вверх
отправить
поиск
админ
главная
|
Отправлено Arshak Mirzoyan 08 Апрель 2014, 18:53
Друзья - коллеги, Пациент 27 лет приехал для удлинения роста по эстетическим показаниям. Метод: крослатеральное двухэтапное удлинение голеней 4см и бедер 3 см. Между этапами удлинения уезжал к себе домой в Японию на реабилитацию. Между этапами удлинения движения в коленных суставах разгибание полное сгибание 90-85. После выписки (февраль 2012) даны соответствующие указание постепенно возрастающей нагрузки и ЛФК коленных суставов.
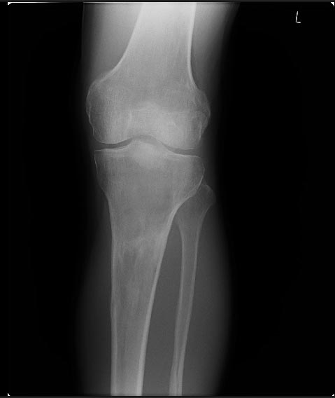
В настоящий момент жалобы на ограничение сгибания в коленных суставах. Снимки прилагаются.
Вопрос: почему возникло такое осложнение? Поверьте приходилось удлинять намного больше, а тут всего на 3-4 см и такое осложнение на обеих конечностях у одного пациента?
Что можно сделать? У кого есть опыт лечения patella baja?
Буду очень благодарен за совет-помощь.
Аршак Мирзоян
Best regards, Arshak E. Mirzoyan MD, PhD, DMS
Yerevan Center of Limb Lengthening and Reconstruction 21 Paronian St., Yerevan, 0015 Armenia
<
|
>
|
|
Ответить
|
Re: patella baja
alexandr erockyin 08 Апрель 2014, 21:48
|
Не совсем понял что означает "крослатеральное 2-х этапное удлинение". Видимо был аппарат и косопоперечная поднадкостничная остеотомия на голенях.- На снимках голеней видно. А бедра как удлинялись?- Уровень? Тоже аппаратом?
Возможно( ни в чем не уверен) но причина ,что пошли высоковато ,через бугристось на голенях и собственная связка так же вытягивалась, смещая надколенник вниз? На рентгене же связки оссифицированы,больше справа.
Чего только на коленках не оперировал,а вот низкое стояние как-то не доводилось. А проблема ведь ни в самом низком стоянии надколенника,а скорее в ригидности собственной связки.(Хочется предложить вентрально-просимальное смещение бугристости с тендораффией сухжилия 4-х главой мышцы и рассечением retinaculum extenzorum и возможно и гемопателляэктомией) Но.. Перед тем как давать советы неплохо бы посмотреть снимки феморопателлярного сустава- по Сеттегасту,Кнудсену итд. Исчерпаны ли все возможности реабилитации?
Да,если решитесь что-то делать, то держите в курсе- интересно же.
|
[
Ответить ]
|
Re: patella baja
Отправитель: Alexander Chelnokov 09 Апрель 2014, 07:34
|
что означает "кросслатеральное 2-х этапное удлинение".
Правое бедро-левая голень.
|
[
Ответить ]
|
|
Re: patella baja
Arshak Mirzoyan 11 Апрель 2014, 23:42
|

Высылаю снимки, свидетельствующие, что уровень остеотомий вроде как обычный, повторюсь, подобного осложнения после удлинения я не встречал ни у себя ни
в литературе. Сейчас на первое место встает вопрос как помочь данному пациенту. У кого есть опыт лечения patella baja?
Отзовитесь, буду благодарен,
Аршак Мирзоян
Regards,
Arshak E. Mirzoyan MD, PhD, DMS
Yerevan Center of Limb Lengthening and Reconstruction
21 Paronian St.,
Yerevan, 0015 Armenia
Tel.: (+374 10) 537 783
Fax: (+374 10) 536 622
www.ycllr.org
www.leglengthening.am
|
[
Ответить ]
|
Re: patella baja
Отправитель: Alexander Chelnokov 12 Апрель 2014, 00:06
|
Остеотомия высокая, почти на уровне бугристости, так что область прикрепления связки надколенника близко. Я бы делал на 2-3 см ниже. Удлинять на уровне диафиза стало особенно актуально в свете смены аппарата на гвоздь по окончании удлинения.
Лечение - проксимальное перемещение бугристости с частью tibial crest. Как пишут в COO -c"Tibial tubercle osteotomy was originally described for quadriceps relaxation during primary or revision TKA (Fig.7-84). Whiteside and Ohl recommended elevation of an 8- to 10-cm segment of the bone that includes the tibial tubercle and a portion of the anterior crest of the tibia, leaving the anterior compartment musculature attached to the fragment laterally for vascularity. The tubercle can be advanced proximally for patella baja or if the joint line is elevated significantly (Fig. 7-85). They described reattaching the tubercle with multiple wires; other authors have advocated using screws. With secure fixation, passive range of motion can be begun early, but active extension still must be delayed."
|
[
Ответить ]
|
|
Re: patella baja
Arshak Mirzoyan 30 Май 2014, 01:20
|
Пациент против оперативного удлинения собственной связки надколенника, и хочет достигнуть цели при помощи аппарата внешней фиксации. Теоретически я представляю как это можно осуществить, но опыта нет. Насколько это эффективно?, Предположительно процесс будет сопровождаться болевым
синдромом... поделитесь мыслями, заранее спасибо.
|
[
Ответить ]
|
Re: patella baja
Отправитель: Leonid Solomin 31 Май 2014, 12:14
|

Приветствую, Аршак, дорогой!
... загляни в книжки D.Paley: там как раз "про это". Мы используем и методику перемещение при помощи опоры, и используя "спицы-возжи".
Кстати, была оказия обсудить эту тему с Paley и Herzenberg'ом. Если без аппарата, то Herzenberg предпочитает Z-образное удлинение собственной связки. Paley за более сложную реконструктивную операцию - с выкраиванием "бугристностно-надкостничного лоскута" - в деталях, признаюсь, не понял.
Обнимаю,
ЛС
|
[
Ответить ]
|
|
( Ответить )
|
|