AOTRAUMA.ORG Центр Илизарова  

Ортопедия и травматология Общие вопросы/General questions Help Информационные технологии в медицине
 ВХОД ДЛЯ ПАЦИЕНТОВ
 вверх
 поиск
 админ
 главная
 исходное


Re: артродез или остеосинтез
послал Бережной Сергей 08 Август 2015, 02:00

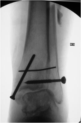
Мне кажется, что вопрос, поставленный Вами: "Возможно ли одномоментно устранить подвывих или только на аппарате Иллизарова?", отражает не совсем ясное понимание ситуации. Что значит устранить подвывих? А пластику ложных суставов внутренней лодыжки и заднего края большеберцовой кости не нужно делать? И ось голеностопного сустава нужно исправлять. То есть делать остеотомию наружной лодыжки (если она срослась, по снимку не очень понял). Артродез голеностопного сустава в такой ситуации очень сложен. Если же добиться сращения всех переломов в правильном положении, артродез вполне можно отсрочить на несколько лет, что для молодого пациента достаточно важно. Но в конечном счете все определяется Вашим умением и ясным представлением того, чего Вы хотите добиться своей операцией. Во вложении - в чем-то похожий случай. Оперировал эту пациентку 23 лет 11 лет назад через 8 месяцев после похожего на представленный Вами остеосинтез. На первой операции перелом малоберцовой кости в нижней трети был просто не замечен. За счет восстановления оси быстро развившийся артроз протекал благоприятно. В результате артродез был выполнен только в прошлом году, через 10 лет после второй операции. И боли беспокоили пациентку только в течение года перед артродезом.

Послать ответ

Имя
Email
Уведомление Сообщить мне по e-mail об ответах на это сообщение
Название
Комментарий
(Проверьте URL! Не забудьте написать http://!)
Кодировка
Если не знаете, что выбрать, выберите "Просто текст"!
Приложение
Можно приложить к сообщению файл c изображением, который затем будет доступен увидевшим сообщение.
Подготовка иллюстраций:
  • Рентгенограммы: черно-белые полутоновые изображения в формате JPEG (8 bit, greyscale) с разрешением от 300х200 до 1024х768 пикселов;
  • Клинические фотографии: полноцветные изображения в формате JPEG (24 bit, truecolor) с разрешением от 300х200 до 1024х768 пикселов;
  • Схемы и рисунки: черно-белые (2 bit) штриховые (line-art) изображения в формате GIF или compressed TIFF
  • Подберите степень сжатия файла JPEG и размер изображения таким образом, чтобы необходимые детали были различимы, но размер файла не превышал 75 кб.
  • Учтите, что текущая версия программного обеспечения Форума позволяет приложить к одному сообщению лишь один файл-вложение. Поэтому, если необходимо отправить несколько изображений, можно либо послать каждое как отдельное сообщение, либо в графическом редакторе объединить изображения в одно (сделать коллаж).
  • Если при подготовке изображений встречаются трудности, не стесняйтесь обратиться к координатору Форума.

  • Введите видимые символы в обратном порядке. Enter the above characters in reverse order (*Обязательно)
    В тексте сообщения можно использовать теги HTML <B> <I> <P> <A> <LI> <OL> <UL> <EM> <BR> <TT> <HR> <STRONG> <BLOCKQUOTE> <DIV .*> <DIV> <P .*>
  • Обратите внимание: Поля с жирными названиями обязательны.
  • Старайтесь отвечать в рамках обсуждаемой темы, а не начинать новые обсуждения.
  • Указывайте адекватную тему сообщения, чтобы было ясно, о чем оно.
  • Не послайте сообщений не по теме (оффтопик), раздраженных, грубых или обидных комментариев. Здесь это неуместно.
  • Powered by Zope  Squishdot Powered MedLink
    Посетитель: 0124901
      "По форме правильно, а по существу - издевательство" В.И.Ленин
    ©2001-2019Orthoforum Coordinator.
    [ Главная | Отправить сообщение | Поиск | Админ ]