Ответить
|
Re: Два протеза или .........?
Дмитрий 07 Июнь 2013, 14:12
|
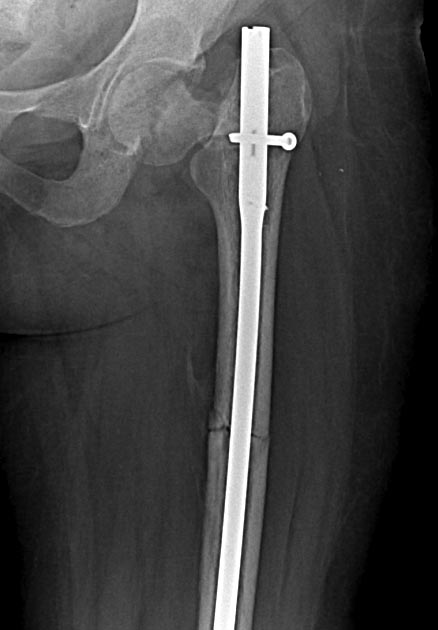
Удаление винтов и эндопротез. С другой стороны - эндопротез после консолидации диафиза и удаления штифта. С учетом молодого возраста пациентки можно поставить керамические пары. Мне видется, что такой выход оптимален.
|
[
Ответить ]
|
Re: Два протеза или .........?
Александр Ангельский 07 Июнь 2013, 21:13
|
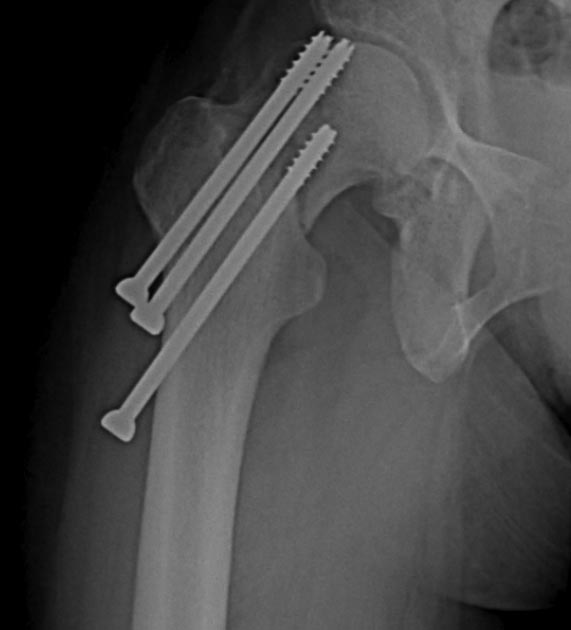
Да интересный случай. Согласен с Вашей тактикой в целом. В частности следующее. Справа шел бы сразу на протез. Слева LCP пластина на бедро и также протез. Из деталей рассмотрел бы вопрос о коротких ножках с керамической парой трения с учетов молодого возраста пациентки ( NANOS (Smith&Nephew), Proxima (DE Puy) и им подобных, которые есть у каждой фирмы). Справа можно поставить Biomet короткая ножка,при установке LCP femur plate. Она у них как нормальная только длина подрезана поэтому сложностей с установкой быть не должно ( в отличие от 2 вышеупомянутых). Справа тем не менее можно поставить и обычную ножку - возможно лучше с прямоугольным сечением - зазор для винов возможен, хоть и призрачный, но всё же. Обычная ножка возможна с учетом что от шейки мало что осталось, но тогда при установке пластины проксимальные винты провести монокортикально, там где возможен конфликт с ножкой протеза или взять пластину для перипротезных переломов с эксцентричным расположением винтов, или перевернуть метафизарно-диафизирную пластину ( там тоже эксцентричные отверстия), естественно помня о правиле 3-4 кортикалов для блокированных вннтов при подборе длины. Единственно не забыть о уже нарушенном внутрикостном кровообращении и планируемом нарушении периостального питания кости. Хоть и стоит на гвозде диафизарный перелом на картинке аккуратно. При выборе окончательного решения в наборе имплантов исходя из Ваших возможностей желательны тщательные промеры предоперационного планирования.
