AOTRAUMA.ORG Центр Илизарова  

Ортопедия и травматология Общие вопросы/General questions Help Информационные технологии в медицине
 вверх
 отправить
 поиск
 админ
 главная


артродез или остеосинтез
Ортопедия и травматология Отправлено Андрей 06 Август 2015, 14:21
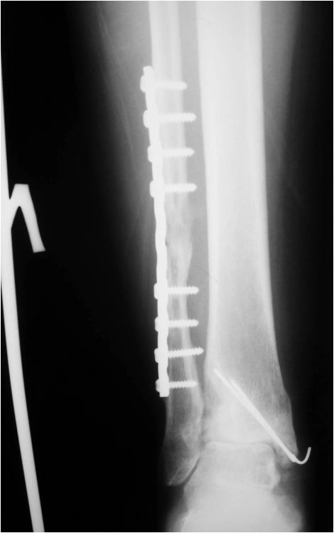
Мужчина, 1987 г.р. получил травму 10.2014. ДТП. Закрытый двухлодыжечный перелом костей костей левой голени, перелом заднего края большеберцовой кости с подвывихом стопы кзади, кнаружи.
Наложен дистрактор. Операция 10.2014: закрытая репозиция, остеосинтез спицами, винтами. В дальнейшем произошло ожидаемое усугубление нарушений взаимоотношений в голеностопном суставе.
На момент обращения: жалобы на боль в левом голеностопном суставе.Работать не может (работает водителем). Без дополнительной опоры может пройти до 20-30 метров. Отечности мягких тканей нет.
Какой план лечения,на Ваш взгляд, предпочтительнее в данном случае? Возможно ли одномоментно устранить подвывих или только на аппарате Иллизарова? Первичные снимки после травмы отсутствуют. Критично ли "растоптана" латеральная суставная поверхность большеберцовой кости?

<  |  >

 

  • Сообщения о Ортопедия и травматология
  • Также Андрей
  • Связаться с автором
  • Ответить

    Re: артродез или остеосинтез
    Виктор Н. 07 Август 2015, 22:29
    Я думал у нас гов...синтезом уже не занимаются...Ошибался.Есть хорошее выражение-не умеешь, не берись.За такое надо руки отрывать.
    [ Ответить ]

    Re: артродез или остеосинтез
    Бережной Сергей 08 Август 2015, 02:00

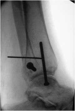
    Мне кажется, что вопрос, поставленный Вами: "Возможно ли одномоментно устранить подвывих или только на аппарате Иллизарова?", отражает не совсем ясное понимание ситуации. Что значит устранить подвывих? А пластику ложных суставов внутренней лодыжки и заднего края большеберцовой кости не нужно делать? И ось голеностопного сустава нужно исправлять. То есть делать остеотомию наружной лодыжки (если она срослась, по снимку не очень понял). Артродез голеностопного сустава в такой ситуации очень сложен. Если же добиться сращения всех переломов в правильном положении, артродез вполне можно отсрочить на несколько лет, что для молодого пациента достаточно важно. Но в конечном счете все определяется Вашим умением и ясным представлением того, чего Вы хотите добиться своей операцией. Во вложении - в чем-то похожий случай. Оперировал эту пациентку 23 лет 11 лет назад через 8 месяцев после похожего на представленный Вами остеосинтез. На первой операции перелом малоберцовой кости в нижней трети был просто не замечен. За счет восстановления оси быстро развившийся артроз протекал благоприятно. В результате артродез был выполнен только в прошлом году, через 10 лет после второй операции. И боли беспокоили пациентку только в течение года перед артродезом.

    [ Ответить ]

    Re: артродез или остеосинтез
    Андрей 09 Август 2015, 09:10
    Спасибо за ответ, Сергей Юрьевич!
    [ Ответить ]


    ( Ответить )

    Powered by Zope  Squishdot Powered MedLink
    Посетитель: 0133257
      "По форме правильно, а по существу - издевательство" В.И.Ленин
    ©2001-2019Orthoforum Coordinator.
    [ Главная | Отправить сообщение | Поиск | Админ ]