вверх
отправить
поиск
админ
главная
|
вальгусная деформация колена на фоне РА |
 |
 |
 |
Отправлено Maxim Agalakov 20 Сентябрь 2016, 22:37
девушка 29 лет с ревматоидным артритом, социальная, лечение получает. вальгусную деформацию на уровне коленных суставов замечает около 10 лет, прогрессирует. Движения в правом коленном суставе:разгибание полное, сгибание около 95-100 град. Боли особой нет. Консультировалась в нескольких НИИ, рекомендовали эндопротезирование.У меня есть желание (вполне, возможно, что и глупое) за сустав "побороться", учитывая возраст, да и первичное протезирование будет не слишком простым. Может исправить деформацию, а там куда кривая судьбы заведет? больше беспокоит боль в голеностопе. В связи с этим есть несколько вопросов: 1. имеет смысл с этим заморачиваться? 2. если да, то в каком объеме? 3. может имеет смысл сделать коррекцию ниже метафиза с одномоментной фиксацией "приличным"гвоздем? Схема прилагается 4. насколько стоит опасаться тракционной нейропатии, стоит сделать острое укорочение или тянуть аппаратом? 5 . еще ряд вопросов, которые я не учел PS книгa Dror Paley пока утеряна вместе с жестким диском, потому не судите строго за дилетанство и приветствуются ваши схемы. Всем большое спасибо за понимание.
<
|
>
|
|
Ответить
|
Re: вальгусная деформация колена на фоне РА
Бережной Сергей 22 Сентябрь 2016, 01:59
|
Сделаете остеотомию большеберцовой - стопа, которая уже приспособилась к нынешнему положению, повернется кнутри и может утратить контакт с опорой. Голеностопный сустав с признаками выраженной артропатии, скорее всего тугоподвижный. Приспособиться к новому положению не сможет. Значит нужно сразу продумывать последовательность действий, включающую надлодыжечную остеотомию голени или артродез голеностопного сустава (Вам проще оценить его функцию, только по снимку не скажешь). Тем более Вы пишете, что больше беспокоит голеностопный сустав. В этом случае, особенно если думать о надлодыжечной остеотомии, гвоздь может не подойти. А для остеотомий есть хорошие пластины и отработанные техники. С другой стороны, подобное вмешательство можно разбить и на два этапа. Потому что рассчитать все сразу очень сложно. Например, сначала сделать проксимальную остеотомию. Посмотреть, где оказалась стопа и после этого выровнять ее. Но и в этом случае фиксация гвоздем не лучшее решение. Если только не ухитритесь все сделать на одном гвозде. В следующий раз пришлю снимки похожего случая, который делал в 2 этапа.
|
[
Ответить ]
|
Re: вальгусная деформация колена на фоне РА
Отправитель: Maxim Agalakov 25 Сентябрь 2016, 15:51
|
да можно и на одном гвозде, тут важно сразу понять нужно ли?
|
[
Ответить ]
|
Re: вальгусная деформация колена на фоне РА
Отправитель: Maxim Agalakov 28 Сентябрь 2016, 21:07
|
может дистально сделать еще остеотомию и вальгуснуть стопу на уровне метафиза голени?
|
[
Ответить ]
|
|
Re: вальгусная деформация колена на фоне РА
Бережной Сергей 24 Сентябрь 2016, 19:44
|
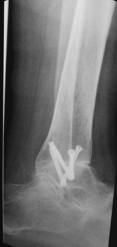
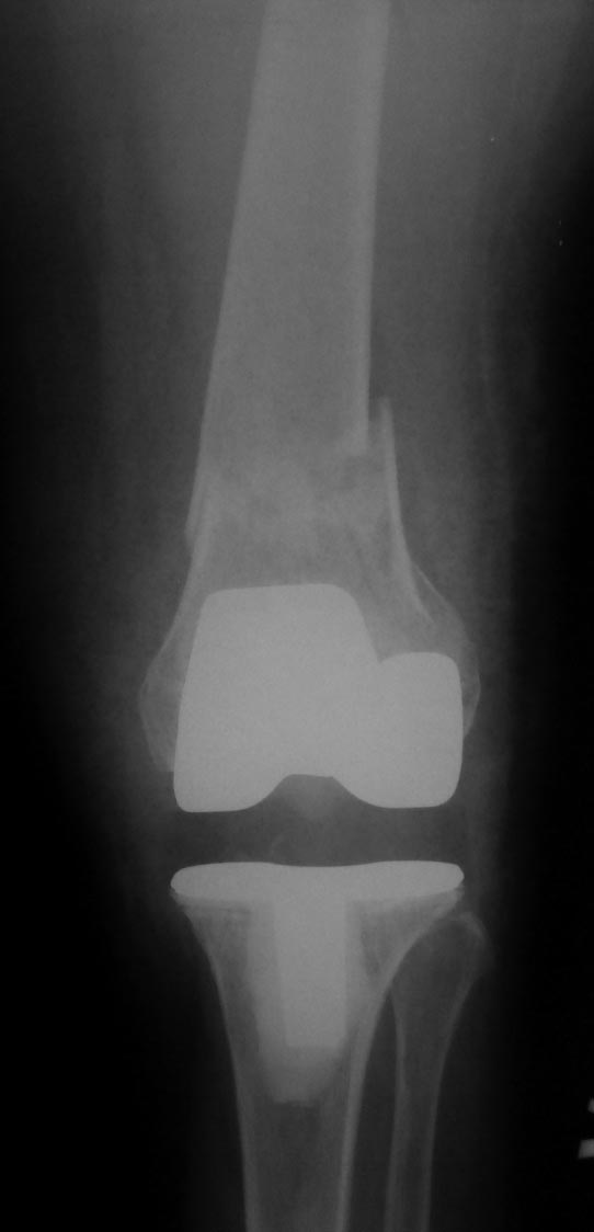
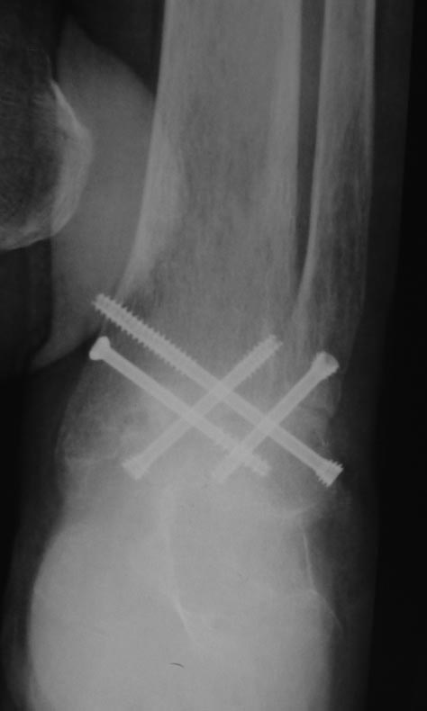