С пожеланиями успеха, Ангельский Александр.
|
[
Ответить ]
|
Re: Два протеза или .........?
Alexander Chelnokov 07 Июнь 2013, 21:55
|
Возраст уж больно мал для протезов. Мы бы с обеих сторон начали с попытки реконструктивной операции. Валгизирующая остеотомия, гвоздь... Деталей много, но надо бы дообследовать рентгенологически. Если готовы к нам отправить, квоты дадут - присылайте.
|
[
Ответить ]
|
Re: Два протеза или .........?
Sereda Andrey 08 Июнь 2013, 01:29
|
Справа имеет смысл остеоcинтез переделать, причем в первую очередь. А слева я бы подождал.
|
[
Ответить ]
|
Re: Два протеза или .........?
Отправитель: Alexander Chelnokov 08 Июнь 2013, 02:49
|
А подождал бы - до какого момента?
Вроде проблема слева вполне очевидна, вполне можно приступить к ее решению.
|
[
Ответить ]
|
Re: Два протеза или .........?
Отправитель: Andrey Sereda 09 Июнь 2013, 01:10
|
Слева проблема очевидна, но решение неочевидно.
Пластина + короткая ножка = долгое время неопорная конечность. При том что справа после реостеосинтеза ноша тоже неопорна. Какой смысл делать сейчас остеосинтез пластиной и эп короткой ножкой, если перелом диафиза может срастись и мы сделаем нормальное протезирование на том же сроке вторым этапом?
Вариантно можно синтезировать длинной конической ножкой типа Вагнер ревижн или Solution - вот вам и рассверливание, только остеосинтез нединамический. Может не срастись, и мы получим очень проблемную ревизию ножки.
|
[
Ответить ]
|
Re: Два протеза или .........?
Отправитель: Alexander Chelnokov 09 Июнь 2013, 01:13
|
27 лет, головка сферична, впадина хорошая - какая не то что длиная коническая ножка, а и вообще - чего сустав не попытаться свой сохранить?!
|
[
Ответить ]
|
Re: Два протеза или .........?
Отправитель: Andrey Sereda 09 Июнь 2013, 01:46
|
Я рассуждаю с колокольни маленького эндопротезиста. Попытки сохранения сустава нам дают только проблемы.
|
[
Ответить ]
|
Re: Два протеза или .........?
Отправитель: Alexander Chelnokov 09 Июнь 2013, 01:54
|
Эндопротезсты встречаются только с теми, у кого попытки сохранить сустав были неудачными. А те, у кого проблема решилась реконструктивной операцией, повода зайти к ним показаться не имеют. Вот и складывается впечатление, что их нет.
|
[
Ответить ]
|
Re: Два протеза или .........?
Отправитель: Ангельский Александр 09 Июнь 2013, 13:35
|
Почему же пластина + короткая ножка = долгое время неопорная конечность? Во первых уже прошло с момента остеяосинтеза гвоздем 5 месяцев, во вторых блокированная пластина позволяет раннюю нагрузку, на короткой ножке нагрузка возможна через месяц по рекомендациям производителя в полном объёме. Если делать последовательно например как вариант (хотя возможно и в другом порядке - решение и думы хирурга): 1 операция- удаление гвоздя + остеосинтез пластиной, одновременно или через 2-3 недели протез на другой стороне, через месяц протез со стороны пластины, через месяц полная нагрузка. Итого выигрываем в плюс к 5 еще 2, 5 месяца - итого 7,5 -8 месяцев на бедре с момента перелома. В условиях LCP бедра вполне хороший срок. Пластинку желательно ставить максимально малоинвазивно, не открывая зону перелома. Это как вариант, но можно все и за одну операцию. Хоть срок и поменьше но нагрузку на бедро синтезированное LCP plate вполне возможна сразу как пациент способен. Хотя если Ваша пациентка в 27 лет весит 130 кг тогда конечно можно поостеречся. Кстати а сколько весит пациентка?
