложнение после БИОС
Данила Курышев 22 Май 2013, 03:20
|
Здравствуйте!
По моему мнению не важно, думаете ли Вы о лврождённом ложном уставе или о приобретённом. Гвоздь сделал своё дело и должен быть удалён. Думается, будет не лишняя частичная резекция большеберцовой кости в проблемном месте и транспозиция васкуляризованного фрагмента малоберцовой кости. Я бы стабилизировал это всё LC-DCP винтами с угловой стабильностью.
А как вы проводили гвоздь? Есть ли картинка проксимального отдела голени? Там всё в порядке?
С уважением.
|
[
Ответить ]
|
Re: Осложнение после БИОС
Отправитель: Абдурашид 22 Май 2013, 18:59
|

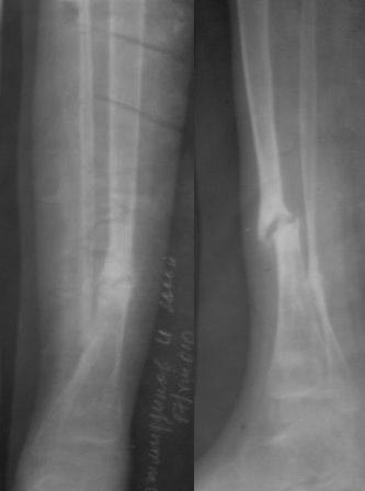
Сегодня сделал рентген, гвоздь сломался, видимо, усталостный перелом. Гвоздь и сломанная часть легко удалены, пока дистракционный остеосинтез аппаратом Илизарова, и будем постепенно исправлять деформацию. микрохирургия не доступна, оказалось, родители и повторный БИОС не могут из-за финансов,у читывая что ложный сустав не атрофичный и даже несколько гипертрофичный может продолжать аппаратное лечение? Или еще какие варианты? ,будем думать.
С уважением Абдурашид.
|
[
Ответить ]
|
|
Re: Осложнение после БИОС
Сергей 22 Май 2013, 09:05
|
Речь без сомнения идет о врожденном ложном суставе, что видно на рентгенографии и клинически. Данные переломы и деформации будут беспокить мальчика пока не завершится рост костей, оперируя либо с поммощью апп. Илизарова или интрамедулярным остеосинтезом, больший опыт накоплен сотрудниками РНЦ ВТО им. акад. Илизарова, где сам Илизаров начинал эту тему. Стоит сказать лишь одно, при врожденном ложном суставе происходить некие изменения с a.Nutricia, что мы видели на МРТ и КТ и её полное отсутсвие в н/3, и фиброзное перерождение концов отломков и большое рубцеобразование вокруг ложняка. В данном случае не стоит рассверливать и имплантировань в костномозговой канал металлические стержни для фиксации. Лучше выбрать ЧКО, литература в библиотеках. Удачи.
|
[
Ответить ]
|
Re: Осложнение после БИОС
Отправитель: Абдурашид 02 Июнь 2013, 00:23
|

Контрольная Р-грамма на аппарате Илизарова после дистракции, теперь видимо придется стабилизировать аппарат после устранения остаточных деформаций.
С увважением Абдурашид.
|
[
Ответить ]
|
|
( Ответить )
|
|