Вот обещанный в чем-то похожий случай. Пациентка 58 лет с тяжелым ревматоидным артритом. Оперировал в 2013 г. В одну сессию сделал чрескожно повторную операцию на стопе (раньше где-то оперировали, пациентка приехала издалека) и малоинвазивный артродез голеностопного сустава (имелась варусная деформация, как компенсация вальгуса колена, на фоне выраженной ревматоидной артропатии). А через неделю – протезирование коленного сустава (фиброзный анкилоз после когда-то выполненной синовэктомии, грубая вальгусная деформация). Понятно, что неделю между операциями стопа торчала в сторону и не была опороспособной. Основное пожелание по коленке было, чтобы сгибалась хоть немного для походов в театр. В конечном счете, сустав сгибался до 90 гр. Фотография стоя была прислана через 2 года после операций. А через 3 года, прошедшим летом, пациентка упала с лестницы: перипротезный перелом бедра. Через 5 дней приехала оперироваться. Отсюда отек на фото стопы. Что интересно, через 2 мес. после остеосинтеза пациентка написала, что только теперь, после перелома, смогла ощутить опору всей поверхностью стопы. До этого пользовалась индивидуальными стельками.
|
[
Ответить ]
|
Re: вальгусная деформация колена на фоне РА
Каминский 28 Сентябрь 2016, 20:34
|
Максим. Если бы мы вдруг захотели это делать, то остеотомия была бы высокая (над бугристостью). Малоберцовка остаётся интактной. Правда на гвозде не закрепить, но есть пластины
Какую бы не выбрали остеотомию. Выводить ось в ноль я бы не стал. Ориентиром может быть наклон щели голнностопа.
Вот только если у пациентки не сильно болит такое суровое испытание это правильно?
|
[
Ответить ]
|
Re: вальгусная деформация колена на фоне РА
Отправитель: Maxim Agalakov 02 Октябрь 2016, 12:16
|
отдельное спасибо за внимание, скорее всего так и поступлю.
|
[
Ответить ]
|
|
Re: вальгусная деформация колена на фоне РА
Maxim Agalakov 02 Октябрь 2016, 10:26
|
коллеги, всем спасибо за ответы, пока перевариваю, нет еще уверенности.
|
[
Ответить ]
|
Re: вальгусная деформация колена на фоне РА
Отправитель: Бережной Сергей 02 Октябрь 2016, 22:33
|
Если пока еще перевариваете, то обдумайте и вариант аппаратного лечения. Все-таки рассчитать все точно под пластину сложно, а аппарат дает возможность внести коррекцию по ходу, уже увидев что куда смотрит под нагрузкой.
|
[
Ответить ]
|
|
Re: вальгусная деформация колена на фоне РА
Анастасия 03 Октябрь 2016, 18:02
|
Коленный сустав в итоге надо будет протезировать. За что Вы там собрались бороться? Заболевание воспалительное и захватывает весь сустав, а не только его латеральный отдел. Очевидна варусная установка стопы, что можно попробовать устранить клиновидной остеотомией таранной кости и, возможно, артродезом
|
[
Ответить ]
|
Re: вальгусная деформация колена на фоне РА
Отправитель: Maxim Agalakov 11 Октябрь 2016, 21:23
|
наверное вы правы
|
[
Ответить ]
|
Re: вальгусная деформация колена на фоне РА
Отправитель: Бережной Сергей 12 Октябрь 2016, 02:36
|
Правы в чем? В клиновидной остеотомии таранной кости?
|
[
Ответить ]
|
|
( Ответить )
|
|