Адекватный ли психостатус. Умные операции для умных. Изначально я размышлял исходя из среднестатистического пассажира автомобиля. Но если ошибся, внесите поправку.
|
[
Ответить ]
|
|
Re: Два протеза или .........?
Каминский Андрей 09 Июнь 2013, 09:32
|
Доброго времени суток. За правый (с винтами) надо бороться. Вальгизирующая остеотомия позволит и перелом срастить и скомпрометированный участок головки выведет из под нагрузки. А вот с другой стороны (с гвоздем) перспективы сохранения головки сомнительные, тем более на таком сроке. Головка резко порозная. Тут можно дождаться консолидации диафиза и протезировать потом чем угодно.
Удачи.
Каминский Андрей,г.Курган
|
[
Ответить ]
|
Re: Два протеза или .........?
Maxim Agalakov 10 Июнь 2013, 14:13
|
Я за два протеза. на мой взгляд, остеотомия - здесь не лучший вариант, скорее всего слишком мало контакта в зоне перелома. Здесь ведь нет по сути варусного коллапса, скорее сдвиг и ротация, какой будет ШДУ после остеотомии, близкий к 180? Скорее всего получим тугой ложный сустав с ожидаемыми проблемами при протезировании. Что касается левой половины, то все варианты уже обсудили. Единственное, не стал бы рассматривать ревизионные ноги в принципе (возраст!) и Proxima (от нее вроде сами DePuy отказались), для остеосинтеза можно использовать пластину для перипротезных переломов (у Zimmer есть симпатичная)
|
[
Ответить ]
|
Re: Два протеза или .........?
В.Машталов 11 Июнь 2013, 09:01
|
Слева к коротктй ножке просится ретроградный гвоздь с рассерливанием ( мерил- помещается.), или стандарная ножка с уральским опорным гвоздем ( методика при перипротезныз переломах Челнокова и К) возможно-ли ?
Но как выжавают короткие ножки.? Вопрос на колокольню разновеликих эндопротезистов.
Справа ( где винты0 вера в реконструкцию еще есть, но слева мне кажется шансов кроме ЭП нет.
Да, больная адекватная, вес 65-70 кг, хочет жить и радоваться жизни. Хотелось бы в ближайшее время сделать опороной хоть одну ногу,.
27 лет- Вагнер?.. а что дальше .
Если справа реконструкция -вальгизация с гвоздем, когда нагрузка?
С уважением В. Машталов
|
[
Ответить ]
|
Re: Два протеза или .........?
Отправитель: Maxim Agalakov 11 Июнь 2013, 11:18
|
О коротких ножках впечатления скорее положительные, большей частью выживают нормально,если правильно выбирать показания, правда сроки наблюдения пока небольшие, чаще всего лет 5. В этом случае я бы не рискнул - конечность была неопорная 5 мес, метафиз явно пострадал, кроме того непонятно, что осталось от шейки.
"Уральский опорный гвоздь" сделать можно, но нужно ли? Таким образом вы получите ту же самую ревизионную ногу со всеми ее "прелестями".
|
[
Ответить ]
|
|
Re: Два протеза или .........?
Александр Ситник 11 Июнь 2013, 15:34
|
А почему такой пессимизм справа? Мне как-то кажется что там прихватилось, по крайней мере имеющиеся снимки в обратном не убеждают. Надо бы их повторить и тогда уж решать..
|
[
Ответить ]
|
Re: Два протеза или .........?
Отправитель: maxim agalakov 13 Июнь 2013, 00:03
|
простой вальгизацией здесь не обойтись, малый вертел полностью виден, те ротация не менее 30 град, плюс аксиальное смещение, на какую площадь контакта можно рассчитывать? Максимум до 20% за счет внедрения задней стенки шейки в головку.
|
[
Ответить ]
|
Re: Два протеза или .........?
Отправитель: Alexander Chelnokov 13 Июнь 2013, 00:43
|
> простой вальгизацией здесь не обойтись, малый вертел полностью виден, те
> ротация не менее 30 град, плюс аксиальное смещение, на какую площадь
Тут надо сделать нормлаьные снимки, еще и КТ, а потом уже планировать, чего куда и насколько.
|
[
Ответить ]
|
|
Re: Два протеза или .........?
Michael Berenstein 12 Июнь 2013, 23:58
|
На шейке с шурупами понятно остеотомия и фиксатор с угловой стабильностью, а слева надо бы определится что с головкой
, живая или нет. Я бы сделал изотопное сканирование с технецием BONE SCAN.
М. Беренштейн
|
[
Ответить ]
|
Re: Два протеза или .........?
Michael Berenstein 13 Июнь 2013, 00:00
|
Жалко слышать что ортопеды России с легкостью отказываются от остеотомий.
Откройте книги Чаклина, Крюка, Каплана и других, существуют пути побороться за сустав, ей 27 лет и впереди длинная жизнь.
М. Беренштейн
|
[
Ответить ]
|
Re: Два протеза или .........?
Отправитель: Maxim Agalakov 13 Июнь 2013, 00:01
|
- никакого жалко здесь нет, упомянутые вами книги относятся к другому периоду развития медицины (что не умаляет их ценность). не так много эндопротезироал пациентов после различных остеотомий (не более 20). Простые вальгусные, варизирующие, медиализирующие остеотомии в одной плоскости не приводят к серьезным осложнениям при протезировании. У меня было несколько случаев (4 - 5) многоплоскостных деформаций проксимального отдела бедра после остеотомий. В одном случае возникла нестабильность ножки без инф осложнеий из-за очень тонкого заднего кортикала (попытался без остеотомии запротезировать), 1 случай - инфекционного осложнеия после 5 предыдущих операций (протезировал с остеотомией), еще 1 - операция прошла очень тяжело при псевдоартрозе шейки после сотеотомии, правда делали аппаратом, но делали те люди, которые им владели в совершенстве - тугой ложный сустав с рубцами костной плоскости с 3 поперечника 1-го пальца - обошлось.
|
[
Ответить ]
|
Re: Два протеза или .........?
Отправитель: Alexander Chelnokov 13 Июнь 2013, 00:26
|
>>Жалко слышать что ортопеды России с легкостью отказываются от остеотомий.
> Откройте книги Чаклина, Крюка, Каплана и других, существуют пути побороться
> - никакого жалко здесь нет, упомянутые вами книги относятся к другому
"Жалко" здесь есть, хотя книжки именно эти, конечно, устарели, и речь сейчас идет о других модификациях реконструктивных операций на проксимальном отделе бедра.
Но действительно в отечественной практике заметен более явный настрой в сторону эндопротезирования в тех случаях, когда, скажем, американские коллеги больше думают о вальгизирующей остеотомии. В то числе и потому, что они-то сейчас встречают куда больше нестарых больных, которым намолотили протезов в юные годы, а сейчас приходится целые сессии про трудные ревизии устраивать на ортопедических митингах.
А в наших краях многие ортопеды даже не знают ни методики планирования (она, кстати, хорошо изложена в AO Principles of Fracture Management), ни техники вальгизирующей остеотомии с фиксацией клинковой пластиной. Поскольку из межвертельных остеотомий встречали (и до сих пор считают вершиной прогресса) только медиализирующую, а потом сразу перепрыгнули на эндопротезирование, которое считают решением любых проблем. А всякие межвертельные, или там периацетабулярные остеотомии - это для странных каких-то людей. Которые че-то там мудрят, когда все же ясно - протез поставил, и все, надо только выбрать ножку покороче или подлиннее.
|
[
Ответить ]
|
|
Re: Два протеза или .........?
Алексей 13 Июнь 2013, 16:12
|
Уважаемые коллеги! Каков исход для суставов ожидается в свете перенесенной кататравмы, результатов проведенной терапии и предлагаемых вами остетомий? Не столкнется ли в самом оптимистичном будущем пациент с махровым дефартрозом, в качестве лечения которого будет вновь поднят вопрос об эндопротезировании? Спасибо.
|
[
Ответить ]
|
Re: Два протеза или .........?
Отправитель: Ушаков Сергей 20 Июнь 2013, 22:38
|
Добрый вечер, коллеги! по нашему мнению в 27 лет необходимо приложить максимум усилий для сохранения тазобедренных суставов, эндопротезирование выполнить никогда не поздно. вальгизирующая остеотомия не усложняет протезирование. Справа вальгизация и клинок - проблем не будет, слева необходима открытая репозиция и реконструкция с вальгизирующей остеотомией и фиксацией клинковой пластиной. снимок "страшный" на первый взгляд, за счет ротации.перелом скорее латеральный, по истечению 5 мес головка имеет полный объем и структуру сходную с костями таза. Вероятнее всего она жизнеспособна, достоверно подтвердить сохранение кровоснабжения возможно при выполнении селективной ангиографии. использование коротких ножек слева недопустимо по одной простой причине: все короткие ножки подразумевают остеотомию по краю хряща головки, а опора ножки должна равномерно распределяться на дугу Адомса, медиальный и дистальный кортикалы в/3 диафиза и верхний край шейки бедренной кости. поэтому слева возможен вариант ретроградного штифтования и клинковой пластины, технически сложно но возможно. остеотомия на штифте - сомнительное занятие, даже в умелых руках очень много проблем, а убедительных результов пока не опубликовано, ставить эксперименты в 27 лет даже на основании квот .....!? лучше идти проверенным путем. с уважением Ушаков С.А.
|
[
Ответить ]
|
|
Re: Два протеза или .........?
Alexander Chelnokov 13 Июль 2013, 00:23
|

Пациентка приехала на этой неделе. Сегодня сделали правое бедро. Удалили винты, сделали чрескожную вальгизирующую остеотомию, зафиксировали Affixus. Второе бедро будем делать недели через 2.
|
[
Ответить ]
|
Re: Два протеза или .........?
Отправитель: В Машталов 17 Июль 2013, 13:00
|
Дело мастера боится! Рад за нашу пациентку
Ждем продолжения. Второе бедро поинтереснее будет.
Верю в успех!
Заказал 8 мм джойстик, заразил!
PS что-то рассылка не работает, нашел на сайте, рад находке.
С уважением В. Машталов
|
[
Ответить ]
|
Re: Два протеза или .........?
Отправитель: Ушаков Сергей 22 Июль 2013, 09:31
|
Добрый день! Коллеги! Складывается впечатление, что вальгизация выполнена на уровне перелома шейки бедренной кости, а не в межвертельной зоне, непонятна возможность компресси в зоне перелома (винты позиционированы резьбовой частью в зоне перелома). и уж совсем не понятно статическое блокирование дистальной части штифта. С уважением Ушаков С.
|
[
Ответить ]
|
Re: Два протеза или .........?
Отправитель: Alexander Chelnokov 22 Июль 2013, 22:12
|

Головка до и во время остеотомии была диафиксирована несколькими спицами, так что положение ее не менялось. На картинке подрисован диафиз, был он примерно там. Дистальный винт введен больше на всякий случай, чтобы дистальный конец гвоздя не болтался. А большой винт проходит через периферический отломок, так что введение динамического винта внизу ничего не дало бы.
|
[
Ответить ]
|
Re: Два протеза или .........?
Отправитель: Сергей Ушаков 23 Июль 2013, 12:46
|
Добрый день! неплохо было бы еще медиализировать диафиз. а проксимальный винт вероятнее всего попал в зону остеотомии, уж больно тесно.
|
[
Ответить ]
|
Re: Два протеза или .........?
Отправитель: Alexander Chelnokov 23 Июль 2013, 12:51
|

Медиализирующая остеотомия уже история. Делали примерно такую операцию, только без иссечения клина.
|
[
Ответить ]
|
|
( Ответить )
|
|